Semaglutide Inducing Resolution of Proliferative Diabetic Retinopathy: A Case Report.

IF 0.4 Q4 OPHTHALMOLOGY
Case Reports in Ophthalmological Medicine Pub Date : 2024-12-10 eCollection Date: 2024-01-01 DOI:10.1155/crop/5834769
Daniel Cool, James Coventon, Abhishek Sharma
{"title":"Semaglutide Inducing Resolution of Proliferative Diabetic Retinopathy: A Case Report.","authors":"Daniel Cool, James Coventon, Abhishek Sharma","doi":"10.1155/crop/5834769","DOIUrl":null,"url":null,"abstract":"<p><p><b>Purpose:</b> To describe a case of regression of proliferative diabetic retinopathy (PDR) following treatment with semaglutide. <b>Methods:</b> Case report. <b>Results:</b> The case describes a 47-year-old woman with Type 2 diabetes, obesity, hypertension, and dyslipidaemia who had difficulty controlling her blood sugar levels despite oral hypoglycaemic medications. She presented with PDR in her right eye and severe nonproliferative diabetic retinopathy (NPDR) in her left eye. After missing her follow-up appointment for panretinal photocoagulation (PRP), her general practitioner initiated semaglutide therapy. Despite minimal changes in glycaemic control, the patient exhibited resolution of neovascularisation in her right eye and improved diabetic macular oedema (DMO) within 6 weeks of semaglutide therapy. <b>Conclusion:</b> This case report suggests a potential independent role for semaglutide in managing PDR.</p>","PeriodicalId":9603,"journal":{"name":"Case Reports in Ophthalmological Medicine","volume":"2024 ","pages":"5834769"},"PeriodicalIF":0.4000,"publicationDate":"2024-12-10","publicationTypes":"Journal Article","fieldsOfStudy":null,"isOpenAccess":false,"openAccessPdf":"https://www.ncbi.nlm.nih.gov/pmc/articles/PMC11651726/pdf/","citationCount":"0","resultStr":null,"platform":"Semanticscholar","paperid":null,"PeriodicalName":"Case Reports in Ophthalmological Medicine","FirstCategoryId":"1085","ListUrlMain":"https://doi.org/10.1155/crop/5834769","RegionNum":0,"RegionCategory":null,"ArticlePicture":[],"TitleCN":null,"AbstractTextCN":null,"PMCID":null,"EPubDate":"2024/1/1 0:00:00","PubModel":"eCollection","JCR":"Q4","JCRName":"OPHTHALMOLOGY","Score":null,"Total":0}
引用次数: 0

Abstract

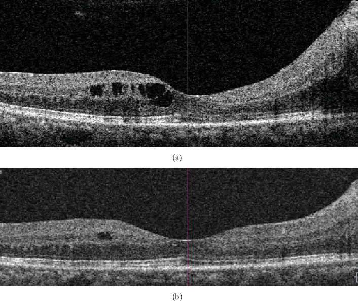
Purpose: To describe a case of regression of proliferative diabetic retinopathy (PDR) following treatment with semaglutide. Methods: Case report. Results: The case describes a 47-year-old woman with Type 2 diabetes, obesity, hypertension, and dyslipidaemia who had difficulty controlling her blood sugar levels despite oral hypoglycaemic medications. She presented with PDR in her right eye and severe nonproliferative diabetic retinopathy (NPDR) in her left eye. After missing her follow-up appointment for panretinal photocoagulation (PRP), her general practitioner initiated semaglutide therapy. Despite minimal changes in glycaemic control, the patient exhibited resolution of neovascularisation in her right eye and improved diabetic macular oedema (DMO) within 6 weeks of semaglutide therapy. Conclusion: This case report suggests a potential independent role for semaglutide in managing PDR.

Abstract Image

Abstract Image

西马鲁肽诱导增殖性糖尿病视网膜病变消退1例。
目的:报告1例增生性糖尿病视网膜病变(PDR)经西马鲁肽治疗后病情好转的病例。方法:病例报告。结果:该病例描述了一名47岁的女性,患有2型糖尿病、肥胖、高血压和血脂异常,尽管口服降糖药,但仍难以控制血糖水平。她的右眼有PDR,左眼有严重的非增殖性糖尿病视网膜病变(NPDR)。在错过了全视网膜光凝(PRP)的随访预约后,她的全科医生开始了西马鲁肽治疗。尽管血糖控制的变化很小,但患者右眼新生血管消退,糖尿病性黄斑水肿(DMO)在西马鲁肽治疗6周内得到改善。结论:本病例报告提示西马鲁肽在治疗PDR中具有潜在的独立作用。
本文章由计算机程序翻译,如有差异,请以英文原文为准。
求助全文
约1分钟内获得全文 求助全文
来源期刊
自引率
0.00%
发文量
38
审稿时长
14 weeks
×
引用
GB/T 7714-2015
复制
MLA
复制
APA
复制
导出至
BibTeX EndNote RefMan NoteFirst NoteExpress
×
提示
您的信息不完整,为了账户安全,请先补充。
现在去补充
×
提示
您因"违规操作"
具体请查看互助需知
我知道了
×
提示
确定
请完成安全验证×
copy
已复制链接
快去分享给好友吧!
我知道了
右上角分享
点击右上角分享
0
联系我们:info@booksci.cn Book学术提供免费学术资源搜索服务,方便国内外学者检索中英文文献。致力于提供最便捷和优质的服务体验。 Copyright © 2023 布克学术 All rights reserved.
京ICP备2023020795号-1
ghs 京公网安备 11010802042870号
Book学术文献互助
Book学术文献互助群
群 号:604180095
Book学术官方微信