Computed tomographic findings in dogs with ovarian tumors: A tortuous ovarian artery consistently identifies ovarian origin in complex abdominal masses.

IF 1.5 2区 农林科学 Q2 VETERINARY SCIENCES
Martina Manfredi, Simona Morabito, Quentin Fournier, Ioannis Panopoulos, Florence Thierry, Tobias Schwarz, Cristobal Lopez, Manuela Baldinetti, Chiara Massarenti, Davide Danilo Zani, Maurizio Longo
{"title":"Computed tomographic findings in dogs with ovarian tumors: A tortuous ovarian artery consistently identifies ovarian origin in complex abdominal masses.","authors":"Martina Manfredi, Simona Morabito, Quentin Fournier, Ioannis Panopoulos, Florence Thierry, Tobias Schwarz, Cristobal Lopez, Manuela Baldinetti, Chiara Massarenti, Davide Danilo Zani, Maurizio Longo","doi":"10.1111/vru.13476","DOIUrl":null,"url":null,"abstract":"<p><p>The aim of this retrospective multicentric case series is to describe the CT findings of ovarian neoplasia in dogs. Twenty dogs with pre- and postcontrast CT exams and cytological/histological diagnosis of ovarian neoplasia were included. Five dogs presented with bilateral tumors, for a total of 25 neoplasms: 15 carcinomas (4 bilateral), 4 granulosa cell tumors, 2 poorly differentiated malignant neoplasia (bilateral), 2 luteomas, 1 teratoma, 1 dysgerminoma. In two dogs, the tumor developed from an ovarian remnant. Ovarian tumors showed variable size, lobulated shape, and precontrast heterogenous appearance. Mineral foci and/or fat components were rare, observed in teratoma, granulosa cell tumors (2), and ovarian carcinoma. Tumor type was not found to be associated with any CT features. Larger masses were more likely located in the central abdomen ventral to the ipsilateral kidney, demonstrated signs of tumor rupture, and were associated with abdominal or sternal lymphadenopathy and peritoneal effusion. A tortuous ovarian artery was constantly detectable, associated with an enlarged gonadal vein (12 cases). Related cavitary changes were peritoneal effusion (14 dogs) and sternal lymphadenopathy (7 dogs). Presumed or confirmed metastasis was reported in 9 of 20 cases, with CT evidence of transcoelomic (serosal thickening, peritoneal nodules, omental cake, implant lesions to the liver, spleen, and diaphragm), lymphatic and hematogenous spread (lungs, liver, bone, muscles, and spleen). In conclusion, the present study reports the CT features of different canine ovarian neoplasia. A tortuous ovarian artery may be useful to consistently recognize the ovarian origin of a large abdominal mass.</p>","PeriodicalId":23581,"journal":{"name":"Veterinary Radiology & Ultrasound","volume":"66 1","pages":"e13476"},"PeriodicalIF":1.5000,"publicationDate":"2025-01-01","publicationTypes":"Journal Article","fieldsOfStudy":null,"isOpenAccess":false,"openAccessPdf":"https://www.ncbi.nlm.nih.gov/pmc/articles/PMC11649852/pdf/","citationCount":"0","resultStr":null,"platform":"Semanticscholar","paperid":null,"PeriodicalName":"Veterinary Radiology & Ultrasound","FirstCategoryId":"97","ListUrlMain":"https://doi.org/10.1111/vru.13476","RegionNum":2,"RegionCategory":"农林科学","ArticlePicture":[],"TitleCN":null,"AbstractTextCN":null,"PMCID":null,"EPubDate":"","PubModel":"","JCR":"Q2","JCRName":"VETERINARY SCIENCES","Score":null,"Total":0}
引用次数: 0

Abstract

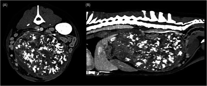
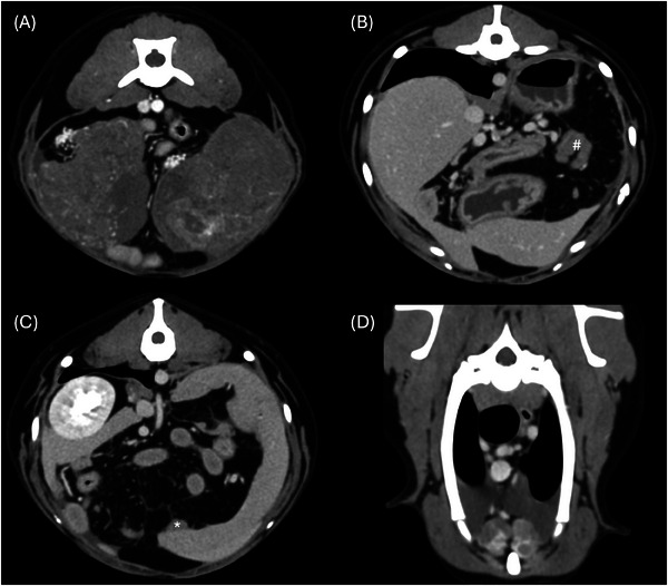
The aim of this retrospective multicentric case series is to describe the CT findings of ovarian neoplasia in dogs. Twenty dogs with pre- and postcontrast CT exams and cytological/histological diagnosis of ovarian neoplasia were included. Five dogs presented with bilateral tumors, for a total of 25 neoplasms: 15 carcinomas (4 bilateral), 4 granulosa cell tumors, 2 poorly differentiated malignant neoplasia (bilateral), 2 luteomas, 1 teratoma, 1 dysgerminoma. In two dogs, the tumor developed from an ovarian remnant. Ovarian tumors showed variable size, lobulated shape, and precontrast heterogenous appearance. Mineral foci and/or fat components were rare, observed in teratoma, granulosa cell tumors (2), and ovarian carcinoma. Tumor type was not found to be associated with any CT features. Larger masses were more likely located in the central abdomen ventral to the ipsilateral kidney, demonstrated signs of tumor rupture, and were associated with abdominal or sternal lymphadenopathy and peritoneal effusion. A tortuous ovarian artery was constantly detectable, associated with an enlarged gonadal vein (12 cases). Related cavitary changes were peritoneal effusion (14 dogs) and sternal lymphadenopathy (7 dogs). Presumed or confirmed metastasis was reported in 9 of 20 cases, with CT evidence of transcoelomic (serosal thickening, peritoneal nodules, omental cake, implant lesions to the liver, spleen, and diaphragm), lymphatic and hematogenous spread (lungs, liver, bone, muscles, and spleen). In conclusion, the present study reports the CT features of different canine ovarian neoplasia. A tortuous ovarian artery may be useful to consistently recognize the ovarian origin of a large abdominal mass.

