Computed tomographic findings in 25 cats with ear canal neoplasia.

IF 1.5 2区 农林科学 Q2 VETERINARY SCIENCES
Megan Wisnoski, Christine Gremillion, Gwendolyn Levine, Cambridge Coy, Kaylynn Veitch, Kenneth Waller, John F Griffin
{"title":"Computed tomographic findings in 25 cats with ear canal neoplasia.","authors":"Megan Wisnoski, Christine Gremillion, Gwendolyn Levine, Cambridge Coy, Kaylynn Veitch, Kenneth Waller, John F Griffin","doi":"10.1111/vru.13467","DOIUrl":null,"url":null,"abstract":"<p><p>Computed tomography is commonly used to evaluate feline otic disease; however, published studies characterizing the CT appearance of ear canal neoplasia are limited. The purpose of this multicenter, retrospective, secondary analysis, cross-sectional study was to describe the CT features of histopathologically confirmed feline ear canal neoplasia. The CT studies of 25 cats with ear canal neoplasia were prospectively scored by consensus of two veterinary radiologists. Recorded parameters were the presence of focal or multifocal tissue enlargement (mass/masses), lesion shape, location of the center of mass, attenuation characteristics, features of contrast enhancement, involvement of otic structures, calvarial and brain changes, changes of nearby structures, and lymphadenopathy. There was a significant overlap of CT findings between cats with malignant ceruminous gland neoplasia, ceruminous gland adenoma, and squamous cell carcinoma (SCC). Ceruminous gland adenoma was typically homogeneous in attenuation with homogeneous contrast enhancement and no intralesional fluid accumulations (IFAs) or involvement of adjacent structures. In contrast, SCC consistently had heterogeneous attenuation, heterogeneous contrast enhancement, IFAs, and involvement/invasion of adjacent structures. Malignant ceruminous gland neoplasia had variable attenuation and pattern of contrast enhancement with occasional IFAs and occasional involvement/invasion of adjacent structures. Knowledge of these imaging features will inform the creation of prioritized differential diagnosis lists. However, a biopsy is required to confirm the diagnosis.</p>","PeriodicalId":23581,"journal":{"name":"Veterinary Radiology & Ultrasound","volume":"66 1","pages":"e13467"},"PeriodicalIF":1.5000,"publicationDate":"2025-01-01","publicationTypes":"Journal Article","fieldsOfStudy":null,"isOpenAccess":false,"openAccessPdf":"https://www.ncbi.nlm.nih.gov/pmc/articles/PMC11649876/pdf/","citationCount":"0","resultStr":null,"platform":"Semanticscholar","paperid":null,"PeriodicalName":"Veterinary Radiology & Ultrasound","FirstCategoryId":"97","ListUrlMain":"https://doi.org/10.1111/vru.13467","RegionNum":2,"RegionCategory":"农林科学","ArticlePicture":[],"TitleCN":null,"AbstractTextCN":null,"PMCID":null,"EPubDate":"","PubModel":"","JCR":"Q2","JCRName":"VETERINARY SCIENCES","Score":null,"Total":0}
引用次数: 0

Abstract

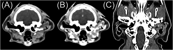
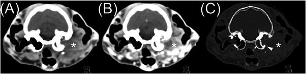
Computed tomography is commonly used to evaluate feline otic disease; however, published studies characterizing the CT appearance of ear canal neoplasia are limited. The purpose of this multicenter, retrospective, secondary analysis, cross-sectional study was to describe the CT features of histopathologically confirmed feline ear canal neoplasia. The CT studies of 25 cats with ear canal neoplasia were prospectively scored by consensus of two veterinary radiologists. Recorded parameters were the presence of focal or multifocal tissue enlargement (mass/masses), lesion shape, location of the center of mass, attenuation characteristics, features of contrast enhancement, involvement of otic structures, calvarial and brain changes, changes of nearby structures, and lymphadenopathy. There was a significant overlap of CT findings between cats with malignant ceruminous gland neoplasia, ceruminous gland adenoma, and squamous cell carcinoma (SCC). Ceruminous gland adenoma was typically homogeneous in attenuation with homogeneous contrast enhancement and no intralesional fluid accumulations (IFAs) or involvement of adjacent structures. In contrast, SCC consistently had heterogeneous attenuation, heterogeneous contrast enhancement, IFAs, and involvement/invasion of adjacent structures. Malignant ceruminous gland neoplasia had variable attenuation and pattern of contrast enhancement with occasional IFAs and occasional involvement/invasion of adjacent structures. Knowledge of these imaging features will inform the creation of prioritized differential diagnosis lists. However, a biopsy is required to confirm the diagnosis.

