The ileocecal valve in transabdominal ultrasound. Part 2: Pathological lesions.

IF 1.5 Q3 RADIOLOGY, NUCLEAR MEDICINE & MEDICAL IMAGING
Journal of Ultrasonography Pub Date : 2024-12-09 eCollection Date: 2024-12-01 DOI:10.15557/jou.2024.0031
Andrzej Smereczyński, Grzegorz Goncerz, Katarzyna Kołaczyk
{"title":"The ileocecal valve in transabdominal ultrasound. Part 2: Pathological lesions.","authors":"Andrzej Smereczyński, Grzegorz Goncerz, Katarzyna Kołaczyk","doi":"10.15557/jou.2024.0031","DOIUrl":null,"url":null,"abstract":"<p><p>The aim of this paper is to present our experience in transabdominal ultrasonography of ileocecal valve lesions. The ileocecal valve, located in the central part of the ileocecal bowel segment, is rarely the primary site of disease processes. It is usually involved by pathologies in adjacent bowel segments. These are primarily infectious diseases such as yersiniosis, campylobacteriosis and salmonellosis. Typical location of Crohn's lesions also promotes valve involvement. The appearance of the lesions in these cases is characterized by a symmetrical submucosal thickening of the bowel involved over a longer segment. Non-malignant valvular hyperplasia is relatively commonly identified as lipomatosis, manifested by symmetrical enlargement and smooth outlines. However, valvular lipoma causing an asymmetrical hyperechoic bulge is a rare finding. ileocecal valve lipomatosis or lipoma should not be misdiagnosed as a lipoma of the cecoascending part of the colon and, the other way round, a right colonic lipoma should not be mistaken for a fatty valve. Polyps on the ileocecal valve, although sometimes detected, were not identified in our material. Adenocarcinoma, which is found in the cecum in approximately ¼ of cases, is the most common malignancy, followed by neuroendocrine tumor and, rarely, lymphoma. In three cases of malignant involvement of the ileocecal valve, we observed irregular hypoechoic thickening with complete loss of wall stratification, with the lesions causing symptoms of small bowel obstruction in two of these cases. The nearly forgotten ileocecal valve syndrome, also known as Bauhin's ileocecal valve syndrome, characterized by intermittent right iliac fossa pain, is also briefly discussed. Transabdominal ultrasound can be used as an initial diagnostic tool in some of these pathologies.</p>","PeriodicalId":45612,"journal":{"name":"Journal of Ultrasonography","volume":"24 98","pages":"1-11"},"PeriodicalIF":1.5000,"publicationDate":"2024-12-09","publicationTypes":"Journal Article","fieldsOfStudy":null,"isOpenAccess":false,"openAccessPdf":"https://www.ncbi.nlm.nih.gov/pmc/articles/PMC11653064/pdf/","citationCount":"0","resultStr":null,"platform":"Semanticscholar","paperid":null,"PeriodicalName":"Journal of Ultrasonography","FirstCategoryId":"1085","ListUrlMain":"https://doi.org/10.15557/jou.2024.0031","RegionNum":0,"RegionCategory":null,"ArticlePicture":[],"TitleCN":null,"AbstractTextCN":null,"PMCID":null,"EPubDate":"2024/12/1 0:00:00","PubModel":"eCollection","JCR":"Q3","JCRName":"RADIOLOGY, NUCLEAR MEDICINE & MEDICAL IMAGING","Score":null,"Total":0}
引用次数: 0

