Effective use of dupilumab for eosinophilic gastritis concomitant with severe asthma.

IF 2.4 4区 医学 Q2 ALLERGY
Tomohito Takeshige, Ryo Koyama, Hiroaki Motomura, Akifumi Okajima, Toshihiko Nishioki, Junko Watanabe, Toshifumi Yae, Kenji Kido, Kazuhisa Takahashi
{"title":"Effective use of dupilumab for eosinophilic gastritis concomitant with severe asthma.","authors":"Tomohito Takeshige, Ryo Koyama, Hiroaki Motomura, Akifumi Okajima, Toshihiko Nishioki, Junko Watanabe, Toshifumi Yae, Kenji Kido, Kazuhisa Takahashi","doi":"10.1186/s13223-024-00940-5","DOIUrl":null,"url":null,"abstract":"<p><strong>Background: </strong>Eosinophilic gastrointestinal diseases (EGIDs) are chronic immune-mediated inflammatory disorders characterized by gastrointestinal symptoms and eosinophilic inflammation in specific regions of the gastrointestinal tract. \"Eosinophilic gastritis\" (EoG) refers to the condition in which the stomach is involved. In patients with EoG, approved treatment options are restricted despite the high mortality associated with the condition. Dupilumab is a human monoclonal antibody directed against the interleukin (IL)-4 receptor α subunit and inhibits the signaling pathways of both IL-4 and IL-13. The real-world data on the effectiveness of dupilumab for EoG are limited. We present the case of a patient with EoG and accompanying severe asthma who demonstrated improvement with dupilumab administration.</p><p><strong>Case presentation: </strong>A 35-year-old woman who had been treated for asthma complained of worsening intermittent upper abdominal pain. Her dyspnea aggravated and she was admitted to our hospital for asthma exacerbation. Despite the improvement in her asthma symptoms with systemic corticosteroids, her abdominal pain persisted. Upper gastrointestinal endoscopic mucosal biopsy revealed eosinophilic cell infiltration; therefore, the patient was diagnosed with EoG. Dupilumab administration was initiated for asthma, while improvement of secondary EoG was expected. Following dupilumab administration, both EoG and asthma symptoms, disease control, laboratory findings, endoscopic findings, and pathological findings improved. No adverse events have been reported after the dupilumab treatment.</p><p><strong>Conclusion: </strong>This case report supports that dupilumab could be an effective treatment option for EoG and accompanying severe asthma.</p>","PeriodicalId":51302,"journal":{"name":"Allergy Asthma and Clinical Immunology","volume":"20 1","pages":"68"},"PeriodicalIF":2.4000,"publicationDate":"2024-12-18","publicationTypes":"Journal Article","fieldsOfStudy":null,"isOpenAccess":false,"openAccessPdf":"https://www.ncbi.nlm.nih.gov/pmc/articles/PMC11656811/pdf/","citationCount":"0","resultStr":null,"platform":"Semanticscholar","paperid":null,"PeriodicalName":"Allergy Asthma and Clinical Immunology","FirstCategoryId":"3","ListUrlMain":"https://doi.org/10.1186/s13223-024-00940-5","RegionNum":4,"RegionCategory":"医学","ArticlePicture":[],"TitleCN":null,"AbstractTextCN":null,"PMCID":null,"EPubDate":"","PubModel":"","JCR":"Q2","JCRName":"ALLERGY","Score":null,"Total":0}
引用次数: 0

Abstract

Background: Eosinophilic gastrointestinal diseases (EGIDs) are chronic immune-mediated inflammatory disorders characterized by gastrointestinal symptoms and eosinophilic inflammation in specific regions of the gastrointestinal tract. "Eosinophilic gastritis" (EoG) refers to the condition in which the stomach is involved. In patients with EoG, approved treatment options are restricted despite the high mortality associated with the condition. Dupilumab is a human monoclonal antibody directed against the interleukin (IL)-4 receptor α subunit and inhibits the signaling pathways of both IL-4 and IL-13. The real-world data on the effectiveness of dupilumab for EoG are limited. We present the case of a patient with EoG and accompanying severe asthma who demonstrated improvement with dupilumab administration.

