Diagnostic Value of Hepatic Mast Cell Concentration (MCC) in NAFLD and NASH Severity and Fibrosis Grade.

Q3 Medicine
Iranian Journal of Pathology Pub Date : 2024-01-01 Epub Date: 2024-04-29 DOI:10.30699/IJP.2024.2016320.3216
Mahshid Panahi, Nasser Rakhshani, Alireza Sarhaddi, Monavvar Afzalaghaee, Hamid Rezvani, Nikoo Emtiazi, Farkhonde Sarhaddi
{"title":"Diagnostic Value of Hepatic Mast Cell Concentration (MCC) in NAFLD and NASH Severity and Fibrosis Grade.","authors":"Mahshid Panahi, Nasser Rakhshani, Alireza Sarhaddi, Monavvar Afzalaghaee, Hamid Rezvani, Nikoo Emtiazi, Farkhonde Sarhaddi","doi":"10.30699/IJP.2024.2016320.3216","DOIUrl":null,"url":null,"abstract":"<p><strong>Background & objective: </strong>Mast cells play a role in the immune responses to fatty liver disease. The present study aimed to investigate the diagnostic value of hepatic mast cell concentration (MCC) in NAFLD and NASH severity and fibrosis grade.</p><p><strong>Methods: </strong>The present cross-sectional unremarkable hepatic histology, NAFLD, or NASH cases were enrolled. Demographic variables, BMI, hepatic stiffness assessed using fibroscan, portal inflammation, hepatic disease grade assessed using the NAFLD Activity Score (NAS), and hepatic fibrosis severity assessed using the NASH fibrosis stage, hepatic necrosis severity, and hepatic steatosis severity of the patients were collected. The hepatic specimens underwent immunohistochemical (IHC) staining.</p><p><strong>Results: </strong>Of a total of 92 patients with a mean age of 38.7±13.3 years, 56 (60.9%) were males. There were significant relationships between the NAS score of the patients and hepatic steatosis. Moreover, the NASH fibrosis stage had significant relationships with the variables of hepatic necrosis, steatosis, and stiffness. There were significant positive correlations between the mast cell concentration (MCC) in all zones of the hepatic tissue (zone 1, zone 2, zone 3, portal area, and total) and the variables of age, BMI, and hepatic necrosis, steatosis, and stiffness. The patients with a higher NASH fibrosis stage showed a significantly higher MCC in all zones of the hepatic tissue.</p><p><strong>Conclusion: </strong>Hepatic mast cell number may have a significant impact on the grade and fibrosis in NAFLD. However, it is recommended to perform further studies with larger sample sizes on patients with various etiologies for hepatic injury to confirm the present study results.</p>","PeriodicalId":38900,"journal":{"name":"Iranian Journal of Pathology","volume":"19 3","pages":"291-299"},"PeriodicalIF":0.0000,"publicationDate":"2024-01-01","publicationTypes":"Journal Article","fieldsOfStudy":null,"isOpenAccess":false,"openAccessPdf":"https://www.ncbi.nlm.nih.gov/pmc/articles/PMC11646207/pdf/","citationCount":"0","resultStr":null,"platform":"Semanticscholar","paperid":null,"PeriodicalName":"Iranian Journal of Pathology","FirstCategoryId":"1085","ListUrlMain":"https://doi.org/10.30699/IJP.2024.2016320.3216","RegionNum":0,"RegionCategory":null,"ArticlePicture":[],"TitleCN":null,"AbstractTextCN":null,"PMCID":null,"EPubDate":"2024/4/29 0:00:00","PubModel":"Epub","JCR":"Q3","JCRName":"Medicine","Score":null,"Total":0}
引用次数: 0

Abstract

Background & objective: Mast cells play a role in the immune responses to fatty liver disease. The present study aimed to investigate the diagnostic value of hepatic mast cell concentration (MCC) in NAFLD and NASH severity and fibrosis grade.