Abstract Image

Abstract Image

Abstract Image

25只猫耳道瘤变的ct表现。
计算机断层扫描通常用于评估猫的耳部疾病;然而,发表的关于耳道肿瘤CT表现的研究是有限的。本研究是一项多中心、回顾性、二次分析、横断面研究,目的是描述经组织病理学证实的猫耳道肿瘤的CT特征。根据两位兽医放射科医生的共识,对25只耳道肿瘤猫的CT研究进行前瞻性评分。记录的参数包括局灶性或多灶性组织肿大(肿块/肿块)、病变形状、肿块中心位置、衰减特征、对比增强特征、耳部结构受累、头颅和脑部改变、附近结构改变和淋巴结病变。猫的恶性耵聍腺瘤、耵聍腺腺瘤和鳞状细胞癌(SCC)的CT表现有明显重叠。典型的耵聍腺瘤的衰减均匀,造影增强均匀,没有病灶内液体积聚(IFAs)或累及邻近结构。相比之下,SCC始终具有非均匀衰减,非均匀对比度增强,IFAs和累及/侵犯邻近结构。恶性耵聍腺瘤具有不同的衰减和对比增强模式,偶有IFAs和偶有累及/侵犯邻近结构。这些影像学特征的知识将告知优先鉴别诊断列表的创建。然而,需要活检来确认诊断。
本文章由计算机程序翻译,如有差异,请以英文原文为准。
求助全文
约1分钟内获得全文 求助全文
来源期刊
Veterinary Radiology & Ultrasound
Veterinary Radiology & Ultrasound 农林科学-兽医学
CiteScore
2.40
自引率
17.60%
发文量
133
审稿时长
8-16 weeks
期刊介绍: Veterinary Radiology & Ultrasound is a bimonthly, international, peer-reviewed, research journal devoted to the fields of veterinary diagnostic imaging and radiation oncology. Established in 1958, it is owned by the American College of Veterinary Radiology and is also the official journal for six affiliate veterinary organizations. Veterinary Radiology & Ultrasound is represented on the International Committee of Medical Journal Editors, World Association of Medical Editors, and Committee on Publication Ethics. The mission of Veterinary Radiology & Ultrasound is to serve as a leading resource for high quality articles that advance scientific knowledge and standards of clinical practice in the areas of veterinary diagnostic radiology, computed tomography, magnetic resonance imaging, ultrasonography, nuclear imaging, radiation oncology, and interventional radiology. Manuscript types include original investigations, imaging diagnosis reports, review articles, editorials and letters to the Editor. Acceptance criteria include originality, significance, quality, reader interest, composition and adherence to author guidelines.
×
引用
GB/T 7714-2015
复制
MLA
复制
APA
复制
导出至
BibTeX EndNote RefMan NoteFirst NoteExpress
×
提示
您的信息不完整,为了账户安全,请先补充。
现在去补充
×
提示
您因"违规操作"
具体请查看互助需知
我知道了
×
提示
确定
请完成安全验证×
copy
已复制链接
快去分享给好友吧!
我知道了
右上角分享
点击右上角分享
0
联系我们:info@booksci.cn Book学术提供免费学术资源搜索服务,方便国内外学者检索中英文文献。致力于提供最便捷和优质的服务体验。 Copyright © 2023 布克学术 All rights reserved.
京ICP备2023020795号-1
ghs 京公网安备 11010802042870号
Book学术文献互助
Book学术文献互助群
群 号:604180095
Book学术官方微信