Use of a double pigtail ureteral stent for surgical management of obstructive pancreatolithiasis in a feline patient.

IF 0.7 Q3 VETERINARY SCIENCES
Journal of Feline Medicine and Surgery Open Reports Pub Date : 2024-12-17 eCollection Date: 2024-07-01 DOI:10.1177/20551169241288217
Lydia Chang, Jim A Taylor
{"title":"Use of a double pigtail ureteral stent for surgical management of obstructive pancreatolithiasis in a feline patient.","authors":"Lydia Chang, Jim A Taylor","doi":"10.1177/20551169241288217","DOIUrl":null,"url":null,"abstract":"<p><strong>Case summary: </strong>A 7-year-old castrated male domestic shorthair cat was presented for surgical intervention for obstructive pancreatolithiasis. The patient had a history of chronic weight loss, vomiting and lethargy. Elevation of feline pancreas-specific lipase and a marked decrease in cobalamin were documented on blood biochemistry. Abdominal ultrasound revealed an enlarged right pancreatic limb with a dilated central duct and multiple pancreatoliths visualized within, consistent with partial pancreatic duct obstruction. The patient was successfully treated with a minor duodenal papilla construction using a 2.5 Fr double pigtail ureteral stent.</p><p><strong>Relevance and novel information: </strong>Pancreatolithiasis is an exceptionally rare condition in veterinary medicine, particularly in cats, with only a few reported cases. Given its low incidence, there is no established consensus regarding the best therapeutic options in clinical practice. This case report outlines the successful application of a locking loop catheter to re-establish the patency of a pancreatic duct. Notably, this is the first documented use of this technique for the surgical management of obstructive pancreatolithiasis.</p>","PeriodicalId":36588,"journal":{"name":"Journal of Feline Medicine and Surgery Open Reports","volume":"10 2","pages":"20551169241288217"},"PeriodicalIF":0.7000,"publicationDate":"2024-12-17","publicationTypes":"Journal Article","fieldsOfStudy":null,"isOpenAccess":false,"openAccessPdf":"https://www.ncbi.nlm.nih.gov/pmc/articles/PMC11650493/pdf/","citationCount":"0","resultStr":null,"platform":"Semanticscholar","paperid":null,"PeriodicalName":"Journal of Feline Medicine and Surgery Open Reports","FirstCategoryId":"1085","ListUrlMain":"https://doi.org/10.1177/20551169241288217","RegionNum":0,"RegionCategory":null,"ArticlePicture":[],"TitleCN":null,"AbstractTextCN":null,"PMCID":null,"EPubDate":"2024/7/1 0:00:00","PubModel":"eCollection","JCR":"Q3","JCRName":"VETERINARY SCIENCES","Score":null,"Total":0}
引用次数: 0

