Effectiveness of caudal segmental mandibulectomy in a cat: clinical and tomographic outcomes.

IF 0.7 Q3 VETERINARY SCIENCES
Journal of Feline Medicine and Surgery Open Reports Pub Date : 2024-12-17 eCollection Date: 2024-07-01 DOI:10.1177/20551169241297490
Stefania Pinna, Luca Ciammaichella, Chiara Tassani, Chiara Ferrari, Simone Perfetti
{"title":"Effectiveness of caudal segmental mandibulectomy in a cat: clinical and tomographic outcomes.","authors":"Stefania Pinna, Luca Ciammaichella, Chiara Tassani, Chiara Ferrari, Simone Perfetti","doi":"10.1177/20551169241297490","DOIUrl":null,"url":null,"abstract":"<p><strong>Case summary: </strong>A 1-year-old spayed female domestic British Shorthair cat was presented for facial trauma; there were multiple mandibular fractures involving the right temporomandibular joint (TMJ) that were managed conservatively. After 2 months, the owner reported a gradual onset of the cat's inability to open its mouth and subsequent inappetence. The maximum mouth opening (MMO) measured 7 mm. CT showed ankylosis of the TMJ, and surgical treatment with caudal segmental mandibulectomy (CSM) was performed. The cat had a rapid postoperative recovery and returned promptly to spontaneous eating, with a nearly normal MMO of 33 mm. A CT scan performed 3 months postoperatively showed a mild rightward deviation of the mandible, and a clearly visible non-ossified ostectomy gap between the body and the ramus of the right mandible. The cat continued to eat spontaneously without dysphagia following surgery and was asymptomatic 1 year postoperatively.</p><p><strong>Relevance and novel information: </strong>To the authors' knowledge, this is the first report describing the tomographic findings after CSM, as compared with the clinical outcome. Postoperative CT is indicated to confirm the success of the procedure and to assess TMJ ankylosis sequalae or complications of the CSM surgical site at an early stage. This report confirmed the effectiveness of CSM in resolving TMJ stiffness due to articular fractures or ankylosis with a good clinical and tomographic outcome.</p>","PeriodicalId":36588,"journal":{"name":"Journal of Feline Medicine and Surgery Open Reports","volume":"10 2","pages":"20551169241297490"},"PeriodicalIF":0.7000,"publicationDate":"2024-12-17","publicationTypes":"Journal Article","fieldsOfStudy":null,"isOpenAccess":false,"openAccessPdf":"https://www.ncbi.nlm.nih.gov/pmc/articles/PMC11650489/pdf/","citationCount":"0","resultStr":null,"platform":"Semanticscholar","paperid":null,"PeriodicalName":"Journal of Feline Medicine and Surgery Open Reports","FirstCategoryId":"1085","ListUrlMain":"https://doi.org/10.1177/20551169241297490","RegionNum":0,"RegionCategory":null,"ArticlePicture":[],"TitleCN":null,"AbstractTextCN":null,"PMCID":null,"EPubDate":"2024/7/1 0:00:00","PubModel":"eCollection","JCR":"Q3","JCRName":"VETERINARY SCIENCES","Score":null,"Total":0}
引用次数: 0

Abstract

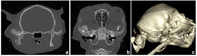
Case summary: A 1-year-old spayed female domestic British Shorthair cat was presented for facial trauma; there were multiple mandibular fractures involving the right temporomandibular joint (TMJ) that were managed conservatively. After 2 months, the owner reported a gradual onset of the cat's inability to open its mouth and subsequent inappetence. The maximum mouth opening (MMO) measured 7 mm. CT showed ankylosis of the TMJ, and surgical treatment with caudal segmental mandibulectomy (CSM) was performed. The cat had a rapid postoperative recovery and returned promptly to spontaneous eating, with a nearly normal MMO of 33 mm. A CT scan performed 3 months postoperatively showed a mild rightward deviation of the mandible, and a clearly visible non-ossified ostectomy gap between the body and the ramus of the right mandible. The cat continued to eat spontaneously without dysphagia following surgery and was asymptomatic 1 year postoperatively.

Relevance and novel information: To the authors' knowledge, this is the first report describing the tomographic findings after CSM, as compared with the clinical outcome. Postoperative CT is indicated to confirm the success of the procedure and to assess TMJ ankylosis sequalae or complications of the CSM surgical site at an early stage. This report confirmed the effectiveness of CSM in resolving TMJ stiffness due to articular fractures or ankylosis with a good clinical and tomographic outcome.

Abstract Image

Abstract Image

Abstract Image

猫尾节段下颌骨切除术的有效性:临床和断层结果。
病例总结:一只1岁的雌性家养英国短毛猫因面部外伤被报道;有多处下颌骨骨折累及右颞下颌关节(TMJ),并予以保守处理。2个月后,主人报告说猫逐渐无法张嘴,随后食欲不振。最大开口(MMO)为7 mm。CT显示颞下颌关节强直,行尾节段下颌骨切除术(CSM)治疗。猫术后恢复迅速,并迅速恢复自主进食,MMO几乎正常,为33毫米。术后3个月进行的CT扫描显示下颌骨轻度右偏,在身体和右侧下颌骨分支之间有清晰可见的未骨化的截骨间隙。术后猫继续自发进食,无吞咽困难,术后1年无症状。相关性和新信息:据作者所知,这是第一份描述CSM后断层扫描结果与临床结果比较的报告。术后CT用于确认手术是否成功,并早期评估颞下颌关节强直的后遗症或CSM手术部位的并发症。本报告证实了CSM在解决关节骨折或强直引起的TMJ僵硬方面的有效性,并具有良好的临床和断层扫描结果。
本文章由计算机程序翻译,如有差异,请以英文原文为准。
求助全文
约1分钟内获得全文 求助全文
来源期刊
CiteScore
1.30
自引率
14.30%
发文量
57
审稿时长
15 weeks
×
引用
GB/T 7714-2015
复制
MLA
复制
APA
复制
导出至
BibTeX EndNote RefMan NoteFirst NoteExpress
×
提示
您的信息不完整,为了账户安全,请先补充。
现在去补充
×
提示
您因"违规操作"
具体请查看互助需知
我知道了
×
提示
确定
请完成安全验证×
copy
已复制链接
快去分享给好友吧!
我知道了
右上角分享
点击右上角分享
0
联系我们:info@booksci.cn Book学术提供免费学术资源搜索服务,方便国内外学者检索中英文文献。致力于提供最便捷和优质的服务体验。 Copyright © 2023 布克学术 All rights reserved.
京ICP备2023020795号-1
ghs 京公网安备 11010802042870号
Book学术文献互助
Book学术文献互助群
群 号:604180095
Book学术官方微信