Abstract Image

Abstract Image

Abstract Image

卵巢肿瘤犬的ct表现:在复杂的腹部肿块中,弯曲的卵巢动脉一致地确定卵巢起源。
本回顾性多中心病例系列的目的是描述犬卵巢肿瘤的CT表现。20只犬均有对比前和对比后的CT检查和卵巢肿瘤的细胞学/组织学诊断。5只狗出现双侧肿瘤,共25个肿瘤:15个癌(4个双侧),4个颗粒细胞瘤,2个低分化恶性肿瘤(双侧),2个黄体瘤,1个畸胎瘤,1个生殖细胞异常瘤。在两只狗身上,肿瘤是从卵巢的残余部分发展而来的。卵巢肿瘤大小不一,呈分叶状,对比前呈异质性。在畸胎瘤、颗粒细胞瘤和卵巢癌中,矿物灶和/或脂肪成分是罕见的。肿瘤类型未发现与任何CT特征相关。较大的肿块更可能位于同侧肾脏的腹侧腹部,表现出肿瘤破裂的迹象,并伴有腹部或胸骨淋巴结病变和腹膜积液。卵巢动脉不断弯曲,伴性腺静脉肿大(12例)。相关腔隙改变为腹膜积液(14只)和胸骨淋巴结病(7只)。20例中有9例推定或证实转移,CT表现为经体腔(浆膜增厚、腹膜结节、大网膜饼、肝、脾和膈的移植物病变)、淋巴和血行扩散(肺、肝、骨、肌肉和脾)。总之,本研究报告了不同类型犬卵巢肿瘤的CT表现。曲折的卵巢动脉可能有助于始终如一地识别大腹部肿块的卵巢起源。
本文章由计算机程序翻译,如有差异,请以英文原文为准。
求助全文
约1分钟内获得全文 求助全文
来源期刊
Veterinary Radiology & Ultrasound
Veterinary Radiology & Ultrasound 农林科学-兽医学
CiteScore
2.40
自引率
17.60%
发文量
133
审稿时长
8-16 weeks
期刊介绍: Veterinary Radiology & Ultrasound is a bimonthly, international, peer-reviewed, research journal devoted to the fields of veterinary diagnostic imaging and radiation oncology. Established in 1958, it is owned by the American College of Veterinary Radiology and is also the official journal for six affiliate veterinary organizations. Veterinary Radiology & Ultrasound is represented on the International Committee of Medical Journal Editors, World Association of Medical Editors, and Committee on Publication Ethics. The mission of Veterinary Radiology & Ultrasound is to serve as a leading resource for high quality articles that advance scientific knowledge and standards of clinical practice in the areas of veterinary diagnostic radiology, computed tomography, magnetic resonance imaging, ultrasonography, nuclear imaging, radiation oncology, and interventional radiology. Manuscript types include original investigations, imaging diagnosis reports, review articles, editorials and letters to the Editor. Acceptance criteria include originality, significance, quality, reader interest, composition and adherence to author guidelines.
×
引用
GB/T 7714-2015
复制
MLA
复制
APA
复制
导出至
BibTeX EndNote RefMan NoteFirst NoteExpress
×
提示
您的信息不完整,为了账户安全,请先补充。
现在去补充
×
提示
您因"违规操作"
具体请查看互助需知
我知道了
×
提示
确定
请完成安全验证×
copy
已复制链接
快去分享给好友吧!
我知道了
右上角分享
点击右上角分享
0
联系我们:info@booksci.cn Book学术提供免费学术资源搜索服务,方便国内外学者检索中英文文献。致力于提供最便捷和优质的服务体验。 Copyright © 2023 布克学术 All rights reserved.
京ICP备2023020795号-1
ghs 京公网安备 11010802042870号
Book学术文献互助
Book学术文献互助群
群 号:604180095
Book学术官方微信