Hepatic parenchymal hypoattenuation in dogs with diabetes mellitus on computed tomography consistent with hepatic steatosis.

IF 1.5 2区 农林科学 Q2 VETERINARY SCIENCES
Christy Buckley, Caroline V Fulkerson, Maxime Derre, Andrew Woolcock, Masahiro Murakami
{"title":"Hepatic parenchymal hypoattenuation in dogs with diabetes mellitus on computed tomography consistent with hepatic steatosis.","authors":"Christy Buckley, Caroline V Fulkerson, Maxime Derre, Andrew Woolcock, Masahiro Murakami","doi":"10.1111/vru.13464","DOIUrl":null,"url":null,"abstract":"<p><p>Hypoattenuation of the liver, consistent with hepatic steatosis or lipidosis, has been reported in veterinary patients. In people, measuring CT hepatic attenuation is diagnostic for hepatic steatosis, and hypoattenuation of the liver is defined as absolute if less than 40 HU or relative if the liver is 10 HU less than the spleen. The purpose of this study is to describe hepatic parenchymal attenuation in dogs with diabetes mellitus with or without diabetic ketosis (DK) or diabetic ketoacidosis (DKA), using the above categorization for absolute and relative hypoattenuation, as with humans. We hypothesized dogs with DK or DKA were more likely to have hypoattenuating livers. Twenty-seven diabetic dogs were included; fifteen were categorized in Group 1 as without DK or DKA, six in Group 2 as DK, and six in Group 3 as DKA. In Group 3, four of six dogs had absolute and relative hypoattenuating livers. Three of these were visually hypoattenuating to the vasculature, with one having negative attenuation and a histopathologic diagnosis of severe hepatic lipidosis. In Group 2, four of six dogs had relative hypoattenuating livers. In Group 1, only one of 15 dogs had a relatively hypoattenuating liver. Groups 2 and 3 had significantly lower absolute liver attenuation than Group 1. Presumed hepatic steatosis was present on CT and was more common with DK or DKA. These findings may help provide hepatic sampling recommendations and alter patient prognosis. Further research is needed to establish absolute and relative liver attenuation in dogs with correlation to histopathology and patient outcome.</p>","PeriodicalId":23581,"journal":{"name":"Veterinary Radiology & Ultrasound","volume":"66 1","pages":"e13464"},"PeriodicalIF":1.5000,"publicationDate":"2025-01-01","publicationTypes":"Journal Article","fieldsOfStudy":null,"isOpenAccess":false,"openAccessPdf":"https://www.ncbi.nlm.nih.gov/pmc/articles/PMC11649884/pdf/","citationCount":"0","resultStr":null,"platform":"Semanticscholar","paperid":null,"PeriodicalName":"Veterinary Radiology & Ultrasound","FirstCategoryId":"97","ListUrlMain":"https://doi.org/10.1111/vru.13464","RegionNum":2,"RegionCategory":"农林科学","ArticlePicture":[],"TitleCN":null,"AbstractTextCN":null,"PMCID":null,"EPubDate":"","PubModel":"","JCR":"Q2","JCRName":"VETERINARY SCIENCES","Score":null,"Total":0}
引用次数: 0

