Comparison of the Structural, Cytological and Biomarker Expression in Carcinoma in situ and Invasive Components in Breast Carcinoma.

Q3 Medicine
Iranian Journal of Pathology Pub Date : 2024-01-01 Epub Date: 2024-04-07 DOI:10.30699/IJP.2024.2025907.3285
Azar Naimi, Niloufar Mohaghegh
{"title":"Comparison of the Structural, Cytological and Biomarker Expression in Carcinoma in situ and Invasive Components in Breast Carcinoma.","authors":"Azar Naimi, Niloufar Mohaghegh","doi":"10.30699/IJP.2024.2025907.3285","DOIUrl":null,"url":null,"abstract":"<p><strong>Background & objective: </strong>Breast cancer is thought to arise from non-invasive breast lesions, such as atypical ductal hyperplasia (ADH) and ductal carcinoma in situ (DCIS). DCIS is considered a direct precursor of invasive carcinoma. The morphological features alone do not reflect the biological truth of this disease. Therefore, we investigated features of carcinoma in situ and the invasive components in women diagnosed with breast cancer.</p><p><strong>Methods: </strong>This study was a cross-sectional study. The corresponding IHC slides were selected from the pathology archive and examined by the pathologist. Fifty-one samples which showed both in situ and invasive components confirmed immunohistochemically, were included in the study.</p><p><strong>Results: </strong>In 70.6% of the cases a high grade of in situ and invasive carcinoma was observed. In 45.1% of the studied cases, a solid structure was observed in in-situ carcinoma, and no otherwise specified structure was observed in invasive carcinoma. In 74.5% of both in situ and invasive carcinoma types, ER.PR had a positive value. In 45.5% of the cases, both in situ and invasive carcinoma components show low Ki67. In 42.2%, both in situ and invasive carcinomas were Her2 negative. There was no significant difference between the grade (<i>P</i>=0.687), Her2 type (<i>P</i>=0.532), and structure (<i>P</i>=0.532). ER.PR (<i>P</i>=1.00) and Ki67 (<i>P</i>=0.180) of in situ and invasive carcinoma in this study.</p><p><strong>Conclusion: </strong>Our study showed differences between in situ and invasive biomarker expression. According to our findings, owing to heterogeneity, in situ components can't be representative of invasive components for treatment choices.</p>","PeriodicalId":38900,"journal":{"name":"Iranian Journal of Pathology","volume":"19 3","pages":"318-325"},"PeriodicalIF":0.0000,"publicationDate":"2024-01-01","publicationTypes":"Journal Article","fieldsOfStudy":null,"isOpenAccess":false,"openAccessPdf":"https://www.ncbi.nlm.nih.gov/pmc/articles/PMC11646206/pdf/","citationCount":"0","resultStr":null,"platform":"Semanticscholar","paperid":null,"PeriodicalName":"Iranian Journal of Pathology","FirstCategoryId":"1085","ListUrlMain":"https://doi.org/10.30699/IJP.2024.2025907.3285","RegionNum":0,"RegionCategory":null,"ArticlePicture":[],"TitleCN":null,"AbstractTextCN":null,"PMCID":null,"EPubDate":"2024/4/7 0:00:00","PubModel":"Epub","JCR":"Q3","JCRName":"Medicine","Score":null,"Total":0}
引用次数: 0

Abstract

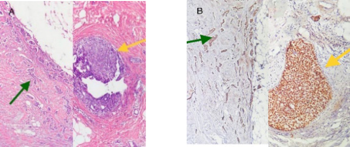
Background & objective: Breast cancer is thought to arise from non-invasive breast lesions, such as atypical ductal hyperplasia (ADH) and ductal carcinoma in situ (DCIS). DCIS is considered a direct precursor of invasive carcinoma. The morphological features alone do not reflect the biological truth of this disease. Therefore, we investigated features of carcinoma in situ and the invasive components in women diagnosed with breast cancer.

Methods: This study was a cross-sectional study. The corresponding IHC slides were selected from the pathology archive and examined by the pathologist. Fifty-one samples which showed both in situ and invasive components confirmed immunohistochemically, were included in the study.

Results: In 70.6% of the cases a high grade of in situ and invasive carcinoma was observed. In 45.1% of the studied cases, a solid structure was observed in in-situ carcinoma, and no otherwise specified structure was observed in invasive carcinoma. In 74.5% of both in situ and invasive carcinoma types, ER.PR had a positive value. In 45.5% of the cases, both in situ and invasive carcinoma components show low Ki67. In 42.2%, both in situ and invasive carcinomas were Her2 negative. There was no significant difference between the grade (P=0.687), Her2 type (P=0.532), and structure (P=0.532). ER.PR (P=1.00) and Ki67 (P=0.180) of in situ and invasive carcinoma in this study.

Conclusion: Our study showed differences between in situ and invasive biomarker expression. According to our findings, owing to heterogeneity, in situ components can't be representative of invasive components for treatment choices.

Abstract Image

乳腺癌原位癌和浸润性成分结构、细胞学和生物标志物表达的比较。
背景与目的:乳腺癌被认为是由非侵入性乳腺病变引起的,如非典型导管增生(ADH)和导管原位癌(DCIS)。DCIS 被认为是浸润性癌的直接前兆。单从形态学特征来看,并不能反映这种疾病的生物学真相。因此,我们对确诊为乳腺癌的女性中原位癌和浸润癌的特征进行了调查:本研究为横断面研究。从病理档案中选取相应的 IHC 切片,由病理学家进行检查。结果:70.6%的病例中存在原位癌和浸润癌:在 70.6% 的病例中观察到了高级别原位癌和浸润癌。45.1%的研究病例在原位癌中观察到实体结构,在浸润癌中未观察到其他特殊结构。在 74.5%的原位癌和浸润癌中,ER.PR 均为阳性。在 45.5%的病例中,原位癌和浸润癌的 Ki67 值都很低。42.2%的原位癌和浸润癌均为 Her2 阴性。等级(P=0.687)、Her2 类型(P=0.532)和结构(P=0.532)之间无明显差异。本研究中原位癌和浸润癌的ER.PR(P=1.00)和Ki67(P=0.180)均无明显差异:我们的研究显示了原位癌和浸润癌生物标志物表达的差异。结论:我们的研究表明,原位癌和浸润癌的生物标志物表达存在差异。根据我们的研究结果,由于异质性,原位癌不能代表浸润癌的治疗选择。
本文章由计算机程序翻译,如有差异,请以英文原文为准。
求助全文
约1分钟内获得全文 求助全文
来源期刊
Iranian Journal of Pathology
Iranian Journal of Pathology Medicine-Pathology and Forensic Medicine
CiteScore
2.00
自引率
0.00%
发文量
99
审稿时长
20 weeks
×
引用
GB/T 7714-2015
复制
MLA
复制
APA
复制
导出至
BibTeX EndNote RefMan NoteFirst NoteExpress
×
提示
您的信息不完整,为了账户安全,请先补充。
现在去补充
×
提示
您因"违规操作"
具体请查看互助需知
我知道了
×
提示
确定
请完成安全验证×
copy
已复制链接
快去分享给好友吧!
我知道了
右上角分享
点击右上角分享
0
联系我们:info@booksci.cn Book学术提供免费学术资源搜索服务,方便国内外学者检索中英文文献。致力于提供最便捷和优质的服务体验。 Copyright © 2023 布克学术 All rights reserved.
京ICP备2023020795号-1
ghs 京公网安备 11010802042870号
Book学术文献互助
Book学术文献互助群
群 号:604180095
Book学术官方微信