Right ventricular outflow tract doppler flow abnormalities suggestive of pulmonary embolism - case series and review.

IF 2.9 Q2 Medicine
Toni Ivičić, Jasmin Hamzić, Bojana Radulović, Ivan Gornik
{"title":"Right ventricular outflow tract doppler flow abnormalities suggestive of pulmonary embolism - case series and review.","authors":"Toni Ivičić, Jasmin Hamzić, Bojana Radulović, Ivan Gornik","doi":"10.1186/s13089-024-00377-2","DOIUrl":null,"url":null,"abstract":"<p><strong>Background: </strong>Pulmonary embolism (PE) is one of the most challenging diagnoses in emergency medicine, mainly because symptoms range from asymptomatic disease to sudden death. The role of echocardiography in the workup of suspected PE has been supportive and used primarily to assess the right ventricular (RV) size and function, which is important for risk stratification. Several echocardiographic parameters described in the literature lack the desired accuracy. Recently, a potential value of less well-recognized RV outflow tract (RVOT) Doppler variables has been reported. The early systolic notching (ESN) pattern was observed in 92% of patients with high and intermediate risk PE, making it a promising sign in selected PE patients.</p><p><strong>Case presentation: </strong>In this case series, we demonstrate a typical ESN pattern on RVOT Doppler evaluation in three patients with intermediate-risk PE presenting to our emergency department (ED). None of the patients had been previously diagnosed with pulmonary hypertension or other chronic pulmonary and cardiac disease. The pre-test probability was low. Massive proximal emboli were found on CT angiograms, involving pulmonary truncus or main pulmonary arteries. Previously, the ESN pattern was identified on a focused echocardiogram, which was the only echocardiographic indicator of increased pulmonary vascular resistance.</p><p><strong>Conclusions: </strong>RVOT Doppler flow pattern of ESN has potential clinical utility for the detection of PE in ED patients. ESN could identify patients at higher risk, which are otherwise stratified as low risk according to the latest guidelines. Moreover, this case series illustrates that even in the absence of other echocardiographic findings of RV strain, the presence of ESN should alert to the possibility of acute PE. Further prospective studies are needed to assess its diagnostic value in a selected subgroup of patients, similar to the cases presented, that would have no other obvious reason for the altered RVOT Doppler curve.</p>","PeriodicalId":36911,"journal":{"name":"Ultrasound Journal","volume":"16 1","pages":"51"},"PeriodicalIF":2.9000,"publicationDate":"2024-12-18","publicationTypes":"Journal Article","fieldsOfStudy":null,"isOpenAccess":false,"openAccessPdf":"https://www.ncbi.nlm.nih.gov/pmc/articles/PMC11655731/pdf/","citationCount":"0","resultStr":null,"platform":"Semanticscholar","paperid":null,"PeriodicalName":"Ultrasound Journal","FirstCategoryId":"1085","ListUrlMain":"https://doi.org/10.1186/s13089-024-00377-2","RegionNum":0,"RegionCategory":null,"ArticlePicture":[],"TitleCN":null,"AbstractTextCN":null,"PMCID":null,"EPubDate":"","PubModel":"","JCR":"Q2","JCRName":"Medicine","Score":null,"Total":0}
引用次数: 0

Abstract

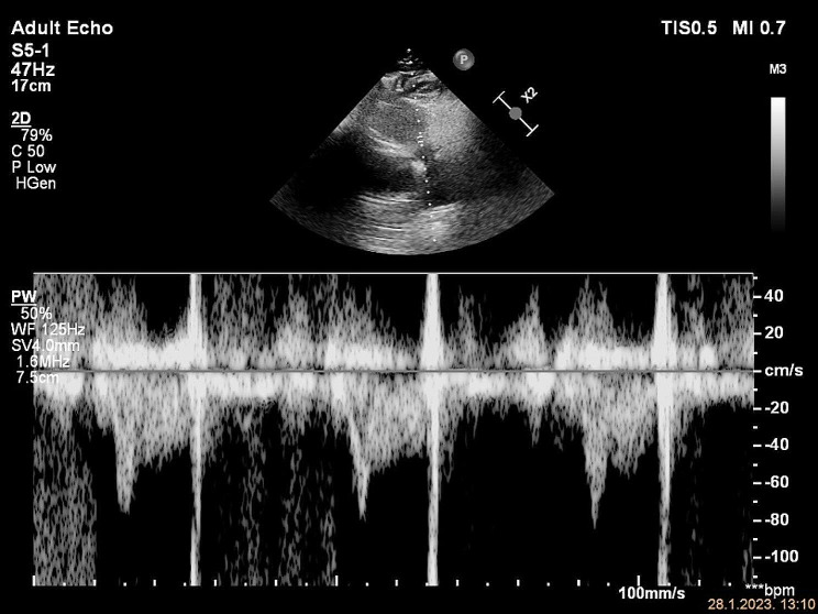
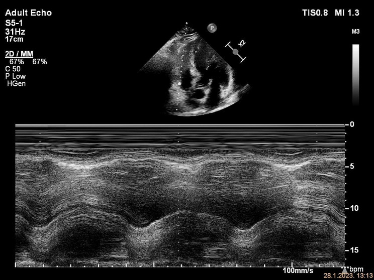
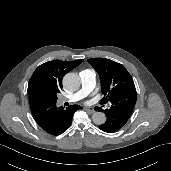
Background: Pulmonary embolism (PE) is one of the most challenging diagnoses in emergency medicine, mainly because symptoms range from asymptomatic disease to sudden death. The role of echocardiography in the workup of suspected PE has been supportive and used primarily to assess the right ventricular (RV) size and function, which is important for risk stratification. Several echocardiographic parameters described in the literature lack the desired accuracy. Recently, a potential value of less well-recognized RV outflow tract (RVOT) Doppler variables has been reported. The early systolic notching (ESN) pattern was observed in 92% of patients with high and intermediate risk PE, making it a promising sign in selected PE patients.

