Subconjunctival dirofilariasis in a healthy subject: a case report.

IF 2.3 Q1 OPHTHALMOLOGY
Amirhossein Aghajani, Mohammad Taher Rajabi, Seyed Mohsen Rafizadeh, Elham Rahmanikhah, Reza Samiee, Mohammad Reza Abdol Homayuni, Amin Zand
{"title":"Subconjunctival dirofilariasis in a healthy subject: a case report.","authors":"Amirhossein Aghajani, Mohammad Taher Rajabi, Seyed Mohsen Rafizadeh, Elham Rahmanikhah, Reza Samiee, Mohammad Reza Abdol Homayuni, Amin Zand","doi":"10.1186/s12348-024-00447-5","DOIUrl":null,"url":null,"abstract":"<p><strong>Purpose: </strong>To report a case of subconjunctival dirofilariasis presenting as an inflammatory mass-like lesion in a healthy individual.</p><p><strong>Case presentation: </strong>A 20-year-old male with a recent history of wildlife exposure in a rural village presented with an inflammatory subconjunctival mass in his left eye. The lesion was surgically excised, and histopathological examination confirmed the presence of an immature nematode of Dirofilaria immitis. The patient was treated with oral ivermectin for two weeks postoperatively. After two months, the lesion had almost completely resolved, and no recurrence was observed during the 6-month follow-up.</p><p><strong>Conclusions: </strong>Given the rarity of ocular dirofilariasis and its diverse presentations in different ocular and adnexal structures, prompt and complete excision followed by meticulous histopathological evaluation is crucial to guide appropriate management and achieve favorable outcomes.</p>","PeriodicalId":16600,"journal":{"name":"Journal of Ophthalmic Inflammation and Infection","volume":"14 1","pages":"66"},"PeriodicalIF":2.3000,"publicationDate":"2024-12-18","publicationTypes":"Journal Article","fieldsOfStudy":null,"isOpenAccess":false,"openAccessPdf":"https://www.ncbi.nlm.nih.gov/pmc/articles/PMC11655823/pdf/","citationCount":"0","resultStr":null,"platform":"Semanticscholar","paperid":null,"PeriodicalName":"Journal of Ophthalmic Inflammation and Infection","FirstCategoryId":"1085","ListUrlMain":"https://doi.org/10.1186/s12348-024-00447-5","RegionNum":0,"RegionCategory":null,"ArticlePicture":[],"TitleCN":null,"AbstractTextCN":null,"PMCID":null,"EPubDate":"","PubModel":"","JCR":"Q1","JCRName":"OPHTHALMOLOGY","Score":null,"Total":0}
引用次数: 0

Abstract

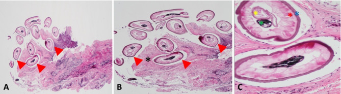
Purpose: To report a case of subconjunctival dirofilariasis presenting as an inflammatory mass-like lesion in a healthy individual.

Case presentation: A 20-year-old male with a recent history of wildlife exposure in a rural village presented with an inflammatory subconjunctival mass in his left eye. The lesion was surgically excised, and histopathological examination confirmed the presence of an immature nematode of Dirofilaria immitis. The patient was treated with oral ivermectin for two weeks postoperatively. After two months, the lesion had almost completely resolved, and no recurrence was observed during the 6-month follow-up.

Conclusions: Given the rarity of ocular dirofilariasis and its diverse presentations in different ocular and adnexal structures, prompt and complete excision followed by meticulous histopathological evaluation is crucial to guide appropriate management and achieve favorable outcomes.

Abstract Image

Abstract Image

Abstract Image

健康人结膜下双丝虫病1例
目的:报告一例结膜下双丝虫病在健康个体中表现为炎性肿块样病变。病例报告:一名20岁男性,近期在农村有野生动物接触史,左眼出现炎症性结膜下肿块。病变被手术切除,组织病理学检查证实了一种未成熟线虫的存在。患者术后口服伊维菌素2周。2个月后,病灶几乎完全消退,6个月随访无复发。结论:鉴于眼钩丝虫病的罕见性及其在不同眼部和附件结构中的多种表现,及时彻底切除并进行细致的组织病理学评估对于指导适当的治疗和取得良好的效果至关重要。
本文章由计算机程序翻译,如有差异,请以英文原文为准。
求助全文
约1分钟内获得全文 求助全文
来源期刊
CiteScore
3.80
自引率
3.40%
发文量
39
审稿时长
13 weeks
×
引用
GB/T 7714-2015
复制
MLA
复制
APA
复制
导出至
BibTeX EndNote RefMan NoteFirst NoteExpress
×
提示
您的信息不完整,为了账户安全,请先补充。
现在去补充
×
提示
您因"违规操作"
具体请查看互助需知
我知道了
×
提示
确定
请完成安全验证×
copy
已复制链接
快去分享给好友吧!
我知道了
右上角分享
点击右上角分享
0
联系我们:info@booksci.cn Book学术提供免费学术资源搜索服务,方便国内外学者检索中英文文献。致力于提供最便捷和优质的服务体验。 Copyright © 2023 布克学术 All rights reserved.
京ICP备2023020795号-1
ghs 京公网安备 11010802042870号
Book学术文献互助
Book学术文献互助群
群 号:604180095
Book学术官方微信