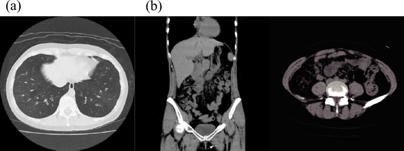
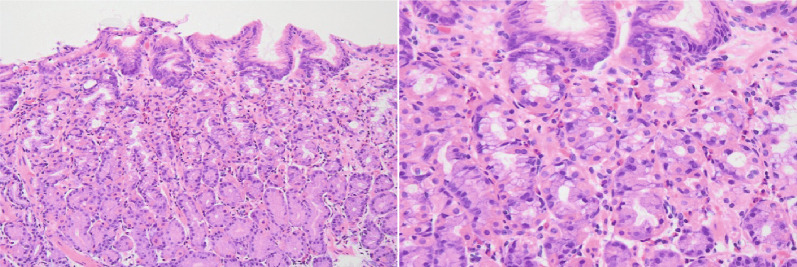
Case presentation: A 35-year-old woman who had been treated for asthma complained of worsening intermittent upper abdominal pain. Her dyspnea aggravated and she was admitted to our hospital for asthma exacerbation. Despite the improvement in her asthma symptoms with systemic corticosteroids, her abdominal pain persisted. Upper gastrointestinal endoscopic mucosal biopsy revealed eosinophilic cell infiltration; therefore, the patient was diagnosed with EoG. Dupilumab administration was initiated for asthma, while improvement of secondary EoG was expected. Following dupilumab administration, both EoG and asthma symptoms, disease control, laboratory findings, endoscopic findings, and pathological findings improved. No adverse events have been reported after the dupilumab treatment.

Conclusion: This case report supports that dupilumab could be an effective treatment option for EoG and accompanying severe asthma.

Abstract Image

Abstract Image

Abstract Image

dupilumab对伴严重哮喘的嗜酸性胃炎的有效应用
背景:嗜酸性粒细胞胃肠道疾病(EGIDs)是一种慢性免疫介导的炎症性疾病,以胃肠道症状和胃肠道特定区域的嗜酸性粒细胞炎症为特征。“嗜酸性胃炎”(EoG)是指胃受累的情况。在EoG患者中,尽管与该病相关的死亡率很高,但批准的治疗选择受到限制。Dupilumab是一种针对白细胞介素(IL)-4受体α亚基的人单克隆抗体,可抑制IL-4和IL-13的信号通路。关于dupilumab治疗EoG有效性的实际数据是有限的。我们提出了一例EoG患者并伴有严重哮喘,dupilumab给予改善。病例介绍:一名35岁妇女,曾接受哮喘治疗,主诉间歇性上腹部疼痛加重。她呼吸困难加重,因哮喘加重入院。尽管全身皮质类固醇治疗改善了她的哮喘症状,但她的腹痛持续存在。上消化道内镜粘膜活检显示嗜酸性细胞浸润;因此,患者被诊断为EoG。杜匹单抗开始治疗哮喘,同时期望改善继发EoG。在给予杜匹单抗后,EoG和哮喘症状、疾病控制、实验室检查、内窥镜检查和病理检查均得到改善。dupilumab治疗后无不良事件报道。结论:本病例报告支持dupilumab可能是EoG伴发严重哮喘的有效治疗选择。
本文章由计算机程序翻译,如有差异,请以英文原文为准。
求助全文
约1分钟内获得全文 求助全文
来源期刊
CiteScore
4.30
自引率
3.70%
发文量
96
审稿时长
12 weeks
期刊介绍: Allergy, Asthma & Clinical Immunology (AACI), the official journal of the Canadian Society of Allergy and Clinical Immunology (CSACI), is an open access journal that encompasses all aspects of diagnosis, epidemiology, prevention and treatment of allergic and immunologic disease. By offering a high-visibility forum for new insights and discussions, AACI provides a platform for the dissemination of allergy and clinical immunology research and reviews amongst allergists, pulmonologists, immunologists and other physicians, healthcare workers, medical students and the public worldwide. AACI reports on basic research and clinically applied studies in the following areas and other related topics: asthma and occupational lung disease, rhinoconjunctivitis and rhinosinusitis, drug hypersensitivity, allergic skin diseases, urticaria and angioedema, venom hypersensitivity, anaphylaxis and food allergy, immunotherapy, immune modulators and biologics, immune deficiency and autoimmunity, T cell and B cell functions, regulatory T cells, natural killer cells, mast cell and eosinophil functions, complement abnormalities.
×
引用
GB/T 7714-2015
复制
MLA
复制
APA
复制
导出至
BibTeX EndNote RefMan NoteFirst NoteExpress
×
提示
您的信息不完整,为了账户安全,请先补充。
现在去补充
×
提示
您因"违规操作"
具体请查看互助需知
我知道了
×
提示
确定
请完成安全验证×
copy
已复制链接
快去分享给好友吧!
我知道了
右上角分享
点击右上角分享
0
联系我们:info@booksci.cn Book学术提供免费学术资源搜索服务,方便国内外学者检索中英文文献。致力于提供最便捷和优质的服务体验。 Copyright © 2023 布克学术 All rights reserved.
京ICP备2023020795号-1
ghs 京公网安备 11010802042870号
Book学术文献互助
Book学术文献互助群
群 号:604180095
Book学术官方微信