A Rare Malignancy of the Eyelid: Report A Case of Primary Periocular Histiocytoid Carcinoma.

Q3 Medicine
Iranian Journal of Pathology Pub Date : 2024-01-01 Epub Date: 2024-07-24 DOI:10.30699/IJP.2024.2016655.3219
Arezu Rahnavard, Elham Mirzaian, Reyhaneh Safaei, Ida Mehrabi
{"title":"A Rare Malignancy of the Eyelid: Report A Case of Primary Periocular Histiocytoid Carcinoma.","authors":"Arezu Rahnavard, Elham Mirzaian, Reyhaneh Safaei, Ida Mehrabi","doi":"10.30699/IJP.2024.2016655.3219","DOIUrl":null,"url":null,"abstract":"<p><p>Primary periocular histiocytoid carcinoma is a very rare malignant tumor. Until now, less than 50 cases have been reported in the English literature. It is characterized by resistant epiphora, limitation in extraocular motility, and ptosis. The definitive diagnosis of this lesion is made based on detecting histological histiocytoid features along with tracing positivity of specific biomarkers using immunohistochemistry. However, pathologists may be faced with two major obstacles in the diagnosis of this tumor including distinguishing it from metastatic histiocytoid lesions and also from benign mimics such as reactive inflammatory lesions. Here, we describe a case of primary periocular histiocytoid carcinoma located on the eyelid as well as review the literature to clarify the histopathological and diagnostic features of this tumor.</p>","PeriodicalId":38900,"journal":{"name":"Iranian Journal of Pathology","volume":"19 3","pages":"359-362"},"PeriodicalIF":0.0000,"publicationDate":"2024-01-01","publicationTypes":"Journal Article","fieldsOfStudy":null,"isOpenAccess":false,"openAccessPdf":"https://www.ncbi.nlm.nih.gov/pmc/articles/PMC11646197/pdf/","citationCount":"0","resultStr":null,"platform":"Semanticscholar","paperid":null,"PeriodicalName":"Iranian Journal of Pathology","FirstCategoryId":"1085","ListUrlMain":"https://doi.org/10.30699/IJP.2024.2016655.3219","RegionNum":0,"RegionCategory":null,"ArticlePicture":[],"TitleCN":null,"AbstractTextCN":null,"PMCID":null,"EPubDate":"2024/7/24 0:00:00","PubModel":"Epub","JCR":"Q3","JCRName":"Medicine","Score":null,"Total":0}
引用次数: 0

Abstract

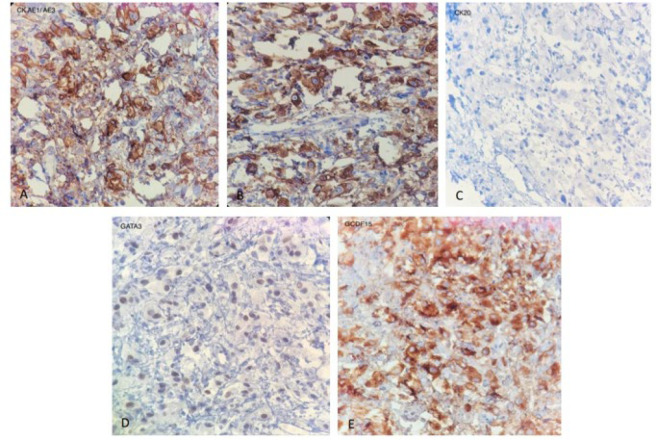
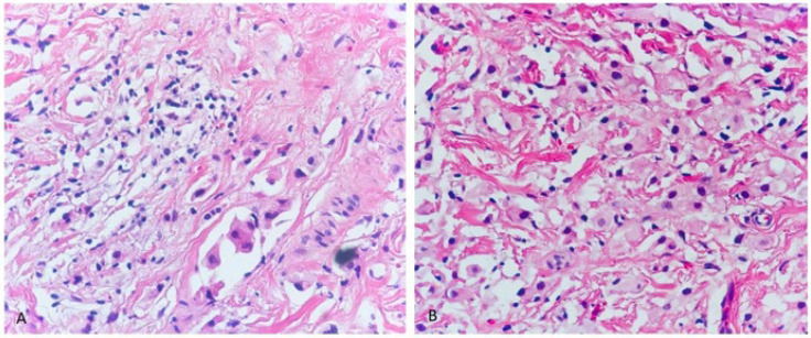
Primary periocular histiocytoid carcinoma is a very rare malignant tumor. Until now, less than 50 cases have been reported in the English literature. It is characterized by resistant epiphora, limitation in extraocular motility, and ptosis. The definitive diagnosis of this lesion is made based on detecting histological histiocytoid features along with tracing positivity of specific biomarkers using immunohistochemistry. However, pathologists may be faced with two major obstacles in the diagnosis of this tumor including distinguishing it from metastatic histiocytoid lesions and also from benign mimics such as reactive inflammatory lesions. Here, we describe a case of primary periocular histiocytoid carcinoma located on the eyelid as well as review the literature to clarify the histopathological and diagnostic features of this tumor.

Abstract Image

Abstract Image

罕见的眼睑恶性肿瘤:报告一例原发性眼周组织细胞样癌。
摘要原发性眼周组织细胞样癌是一种非常罕见的恶性肿瘤。到目前为止,在英语文献中报道的病例不到50例。它的特点是抵抗性上睑下垂、眼外运动受限和上睑下垂。这种病变的明确诊断是基于检测组织学组织细胞样特征以及使用免疫组织化学追踪特定生物标志物的阳性。然而,病理学家在诊断这种肿瘤时可能面临两个主要障碍,包括将其与转移性组织细胞样病变以及良性模拟病变(如反应性炎症病变)区分开来。在此,我们报告一例位于眼睑的原发性眼周组织细胞样癌,并回顾文献以阐明该肿瘤的组织病理学和诊断特征。
本文章由计算机程序翻译,如有差异,请以英文原文为准。
求助全文
约1分钟内获得全文 求助全文
来源期刊
Iranian Journal of Pathology
Iranian Journal of Pathology Medicine-Pathology and Forensic Medicine
CiteScore
2.00
自引率
0.00%
发文量
99
审稿时长
20 weeks
×
引用
GB/T 7714-2015
复制
MLA
复制
APA
复制
导出至
BibTeX EndNote RefMan NoteFirst NoteExpress
×
提示
您的信息不完整,为了账户安全,请先补充。
现在去补充
×
提示
您因"违规操作"
具体请查看互助需知
我知道了
×
提示
确定
请完成安全验证×
copy
已复制链接
快去分享给好友吧!
我知道了
右上角分享
点击右上角分享
0
联系我们:info@booksci.cn Book学术提供免费学术资源搜索服务,方便国内外学者检索中英文文献。致力于提供最便捷和优质的服务体验。 Copyright © 2023 布克学术 All rights reserved.
京ICP备2023020795号-1
ghs 京公网安备 11010802042870号
Book学术文献互助
Book学术文献互助群
群 号:604180095
Book学术官方微信