Hyperglycemia-induced isolated aphasic status epilepticus a case-report and literature review.

Q3 Medicine
Dementia e Neuropsychologia Pub Date : 2024-12-16 eCollection Date: 2024-01-01 DOI:10.1590/1980-5764-DN-2024-0177
Jedsada Khieukhajee, Suphasit Seoratanaphunt, Krittima Asavaveeradech, Sunisa Hangsapruek
{"title":"Hyperglycemia-induced isolated aphasic status epilepticus a case-report and literature review.","authors":"Jedsada Khieukhajee, Suphasit Seoratanaphunt, Krittima Asavaveeradech, Sunisa Hangsapruek","doi":"10.1590/1980-5764-DN-2024-0177","DOIUrl":null,"url":null,"abstract":"<p><p>Neurological manifestations of nonketotic hyperglycemia are frequently seen, with mainly symptoms of confusion or coma. While hyperglycemia-induced seizures are less common, isolated aphasic status epilepticus is very rare, difficult to diagnose, and may be unrecognized by clinicians. In this case report, a 51-year-old man who presented with confusion and incoherent speech for two weeks is discussed. He was diagnosed with nonketotic hyperglycemia, whose electroencephalography (EEG) findings were suggestive of isolated aphasic status epilepticus. His magnetic resonance imaging (MRI) of the brain showed subcortical T2/FLAIR hypointense lesions with cortical T2/FLAIR hyperintensities and restricted diffusion. Although this condition usually responds well to intensive insulin therapy and fluid replacement, many researchers found some persistent aphasic seizures that did not improve until the addition of anti-seizure medications (ASMs).</p>","PeriodicalId":39167,"journal":{"name":"Dementia e Neuropsychologia","volume":"18 ","pages":"e20240177"},"PeriodicalIF":0.0000,"publicationDate":"2024-12-16","publicationTypes":"Journal Article","fieldsOfStudy":null,"isOpenAccess":false,"openAccessPdf":"https://www.ncbi.nlm.nih.gov/pmc/articles/PMC11654437/pdf/","citationCount":"0","resultStr":null,"platform":"Semanticscholar","paperid":null,"PeriodicalName":"Dementia e Neuropsychologia","FirstCategoryId":"1085","ListUrlMain":"https://doi.org/10.1590/1980-5764-DN-2024-0177","RegionNum":0,"RegionCategory":null,"ArticlePicture":[],"TitleCN":null,"AbstractTextCN":null,"PMCID":null,"EPubDate":"2024/1/1 0:00:00","PubModel":"eCollection","JCR":"Q3","JCRName":"Medicine","Score":null,"Total":0}
引用次数: 0

Abstract

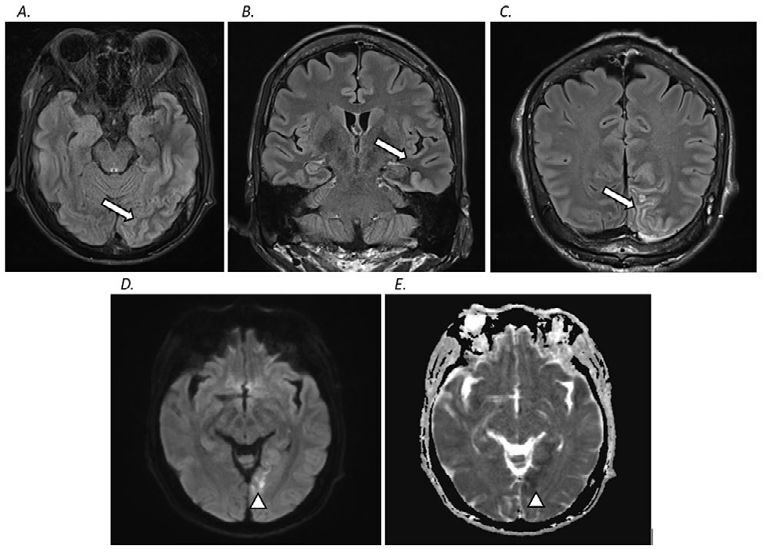
Neurological manifestations of nonketotic hyperglycemia are frequently seen, with mainly symptoms of confusion or coma. While hyperglycemia-induced seizures are less common, isolated aphasic status epilepticus is very rare, difficult to diagnose, and may be unrecognized by clinicians. In this case report, a 51-year-old man who presented with confusion and incoherent speech for two weeks is discussed. He was diagnosed with nonketotic hyperglycemia, whose electroencephalography (EEG) findings were suggestive of isolated aphasic status epilepticus. His magnetic resonance imaging (MRI) of the brain showed subcortical T2/FLAIR hypointense lesions with cortical T2/FLAIR hyperintensities and restricted diffusion. Although this condition usually responds well to intensive insulin therapy and fluid replacement, many researchers found some persistent aphasic seizures that did not improve until the addition of anti-seizure medications (ASMs).

Abstract Image

Abstract Image

高血糖诱发孤立性癫痫持续状态1例报告及文献复习。
非酮症性高血糖的神经学表现是常见的,主要症状是意识不清或昏迷。虽然高血糖引起的癫痫发作不太常见,但孤立的失语癫痫持续状态非常罕见,难以诊断,并且可能未被临床医生识别。在这个病例报告中,我们讨论了一位51岁的男性,他表现出混乱和言语不连贯两周。他被诊断为非酮症性高血糖,其脑电图(EEG)结果提示孤立的失语癫痫持续状态。他的大脑磁共振成像(MRI)显示皮质下T2/FLAIR低信号病变伴皮质T2/FLAIR高信号和扩散受限。虽然这种情况通常对强化胰岛素治疗和补液反应良好,但许多研究人员发现,一些持续的失语发作直到添加抗癫痫药物(asm)才有所改善。
本文章由计算机程序翻译,如有差异,请以英文原文为准。
求助全文
约1分钟内获得全文 求助全文
来源期刊
Dementia e Neuropsychologia
Dementia e Neuropsychologia Medicine-Geriatrics and Gerontology
CiteScore
2.20
自引率
0.00%
发文量
58
审稿时长
8 weeks
期刊介绍: Dementia top Neuropsychologia the official scientific journal of the Cognitive Neurology and Ageing Department of the Brazilian Academy of Neurology and of the Brazilian Association of Geriatric Neuropsychiatry, is published by the "Associação Neurologia Cognitiva e do Comportamento", a nonprofit Brazilian association. Regularly published on March, June, September, and December since 2007.
×
引用
GB/T 7714-2015
复制
MLA
复制
APA
复制
导出至
BibTeX EndNote RefMan NoteFirst NoteExpress
×
提示
您的信息不完整,为了账户安全,请先补充。
现在去补充
×
提示
您因"违规操作"
具体请查看互助需知
我知道了
×
提示
确定
请完成安全验证×
copy
已复制链接
快去分享给好友吧!
我知道了
右上角分享
点击右上角分享
0
联系我们:info@booksci.cn Book学术提供免费学术资源搜索服务,方便国内外学者检索中英文文献。致力于提供最便捷和优质的服务体验。 Copyright © 2023 布克学术 All rights reserved.
京ICP备2023020795号-1
ghs 京公网安备 11010802042870号
Book学术文献互助
Book学术文献互助群
群 号:604180095
Book学术官方微信