Abstract

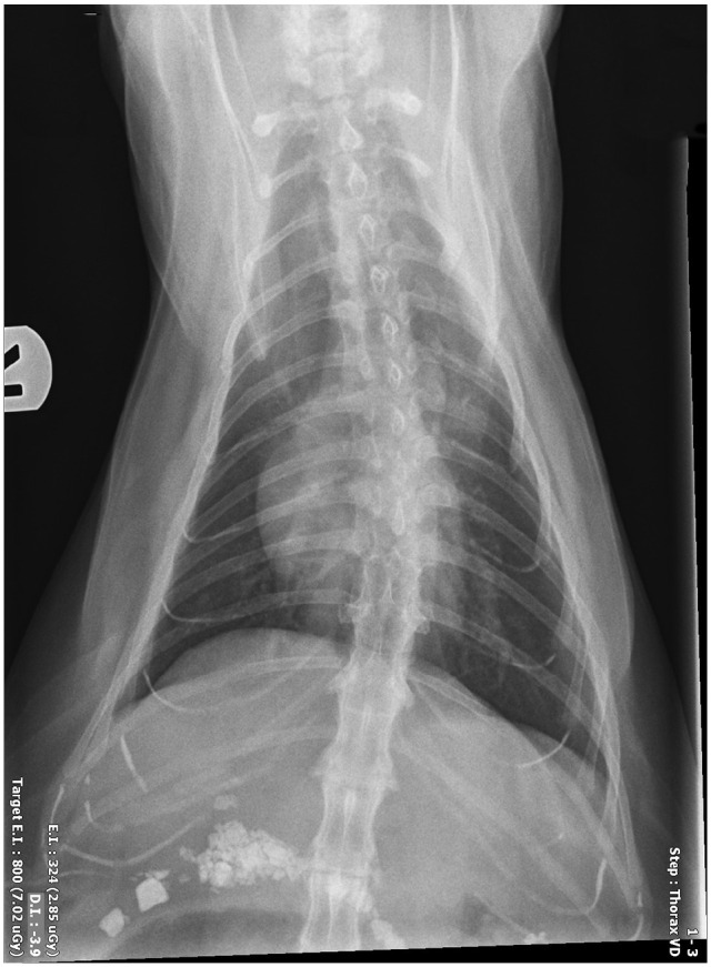
Case summary: A 7-year-old castrated male domestic shorthair cat was presented for surgical intervention for obstructive pancreatolithiasis. The patient had a history of chronic weight loss, vomiting and lethargy. Elevation of feline pancreas-specific lipase and a marked decrease in cobalamin were documented on blood biochemistry. Abdominal ultrasound revealed an enlarged right pancreatic limb with a dilated central duct and multiple pancreatoliths visualized within, consistent with partial pancreatic duct obstruction. The patient was successfully treated with a minor duodenal papilla construction using a 2.5 Fr double pigtail ureteral stent.

Relevance and novel information: Pancreatolithiasis is an exceptionally rare condition in veterinary medicine, particularly in cats, with only a few reported cases. Given its low incidence, there is no established consensus regarding the best therapeutic options in clinical practice. This case report outlines the successful application of a locking loop catheter to re-establish the patency of a pancreatic duct. Notably, this is the first documented use of this technique for the surgical management of obstructive pancreatolithiasis.

Abstract Image

Abstract Image

Abstract Image

使用双猪尾输尿管支架对一名猫科动物患者的梗阻性胰胆管结石进行手术治疗。
病例总结:一只7岁的雄性家养短毛猫因梗阻性胰石症接受手术治疗。患者有慢性体重减轻、呕吐和嗜睡史。血生化结果显示,猫胰特异性脂肪酶升高,钴胺素显著降低。腹部超声显示右胰肢肿大,中央胰管扩张,可见多发胰石,符合部分胰管梗阻。患者成功地使用2.5 Fr双尾输尿管支架进行小十二指肠乳头构建。相关性和新信息:胰石症在兽医学中是一种非常罕见的疾病,特别是在猫中,只有少数报告病例。鉴于其低发病率,在临床实践中没有关于最佳治疗选择的既定共识。本病例报告概述了成功应用锁环导管重建胰管通畅。值得注意的是,这是该技术在梗阻性胰管结石手术治疗中的首次应用。
本文章由计算机程序翻译,如有差异,请以英文原文为准。
求助全文
约1分钟内获得全文 求助全文
来源期刊
CiteScore
1.30
自引率
14.30%
发文量
57
审稿时长
15 weeks
×
引用
GB/T 7714-2015
复制
MLA
复制
APA
复制
导出至
BibTeX EndNote RefMan NoteFirst NoteExpress
×
提示
您的信息不完整,为了账户安全,请先补充。
现在去补充
×
提示
您因"违规操作"
具体请查看互助需知
我知道了
×
提示
确定
请完成安全验证×
copy
已复制链接
快去分享给好友吧!
我知道了
右上角分享
点击右上角分享
0
联系我们:info@booksci.cn Book学术提供免费学术资源搜索服务,方便国内外学者检索中英文文献。致力于提供最便捷和优质的服务体验。 Copyright © 2023 布克学术 All rights reserved.
京ICP备2023020795号-1
ghs 京公网安备 11010802042870号
Book学术文献互助
Book学术文献互助群
群 号:604180095
Book学术官方微信