Nasal telangiectatic osteosarcoma with direct extension to the brain in a domestic shorthair cat.

IF 0.7 Q3 VETERINARY SCIENCES
Journal of Feline Medicine and Surgery Open Reports Pub Date : 2024-12-16 eCollection Date: 2024-07-01 DOI:10.1177/20551169241293956
Anahi Souza Silva, Ana Lívia Vasconcelos de Sousa, Nanci Sousa Nilo Bahia Diniz, Isabel Luana de Macêdo, Jair Duarte da Costa Júnior, Christine Souza Martins, Cristiano Barros de Melo, Márcio Botelho de Castro
{"title":"Nasal telangiectatic osteosarcoma with direct extension to the brain in a domestic shorthair cat.","authors":"Anahi Souza Silva, Ana Lívia Vasconcelos de Sousa, Nanci Sousa Nilo Bahia Diniz, Isabel Luana de Macêdo, Jair Duarte da Costa Júnior, Christine Souza Martins, Cristiano Barros de Melo, Márcio Botelho de Castro","doi":"10.1177/20551169241293956","DOIUrl":null,"url":null,"abstract":"<p><strong>Case summary: </strong>This case report describes the clinical and pathological features of telangiectatic osteosarcoma (TOS) with brain invasion in a 4-year-old female domestic shorthair cat. The cat presented with respiratory distress, epistaxis, anorexia and significant nasal obstruction. A rhinoscopy revealed an amorphous white neoformation in the left nasal cavity. Despite treatment, the cat's condition deteriorated and it succumbed to the disease. Necropsy and histopathologic examination revealed an infiltrative malignant neoplasm with osteoid matrix and sarcomatous cells surrounding blood-filled non-vascular spaces. Immunohistochemistry showed positive staining for bone cell markers and vimentin, while endothelial markers were negative, confirming TOS.</p><p><strong>Relevance and novel information: </strong>Nasal diseases in cats present significant diagnostic challenges due to similar clinical signs, such as respiratory distress and nasal discharge. Nasal osteosarcomas are rare, and TOS is the rarest subtype, characterized by blood-filled spaces within an aggressive osteolytic lesion. This case highlights the diagnostic complexities and poor prognosis associated with TOS in cats, emphasizing the need for advanced imaging and immunohistochemical tests for accurate diagnosis. Given the aggressive nature and rapid progression of TOS, it should be considered in differential diagnoses of feline nasal obstructive lesions.</p>","PeriodicalId":36588,"journal":{"name":"Journal of Feline Medicine and Surgery Open Reports","volume":"10 2","pages":"20551169241293956"},"PeriodicalIF":0.7000,"publicationDate":"2024-12-16","publicationTypes":"Journal Article","fieldsOfStudy":null,"isOpenAccess":false,"openAccessPdf":"https://www.ncbi.nlm.nih.gov/pmc/articles/PMC11650490/pdf/","citationCount":"0","resultStr":null,"platform":"Semanticscholar","paperid":null,"PeriodicalName":"Journal of Feline Medicine and Surgery Open Reports","FirstCategoryId":"1085","ListUrlMain":"https://doi.org/10.1177/20551169241293956","RegionNum":0,"RegionCategory":null,"ArticlePicture":[],"TitleCN":null,"AbstractTextCN":null,"PMCID":null,"EPubDate":"2024/7/1 0:00:00","PubModel":"eCollection","JCR":"Q3","JCRName":"VETERINARY SCIENCES","Score":null,"Total":0}
引用次数: 0