Abstract

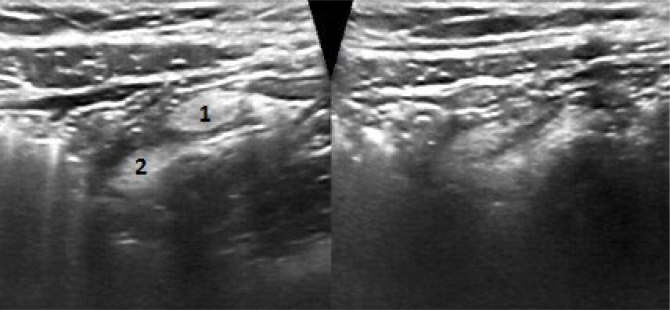
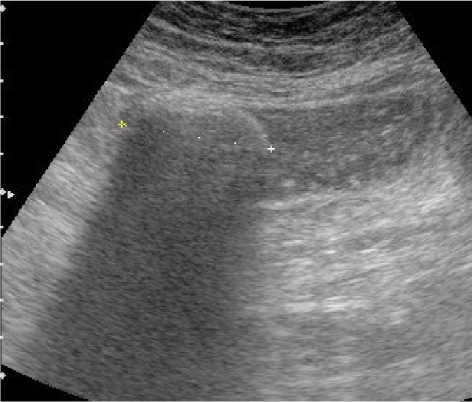
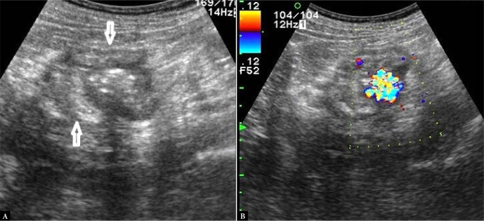
The aim of this paper is to present our experience in transabdominal ultrasonography of ileocecal valve lesions. The ileocecal valve, located in the central part of the ileocecal bowel segment, is rarely the primary site of disease processes. It is usually involved by pathologies in adjacent bowel segments. These are primarily infectious diseases such as yersiniosis, campylobacteriosis and salmonellosis. Typical location of Crohn's lesions also promotes valve involvement. The appearance of the lesions in these cases is characterized by a symmetrical submucosal thickening of the bowel involved over a longer segment. Non-malignant valvular hyperplasia is relatively commonly identified as lipomatosis, manifested by symmetrical enlargement and smooth outlines. However, valvular lipoma causing an asymmetrical hyperechoic bulge is a rare finding. ileocecal valve lipomatosis or lipoma should not be misdiagnosed as a lipoma of the cecoascending part of the colon and, the other way round, a right colonic lipoma should not be mistaken for a fatty valve. Polyps on the ileocecal valve, although sometimes detected, were not identified in our material. Adenocarcinoma, which is found in the cecum in approximately ¼ of cases, is the most common malignancy, followed by neuroendocrine tumor and, rarely, lymphoma. In three cases of malignant involvement of the ileocecal valve, we observed irregular hypoechoic thickening with complete loss of wall stratification, with the lesions causing symptoms of small bowel obstruction in two of these cases. The nearly forgotten ileocecal valve syndrome, also known as Bauhin's ileocecal valve syndrome, characterized by intermittent right iliac fossa pain, is also briefly discussed. Transabdominal ultrasound can be used as an initial diagnostic tool in some of these pathologies.

Abstract Image

Abstract Image

Abstract Image

经腹超声显示回盲瓣。第二部分:病理病变。
本文的目的是介绍我们在经腹超声检查回盲瓣病变的经验。回盲瓣位于回盲肠中段,很少是疾病发生的原发部位。它通常与邻近肠段的病变有关。这些主要是传染病,如耶尔森菌病、弯曲杆菌病和沙门氏菌病。克罗恩病的典型病变部位也会导致瓣膜受累。在这些病例中,病变的外观特征是受累的肠在较长的一段上对称的粘膜下增厚。非恶性瓣膜增生是相对常见的脂肪瘤病,表现为对称增大和平滑轮廓。然而,瓣膜脂肪瘤引起不对称的高回声凸起是一种罕见的发现。回盲瓣脂肪瘤或脂肪瘤不应被误诊为结肠前升部分的脂肪瘤,反之,右结肠脂肪瘤也不应被误认为是脂肪瓣膜。回盲瓣上的息肉,虽然有时被发现,但在我们的材料中没有发现。腺癌是最常见的恶性肿瘤,约占盲肠病例的1 / 4,其次是神经内分泌肿瘤,很少发生淋巴瘤。在三例恶性侵犯回盲瓣的病例中,我们观察到不规则的低回声增厚并完全失去壁层,其中两例病变引起小肠梗阻症状。几乎被遗忘的回盲瓣综合征,也被称为鲍欣回盲瓣综合征,以间歇性右髂窝疼痛为特征,也被简要讨论。经腹超声可作为其中一些病理的初步诊断工具。
本文章由计算机程序翻译,如有差异,请以英文原文为准。
求助全文
约1分钟内获得全文 求助全文
来源期刊
Journal of Ultrasonography
Journal of Ultrasonography RADIOLOGY, NUCLEAR MEDICINE & MEDICAL IMAGING-
CiteScore
2.30
自引率
0.00%
发文量
58
审稿时长
20 weeks
×
引用
GB/T 7714-2015
复制
MLA
复制
APA
复制
导出至
BibTeX EndNote RefMan NoteFirst NoteExpress
×
提示
您的信息不完整,为了账户安全,请先补充。
现在去补充
×
提示
您因"违规操作"
具体请查看互助需知
我知道了
×
提示
确定
请完成安全验证×
copy
已复制链接
快去分享给好友吧!
我知道了
右上角分享
点击右上角分享
0
联系我们:info@booksci.cn Book学术提供免费学术资源搜索服务,方便国内外学者检索中英文文献。致力于提供最便捷和优质的服务体验。 Copyright © 2023 布克学术 All rights reserved.
京ICP备2023020795号-1
ghs 京公网安备 11010802042870号
Book学术文献互助
Book学术文献互助群
群 号:604180095
Book学术官方微信