Case presentation: In this case series, we demonstrate a typical ESN pattern on RVOT Doppler evaluation in three patients with intermediate-risk PE presenting to our emergency department (ED). None of the patients had been previously diagnosed with pulmonary hypertension or other chronic pulmonary and cardiac disease. The pre-test probability was low. Massive proximal emboli were found on CT angiograms, involving pulmonary truncus or main pulmonary arteries. Previously, the ESN pattern was identified on a focused echocardiogram, which was the only echocardiographic indicator of increased pulmonary vascular resistance.

Conclusions: RVOT Doppler flow pattern of ESN has potential clinical utility for the detection of PE in ED patients. ESN could identify patients at higher risk, which are otherwise stratified as low risk according to the latest guidelines. Moreover, this case series illustrates that even in the absence of other echocardiographic findings of RV strain, the presence of ESN should alert to the possibility of acute PE. Further prospective studies are needed to assess its diagnostic value in a selected subgroup of patients, similar to the cases presented, that would have no other obvious reason for the altered RVOT Doppler curve.

Abstract Image

Abstract Image

Abstract Image

提示肺栓塞的右心室流出道多普勒血流异常-病例系列与回顾。
背景:肺栓塞(PE)是急诊医学中最具挑战性的诊断之一,主要是因为其症状从无症状疾病到猝死不等。超声心动图在疑似PE的检查中的作用是支持的,主要用于评估右心室(RV)的大小和功能,这对风险分层很重要。文献中描述的几个超声心动图参数缺乏所需的准确性。最近,一些鲜为人知的右心室流出道(RVOT)多普勒变量的潜在价值被报道。在92%的高、中风险PE患者中观察到早期收缩缺口(ESN)模式,这使得它在特定的PE患者中成为一个有希望的迹象。病例介绍:在这个病例系列中,我们展示了在RVOT多普勒评估中3例到我们急诊科(ED)就诊的中度风险PE患者的典型回声状态网络模式。这些患者之前都没有被诊断为肺动脉高压或其他慢性肺部和心脏疾病。预测概率低。CT血管造影发现大量近端栓塞,累及肺干或肺动脉主干。以前,回声状态网络模式是在聚焦超声心动图上识别的,这是肺血管阻力增加的唯一超声心动图指标。结论:回声状态网络的RVOT多普勒血流模式对ED患者PE的检测具有潜在的临床应用价值。回声状态网络可以识别高风险患者,根据最新的指南,这些患者被划分为低风险。此外,本病例系列表明,即使在没有其他超声心动图发现RV毒株的情况下,ESN的存在也应警惕急性PE的可能性。需要进一步的前瞻性研究来评估其在选定的亚组患者中的诊断价值,这些患者与所述病例相似,没有其他明显原因导致RVOT多普勒曲线改变。
本文章由计算机程序翻译,如有差异,请以英文原文为准。
求助全文
约1分钟内获得全文 求助全文
来源期刊
Ultrasound Journal
Ultrasound Journal Health Professions-Radiological and Ultrasound Technology
CiteScore
6.80
自引率
2.90%
发文量
45
审稿时长
22 weeks
×
引用
GB/T 7714-2015
复制
MLA
复制
APA
复制
导出至
BibTeX EndNote RefMan NoteFirst NoteExpress
×
提示
您的信息不完整,为了账户安全,请先补充。
现在去补充
×
提示
您因"违规操作"
具体请查看互助需知
我知道了
×
提示
确定
请完成安全验证×
copy
已复制链接
快去分享给好友吧!
我知道了
右上角分享
点击右上角分享
0
联系我们:info@booksci.cn Book学术提供免费学术资源搜索服务,方便国内外学者检索中英文文献。致力于提供最便捷和优质的服务体验。 Copyright © 2023 布克学术 All rights reserved.
京ICP备2023020795号-1
ghs 京公网安备 11010802042870号
Book学术文献互助
Book学术文献互助群
群 号:604180095
Book学术官方微信