Abstract

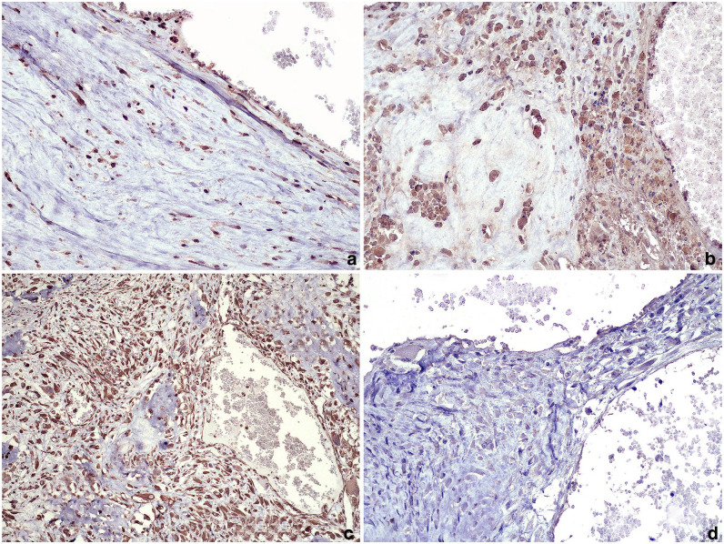
Case summary: This case report describes the clinical and pathological features of telangiectatic osteosarcoma (TOS) with brain invasion in a 4-year-old female domestic shorthair cat. The cat presented with respiratory distress, epistaxis, anorexia and significant nasal obstruction. A rhinoscopy revealed an amorphous white neoformation in the left nasal cavity. Despite treatment, the cat's condition deteriorated and it succumbed to the disease. Necropsy and histopathologic examination revealed an infiltrative malignant neoplasm with osteoid matrix and sarcomatous cells surrounding blood-filled non-vascular spaces. Immunohistochemistry showed positive staining for bone cell markers and vimentin, while endothelial markers were negative, confirming TOS.

Relevance and novel information: Nasal diseases in cats present significant diagnostic challenges due to similar clinical signs, such as respiratory distress and nasal discharge. Nasal osteosarcomas are rare, and TOS is the rarest subtype, characterized by blood-filled spaces within an aggressive osteolytic lesion. This case highlights the diagnostic complexities and poor prognosis associated with TOS in cats, emphasizing the need for advanced imaging and immunohistochemical tests for accurate diagnosis. Given the aggressive nature and rapid progression of TOS, it should be considered in differential diagnoses of feline nasal obstructive lesions.

Abstract Image

Abstract Image

Abstract Image

家养短毛猫鼻腔毛细血管扩张性骨肉瘤直接延伸至脑部。
病例总结:本病例报告描述了一只4岁雌性家短毛猫的毛细血管扩张性骨肉瘤(TOS)伴脑侵犯的临床和病理特征。猫表现为呼吸窘迫、鼻出血、厌食和明显的鼻塞。鼻镜检查发现左鼻腔有一无定形白色赘生物。尽管接受了治疗,但这只猫的病情恶化,最终死于这种疾病。尸检和组织病理学检查显示浸润性恶性肿瘤,骨样基质和肉瘤细胞周围充满血液的非血管间隙。免疫组化显示骨细胞标记物和静脉蛋白阳性,内皮细胞标记物阴性,证实TOS。相关性和新信息:由于类似的临床症状,如呼吸窘迫和鼻分泌物,猫的鼻腔疾病呈现出重大的诊断挑战。鼻骨肉瘤是罕见的,而TOS是最罕见的亚型,其特征是在侵袭性溶骨病变内充血腔。该病例强调了诊断复杂性和猫TOS相关的不良预后,强调需要先进的影像学和免疫组织化学测试来准确诊断。鉴于TOS的侵袭性和快速进展,在猫鼻阻塞病变的鉴别诊断中应予以考虑。
本文章由计算机程序翻译,如有差异,请以英文原文为准。
求助全文
约1分钟内获得全文 求助全文
来源期刊
CiteScore
1.30
自引率
14.30%
发文量
57
审稿时长
15 weeks
×
引用
GB/T 7714-2015
复制
MLA
复制
APA
复制
导出至
BibTeX EndNote RefMan NoteFirst NoteExpress
×
提示
您的信息不完整,为了账户安全,请先补充。
现在去补充
×
提示
您因"违规操作"
具体请查看互助需知
我知道了
×
提示
确定
请完成安全验证×
copy
已复制链接
快去分享给好友吧!
我知道了
右上角分享
点击右上角分享
0
联系我们:info@booksci.cn Book学术提供免费学术资源搜索服务,方便国内外学者检索中英文文献。致力于提供最便捷和优质的服务体验。 Copyright © 2023 布克学术 All rights reserved.
京ICP备2023020795号-1
ghs 京公网安备 11010802042870号
Book学术文献互助
Book学术文献互助群
群 号:604180095
Book学术官方微信