Unveiling the Uncommon: A Case Report of Horner's Syndrome as a Rare Glimpse Into Giant Cell Arteritis.

IF 0.9 Q4 CLINICAL NEUROLOGY
Case Reports in Neurological Medicine Pub Date : 2024-12-10 eCollection Date: 2024-01-01 DOI:10.1155/crnm/2503963
Emily Barr, Justine Levesque, John Badir, Randall Dunston, Tamra Ranasinghe
{"title":"Unveiling the Uncommon: A Case Report of Horner's Syndrome as a Rare Glimpse Into Giant Cell Arteritis.","authors":"Emily Barr, Justine Levesque, John Badir, Randall Dunston, Tamra Ranasinghe","doi":"10.1155/crnm/2503963","DOIUrl":null,"url":null,"abstract":"<p><p>Giant cell arteritis (GCA) is an inflammatory vasculitis affecting large and medium-sized arteries, leading to complications such as arterial dissection, blindness, and stroke. Rarely, GCA presents with Horner's syndrome due to sympathetic neuron involvement from arterial inflammation. This case report discusses an 82-year-old female with hypertension, atrial fibrillation, and arthritis who presented with a 24 h history of right eye ptosis, blurred vision, dizziness, and aching eye pain. She had a mild headache and tenderness over the right temporomandibular joint but no temporal artery tenderness. Examination revealed right eye ptosis and miosis, indicative of Horner's syndrome, with no other neurological deficits. Lab results showed elevated ESR (68 mm/h) and CRP (16 mg/L). MRI with contrast revealed mild to moderate stenosis and enhancement in bilateral MCAs and basilar artery with inflammation in the right distal extracranial ICA, suggesting an inflammatory process. The patient was started on prednisone 40 mg daily. A temporal artery biopsy confirmed GCA with characteristic histopathological findings. Her prednisone dosage was increased to 60 mg/day, and she was started on tocilizumab. This case underscores the need to consider GCA in patients with Horner's syndrome and the importance of vessel wall imaging, as early corticosteroid treatment can prevent complications like vision loss and stroke.</p>","PeriodicalId":9615,"journal":{"name":"Case Reports in Neurological Medicine","volume":"2024 ","pages":"2503963"},"PeriodicalIF":0.9000,"publicationDate":"2024-12-10","publicationTypes":"Journal Article","fieldsOfStudy":null,"isOpenAccess":false,"openAccessPdf":"https://www.ncbi.nlm.nih.gov/pmc/articles/PMC11651727/pdf/","citationCount":"0","resultStr":null,"platform":"Semanticscholar","paperid":null,"PeriodicalName":"Case Reports in Neurological Medicine","FirstCategoryId":"1085","ListUrlMain":"https://doi.org/10.1155/crnm/2503963","RegionNum":0,"RegionCategory":null,"ArticlePicture":[],"TitleCN":null,"AbstractTextCN":null,"PMCID":null,"EPubDate":"2024/1/1 0:00:00","PubModel":"eCollection","JCR":"Q4","JCRName":"CLINICAL NEUROLOGY","Score":null,"Total":0}
引用次数: 0