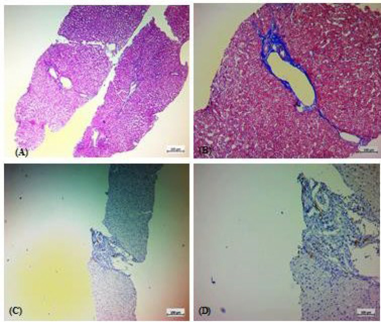
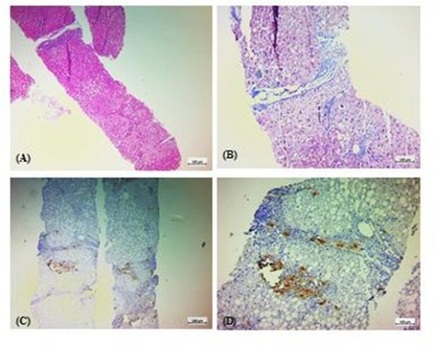
Methods: The present cross-sectional unremarkable hepatic histology, NAFLD, or NASH cases were enrolled. Demographic variables, BMI, hepatic stiffness assessed using fibroscan, portal inflammation, hepatic disease grade assessed using the NAFLD Activity Score (NAS), and hepatic fibrosis severity assessed using the NASH fibrosis stage, hepatic necrosis severity, and hepatic steatosis severity of the patients were collected. The hepatic specimens underwent immunohistochemical (IHC) staining.

Results: Of a total of 92 patients with a mean age of 38.7±13.3 years, 56 (60.9%) were males. There were significant relationships between the NAS score of the patients and hepatic steatosis. Moreover, the NASH fibrosis stage had significant relationships with the variables of hepatic necrosis, steatosis, and stiffness. There were significant positive correlations between the mast cell concentration (MCC) in all zones of the hepatic tissue (zone 1, zone 2, zone 3, portal area, and total) and the variables of age, BMI, and hepatic necrosis, steatosis, and stiffness. The patients with a higher NASH fibrosis stage showed a significantly higher MCC in all zones of the hepatic tissue.

Conclusion: Hepatic mast cell number may have a significant impact on the grade and fibrosis in NAFLD. However, it is recommended to perform further studies with larger sample sizes on patients with various etiologies for hepatic injury to confirm the present study results.

Abstract Image

Abstract Image

Abstract Image

肝肥大细胞浓度(MCC)在NAFLD和NASH严重程度及纤维化分级中的诊断价值。
背景与目的:肥大细胞在脂肪肝的免疫应答中起作用。本研究旨在探讨肝肥大细胞浓度(MCC)在NAFLD和NASH严重程度及纤维化分级中的诊断价值。方法:目前的横断面无显著的肝脏组织学,NAFLD,或NASH病例入组。收集了人口统计学变量、BMI、使用纤维扫描评估的肝僵硬度、门脉炎症、使用NAFLD活动评分(NAS)评估的肝病等级,以及使用NASH纤维化分期评估的肝纤维化严重程度、肝坏死严重程度和肝脂肪变性严重程度。肝脏标本行免疫组化(IHC)染色。结果:92例患者中,男性56例(60.9%),平均年龄38.7±13.3岁。NAS评分与肝脂肪变性有显著相关性。此外,NASH纤维化分期与肝坏死、脂肪变性和僵硬等变量有显著关系。肝组织各区域(1区、2区、3区、门静脉区和总区)的肥大细胞浓度(MCC)与年龄、BMI、肝坏死、脂肪变性和僵硬度等变量之间存在显著正相关。NASH纤维化分期较高的患者肝组织各区域的MCC均显著升高。结论:肝肥大细胞数量对NAFLD的分级和纤维化有重要影响。但是,建议对不同病因的肝损伤患者进行更大样本量的进一步研究,以证实本研究结果。
本文章由计算机程序翻译,如有差异,请以英文原文为准。
求助全文
约1分钟内获得全文 求助全文
来源期刊
Iranian Journal of Pathology
Iranian Journal of Pathology Medicine-Pathology and Forensic Medicine
CiteScore
2.00
自引率
0.00%
发文量
99
审稿时长
20 weeks
×
引用
GB/T 7714-2015
复制
MLA
复制
APA
复制
导出至
BibTeX EndNote RefMan NoteFirst NoteExpress
×
提示
您的信息不完整,为了账户安全,请先补充。
现在去补充
×
提示
您因"违规操作"
具体请查看互助需知
我知道了
×
提示
确定
请完成安全验证×
copy
已复制链接
快去分享给好友吧!
我知道了
右上角分享
点击右上角分享
0
联系我们:info@booksci.cn Book学术提供免费学术资源搜索服务,方便国内外学者检索中英文文献。致力于提供最便捷和优质的服务体验。 Copyright © 2023 布克学术 All rights reserved.
京ICP备2023020795号-1
ghs 京公网安备 11010802042870号
Book学术文献互助
Book学术文献互助群
群 号:604180095
Book学术官方微信