Delayed coronary air embolism post re-do mitral valve replacement: A case report.

IF 0.6 Q4 CARDIAC & CARDIOVASCULAR SYSTEMS
Pouya Nezafati, Sumit Yadav
{"title":"Delayed coronary air embolism post re-do mitral valve replacement: A case report.","authors":"Pouya Nezafati, Sumit Yadav","doi":"10.48305/arya.2024.41928.2910","DOIUrl":null,"url":null,"abstract":"<p><strong>Background: </strong>Coronary air embolism (CAE) is a complication that can lead to catastrophic outcomes, including myocardial infarction, stroke, and death. It is reported to occur during cardiac catheterization, within a few hours after cardiac surgery, or as a result of chest trauma. This is a case report of delayed coronary air embolism following cardiac surgery.</p><p><strong>Case presentation: </strong>A 58-year-old female presented with New York Heart Association (NYHA) Class II symptoms resulting from severe, highly eccentric anterior mitral regurgitation from a bio-prosthetic valve. She had preserved ejection function and a total calcium score of zero. This patient underwent a re-do mechanical mitral valve replacement. Two days post-surgery, she was brought to the catheterization laboratory with signs and symptoms suggestive of an inferior myocardial infarction (MI) and complete heart block (CHB). Her symptoms and ST changes resolved immediately after the introduction of angiographic contrast. Angiography revealed no occlusion in the right coronary artery (RCA).</p>","PeriodicalId":46477,"journal":{"name":"ARYA Atherosclerosis","volume":"20 3","pages":"1-6"},"PeriodicalIF":0.6000,"publicationDate":"2024-01-01","publicationTypes":"Journal Article","fieldsOfStudy":null,"isOpenAccess":false,"openAccessPdf":"https://www.ncbi.nlm.nih.gov/pmc/articles/PMC11651312/pdf/","citationCount":"0","resultStr":null,"platform":"Semanticscholar","paperid":null,"PeriodicalName":"ARYA Atherosclerosis","FirstCategoryId":"1085","ListUrlMain":"https://doi.org/10.48305/arya.2024.41928.2910","RegionNum":0,"RegionCategory":null,"ArticlePicture":[],"TitleCN":null,"AbstractTextCN":null,"PMCID":null,"EPubDate":"","PubModel":"","JCR":"Q4","JCRName":"CARDIAC & CARDIOVASCULAR SYSTEMS","Score":null,"Total":0}
引用次数: 0

Abstract

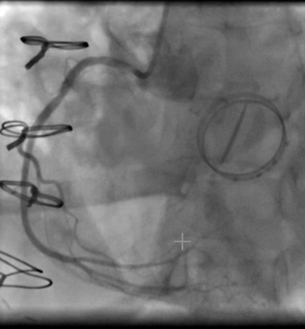
Background: Coronary air embolism (CAE) is a complication that can lead to catastrophic outcomes, including myocardial infarction, stroke, and death. It is reported to occur during cardiac catheterization, within a few hours after cardiac surgery, or as a result of chest trauma. This is a case report of delayed coronary air embolism following cardiac surgery.

Case presentation: A 58-year-old female presented with New York Heart Association (NYHA) Class II symptoms resulting from severe, highly eccentric anterior mitral regurgitation from a bio-prosthetic valve. She had preserved ejection function and a total calcium score of zero. This patient underwent a re-do mechanical mitral valve replacement. Two days post-surgery, she was brought to the catheterization laboratory with signs and symptoms suggestive of an inferior myocardial infarction (MI) and complete heart block (CHB). Her symptoms and ST changes resolved immediately after the introduction of angiographic contrast. Angiography revealed no occlusion in the right coronary artery (RCA).

Abstract Image

Abstract Image

Abstract Image

二尖瓣置换术后迟发性冠状动脉空气栓塞1例。
背景:冠状动脉空气栓塞(CAE)是一种并发症,可导致灾难性的后果,包括心肌梗死、中风和死亡。据报道,它发生在心导管插入术中,心脏手术后几小时内,或由于胸部创伤。本文报告一例心脏手术后迟发性冠状动脉空气栓塞。病例介绍:一名58岁女性,因生物瓣膜植入导致严重、高度偏心二尖瓣前返流而出现纽约心脏协会(NYHA) II级症状。她保留了射血功能,总钙评分为零。该患者接受了二次机械二尖瓣置换术。术后2天,患者被带到导管实验室,体征和症状提示下型心肌梗死(MI)和完全性心脏传导阻滞(CHB)。她的症状和ST改变在引入血管造影后立即消失。血管造影显示右冠状动脉(RCA)无闭塞。
本文章由计算机程序翻译,如有差异,请以英文原文为准。
求助全文
约1分钟内获得全文 求助全文
来源期刊
ARYA Atherosclerosis
ARYA Atherosclerosis CARDIAC & CARDIOVASCULAR SYSTEMS-
CiteScore
1.00
自引率
0.00%
发文量
0
审稿时长
18 weeks
×
引用
GB/T 7714-2015
复制
MLA
复制
APA
复制
导出至
BibTeX EndNote RefMan NoteFirst NoteExpress
×
提示
您的信息不完整,为了账户安全,请先补充。
现在去补充
×
提示
您因"违规操作"
具体请查看互助需知
我知道了
×
提示
确定
请完成安全验证×
copy
已复制链接
快去分享给好友吧!
我知道了
右上角分享
点击右上角分享
0
联系我们:info@booksci.cn Book学术提供免费学术资源搜索服务,方便国内外学者检索中英文文献。致力于提供最便捷和优质的服务体验。 Copyright © 2023 布克学术 All rights reserved.
京ICP备2023020795号-1
ghs 京公网安备 11010802042870号
Book学术文献互助
Book学术文献互助群
群 号:604180095
Book学术官方微信