Abstract

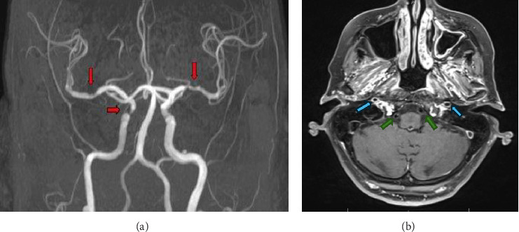
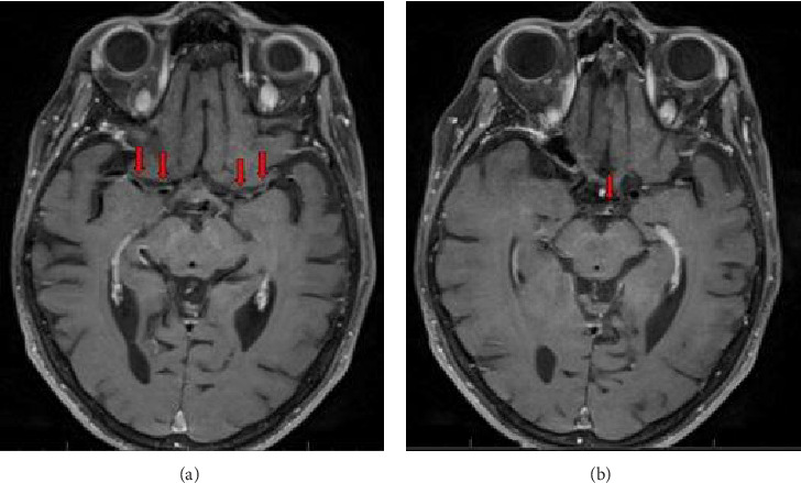
Giant cell arteritis (GCA) is an inflammatory vasculitis affecting large and medium-sized arteries, leading to complications such as arterial dissection, blindness, and stroke. Rarely, GCA presents with Horner's syndrome due to sympathetic neuron involvement from arterial inflammation. This case report discusses an 82-year-old female with hypertension, atrial fibrillation, and arthritis who presented with a 24 h history of right eye ptosis, blurred vision, dizziness, and aching eye pain. She had a mild headache and tenderness over the right temporomandibular joint but no temporal artery tenderness. Examination revealed right eye ptosis and miosis, indicative of Horner's syndrome, with no other neurological deficits. Lab results showed elevated ESR (68 mm/h) and CRP (16 mg/L). MRI with contrast revealed mild to moderate stenosis and enhancement in bilateral MCAs and basilar artery with inflammation in the right distal extracranial ICA, suggesting an inflammatory process. The patient was started on prednisone 40 mg daily. A temporal artery biopsy confirmed GCA with characteristic histopathological findings. Her prednisone dosage was increased to 60 mg/day, and she was started on tocilizumab. This case underscores the need to consider GCA in patients with Horner's syndrome and the importance of vessel wall imaging, as early corticosteroid treatment can prevent complications like vision loss and stroke.

Abstract Image

Abstract Image

Abstract Image

揭示不寻常:霍纳综合征作为巨细胞动脉炎的罕见一瞥病例报告。
巨细胞动脉炎(GCA)是一种影响大中型动脉的炎症性血管炎,可导致动脉夹层、失明和中风等并发症。由于动脉炎症累及交感神经元,GCA很少表现为霍纳综合征。本病例报告讨论了一名82岁女性高血压、房颤和关节炎患者,其表现为24小时的右眼上睑下垂、视力模糊、头晕和眼痛。她有轻微的头痛和右颞下颌关节压痛,但没有颞动脉压痛。检查显示右眼上睑下垂和瞳孔缩小,表明霍纳氏综合征,没有其他神经功能障碍。实验室结果显示ESR升高(68 mm/h), CRP升高(16 mg/L)。MRI对比显示双侧mca和基底动脉轻度至中度狭窄和强化,右侧颅外ICA远端有炎症,提示炎症过程。患者开始使用强的松,每日40毫克。颞动脉活检证实GCA具有特征性的组织病理学表现。她的强的松剂量增加到60mg /天,并开始使用托珠单抗。该病例强调了考虑霍纳综合征患者的GCA的必要性和血管壁成像的重要性,因为早期皮质类固醇治疗可以预防视力丧失和中风等并发症。
本文章由计算机程序翻译,如有差异,请以英文原文为准。
求助全文
约1分钟内获得全文 求助全文
来源期刊
自引率
0.00%
发文量
26
审稿时长
11 weeks
×
引用
GB/T 7714-2015
复制
MLA
复制
APA
复制
导出至
BibTeX EndNote RefMan NoteFirst NoteExpress
×
提示
您的信息不完整,为了账户安全,请先补充。
现在去补充
×
提示
您因"违规操作"
具体请查看互助需知
我知道了
×
提示
确定
请完成安全验证×
copy
已复制链接
快去分享给好友吧!
我知道了
右上角分享
点击右上角分享
0
联系我们:info@booksci.cn Book学术提供免费学术资源搜索服务,方便国内外学者检索中英文文献。致力于提供最便捷和优质的服务体验。 Copyright © 2023 布克学术 All rights reserved.
京ICP备2023020795号-1
ghs 京公网安备 11010802042870号
Book学术文献互助
Book学术文献互助群
群 号:604180095
Book学术官方微信