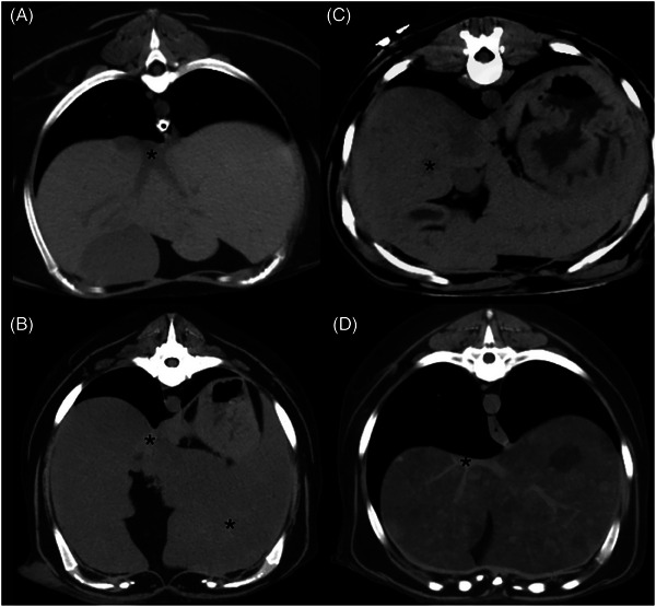
Abstract

Hypoattenuation of the liver, consistent with hepatic steatosis or lipidosis, has been reported in veterinary patients. In people, measuring CT hepatic attenuation is diagnostic for hepatic steatosis, and hypoattenuation of the liver is defined as absolute if less than 40 HU or relative if the liver is 10 HU less than the spleen. The purpose of this study is to describe hepatic parenchymal attenuation in dogs with diabetes mellitus with or without diabetic ketosis (DK) or diabetic ketoacidosis (DKA), using the above categorization for absolute and relative hypoattenuation, as with humans. We hypothesized dogs with DK or DKA were more likely to have hypoattenuating livers. Twenty-seven diabetic dogs were included; fifteen were categorized in Group 1 as without DK or DKA, six in Group 2 as DK, and six in Group 3 as DKA. In Group 3, four of six dogs had absolute and relative hypoattenuating livers. Three of these were visually hypoattenuating to the vasculature, with one having negative attenuation and a histopathologic diagnosis of severe hepatic lipidosis. In Group 2, four of six dogs had relative hypoattenuating livers. In Group 1, only one of 15 dogs had a relatively hypoattenuating liver. Groups 2 and 3 had significantly lower absolute liver attenuation than Group 1. Presumed hepatic steatosis was present on CT and was more common with DK or DKA. These findings may help provide hepatic sampling recommendations and alter patient prognosis. Further research is needed to establish absolute and relative liver attenuation in dogs with correlation to histopathology and patient outcome.

Abstract Image

Abstract Image

Abstract Image

糖尿病犬肝实质低密度的ct表现与肝脂肪变性一致。
有报告称,兽医患者的肝脏衰减与肝脂肪变性或脂质变性一致。在人类中,测量 CT 肝衰减可诊断肝脏脂肪变性,如果肝脏衰减低于 40 HU,则定义为绝对衰减;如果肝脏衰减低于脾脏 10 HU,则定义为相对衰减。本研究的目的是描述患有糖尿病并伴有或不伴有糖尿病酮症(DK)或糖尿病酮症酸中毒(DKA)的狗的肝实质衰减情况,与人类一样采用上述绝对和相对衰减分类法。我们假设患有 DK 或 DKA 的狗更有可能出现肝衰减。我们共纳入了 27 只糖尿病狗,其中 15 只被归入第 1 组,无 DK 或 DKA;6 只被归入第 2 组,有 DK;6 只被归入第 3 组,有 DKA。在第 3 组中,六只狗中有四只的肝脏绝对和相对功能减退。其中三只的血管肉眼可见衰减减弱,一只呈阴性衰减,组织病理学诊断为严重肝脂质沉着症。在第 2 组中,6 只狗中有 4 只的肝脏相对衰减较低。而在第 1 组中,15 只狗中只有一只狗的肝脏相对衰减较低。第 2 组和第 3 组的肝脏绝对衰减率明显低于第 1 组。CT 显示推测的肝脏脂肪变性在 DK 或 DKA 中更为常见。这些发现可能有助于提供肝脏取样建议并改变患者的预后。还需要进一步的研究来确定狗肝脏绝对和相对衰减与组织病理学和患者预后的相关性。
本文章由计算机程序翻译,如有差异,请以英文原文为准。
求助全文
约1分钟内获得全文 求助全文
来源期刊
Veterinary Radiology & Ultrasound
Veterinary Radiology & Ultrasound 农林科学-兽医学
CiteScore
2.40
自引率
17.60%
发文量
133
审稿时长
8-16 weeks
期刊介绍: Veterinary Radiology & Ultrasound is a bimonthly, international, peer-reviewed, research journal devoted to the fields of veterinary diagnostic imaging and radiation oncology. Established in 1958, it is owned by the American College of Veterinary Radiology and is also the official journal for six affiliate veterinary organizations. Veterinary Radiology & Ultrasound is represented on the International Committee of Medical Journal Editors, World Association of Medical Editors, and Committee on Publication Ethics. The mission of Veterinary Radiology & Ultrasound is to serve as a leading resource for high quality articles that advance scientific knowledge and standards of clinical practice in the areas of veterinary diagnostic radiology, computed tomography, magnetic resonance imaging, ultrasonography, nuclear imaging, radiation oncology, and interventional radiology. Manuscript types include original investigations, imaging diagnosis reports, review articles, editorials and letters to the Editor. Acceptance criteria include originality, significance, quality, reader interest, composition and adherence to author guidelines.
×
引用
GB/T 7714-2015
复制
MLA
复制
APA
复制
导出至
BibTeX EndNote RefMan NoteFirst NoteExpress
×
提示
您的信息不完整,为了账户安全,请先补充。
现在去补充
×
提示
您因"违规操作"
具体请查看互助需知
我知道了
×
提示
确定
请完成安全验证×
copy
已复制链接
快去分享给好友吧!
我知道了
右上角分享
点击右上角分享
0
联系我们:info@booksci.cn Book学术提供免费学术资源搜索服务,方便国内外学者检索中英文文献。致力于提供最便捷和优质的服务体验。 Copyright © 2023 布克学术 All rights reserved.
京ICP备2023020795号-1
ghs 京公网安备 11010802042870号
Book学术文献互助
Book学术文献互助群
群 号:604180095
Book学术官方微信