Evidence for in vivo resistance against allopurinol in a dog infected with Leishmania infantum by reduction in copy numbers of the S-adenosylmethionine synthetase (METK) gene.

IF 3.5 2区 医学 Q1 PARASITOLOGY
Ingo Schäfer, Mathieu Faucher, Yaarit Nachum-Biala, Lluís Ferrer, Marina Carrasco, Alexandra Kehl, Elisabeth Müller, Torsten J Naucke, Gad Baneth
{"title":"Evidence for in vivo resistance against allopurinol in a dog infected with Leishmania infantum by reduction in copy numbers of the S-adenosylmethionine synthetase (METK) gene.","authors":"Ingo Schäfer, Mathieu Faucher, Yaarit Nachum-Biala, Lluís Ferrer, Marina Carrasco, Alexandra Kehl, Elisabeth Müller, Torsten J Naucke, Gad Baneth","doi":"10.1186/s13071-024-06583-0","DOIUrl":null,"url":null,"abstract":"<p><strong>Background: </strong>In Europe, canine leishmaniasis is commonly caused by Leishmania infantum. Allopurinol is the main drug for long-term management of the disease, and clinical relapses of L. infantum infection treated with this drug are described. Resistance to allopurinol has been demonstrated in-vitro, but there is only little knowledge on in vivo resistance in dogs.</p><p><strong>Findings: </strong>A two-year-old female spayed Akita Inu that was adopted from a breeding facility near Nice in France was initially diagnosed with primary immune-mediated hemolytic anemia. Immunosuppressive treatment was initiated, and the dog was referred for a second opinion to the Clinique Veterinaire Alliance in France. PCR testing for L. infantum was performed out of EDTA blood and IFA as well as ELISA testing out of serum. Resistance to allopurinol was associated with chromosome and gene copy number (CN) variations including a decrease in the S-adenosylmethionine synthetase (METK) gene CN.</p><p><strong>Results: </strong>The dog showed pale mucous membranes, fever (39.1 °C), and a relapse of the anemia. The diagnosis of leishmaniasis was based on the cytological finding of Leishmania amastigotes (bone marrow, spleen, liver), positive PCR testing, and positive IFAT serology. The dog was treated with allopurinol over a period of 1316 days and additionally received two cycles of Glucantime® (meglumine antimoniate), before samples were submitted to the LABOKLIN laboratory to test for resistance against allopurinol. The laboratory work-up revealed mild thrombocytopenia, mild hyperproteinemia with hyperglobulinemia, a marked elevation of the c-reactive protein, and decreased iron concentration. Serum protein electrophoresis showed a polyclonal peak in the gamma globulins. Serology was positive in both ELISA (21.5 LE) and IFAT (1:1024). Quantitative PCR testing of blood was positive with low numbers of Leishmania (10/ml blood) at the timepoint of suspicion for resistance. The urinary protein-to-creatinine ratio was markedly elevated (2.5) and xanthine crystalluria was detected. A CN level of below 3 is considered suspicious for resistance, as revealed in the described Akita Inu dog.</p><p><strong>Conclusions: </strong>Relapse of L. infantum infection after applying allopurinol for 1316 days due to resistance was suspected clinically. Positive PCR testing, consistent hematological and biochemistry abnormalities, and reduction in the METK gene CN backed up the clinical suspicion of resistance. Dogs infected with allopurinol resistant strains of L. infantum may represent a great risk for infection of naïve dogs, cats, and humans.</p>","PeriodicalId":19793,"journal":{"name":"Parasites & Vectors","volume":"17 1","pages":"506"},"PeriodicalIF":3.5000,"publicationDate":"2024-12-16","publicationTypes":"Journal Article","fieldsOfStudy":null,"isOpenAccess":false,"openAccessPdf":"https://www.ncbi.nlm.nih.gov/pmc/articles/PMC11650845/pdf/","citationCount":"0","resultStr":null,"platform":"Semanticscholar","paperid":null,"PeriodicalName":"Parasites & Vectors","FirstCategoryId":"3","ListUrlMain":"https://doi.org/10.1186/s13071-024-06583-0","RegionNum":2,"RegionCategory":"医学","ArticlePicture":[],"TitleCN":null,"AbstractTextCN":null,"PMCID":null,"EPubDate":"","PubModel":"","JCR":"Q1","JCRName":"PARASITOLOGY","Score":null,"Total":0}
引用次数: 0

Abstract

Background: In Europe, canine leishmaniasis is commonly caused by Leishmania infantum. Allopurinol is the main drug for long-term management of the disease, and clinical relapses of L. infantum infection treated with this drug are described. Resistance to allopurinol has been demonstrated in-vitro, but there is only little knowledge on in vivo resistance in dogs.

Findings: A two-year-old female spayed Akita Inu that was adopted from a breeding facility near Nice in France was initially diagnosed with primary immune-mediated hemolytic anemia. Immunosuppressive treatment was initiated, and the dog was referred for a second opinion to the Clinique Veterinaire Alliance in France. PCR testing for L. infantum was performed out of EDTA blood and IFA as well as ELISA testing out of serum. Resistance to allopurinol was associated with chromosome and gene copy number (CN) variations including a decrease in the S-adenosylmethionine synthetase (METK) gene CN.

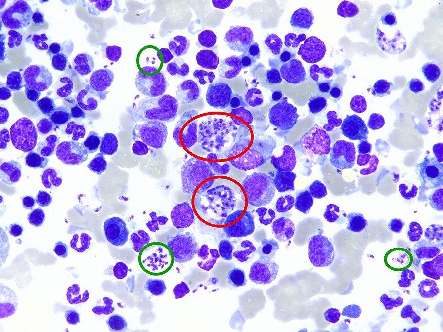
Results: The dog showed pale mucous membranes, fever (39.1 °C), and a relapse of the anemia. The diagnosis of leishmaniasis was based on the cytological finding of Leishmania amastigotes (bone marrow, spleen, liver), positive PCR testing, and positive IFAT serology. The dog was treated with allopurinol over a period of 1316 days and additionally received two cycles of Glucantime® (meglumine antimoniate), before samples were submitted to the LABOKLIN laboratory to test for resistance against allopurinol. The laboratory work-up revealed mild thrombocytopenia, mild hyperproteinemia with hyperglobulinemia, a marked elevation of the c-reactive protein, and decreased iron concentration. Serum protein electrophoresis showed a polyclonal peak in the gamma globulins. Serology was positive in both ELISA (21.5 LE) and IFAT (1:1024). Quantitative PCR testing of blood was positive with low numbers of Leishmania (10/ml blood) at the timepoint of suspicion for resistance. The urinary protein-to-creatinine ratio was markedly elevated (2.5) and xanthine crystalluria was detected. A CN level of below 3 is considered suspicious for resistance, as revealed in the described Akita Inu dog.

Conclusions: Relapse of L. infantum infection after applying allopurinol for 1316 days due to resistance was suspected clinically. Positive PCR testing, consistent hematological and biochemistry abnormalities, and reduction in the METK gene CN backed up the clinical suspicion of resistance. Dogs infected with allopurinol resistant strains of L. infantum may represent a great risk for infection of naïve dogs, cats, and humans.

Abstract Image

Abstract Image

Abstract Image

通过s -腺苷蛋氨酸合成酶(METK)基因拷贝数的减少,感染婴儿利什曼原虫的狗体内对别嘌呤醇产生抗性的证据。
背景:在欧洲,犬利什曼病通常由幼利什曼原虫引起。别嘌呤醇是该疾病长期治疗的主要药物,用该药治疗婴儿乳杆菌感染的临床复发也有报道。对别嘌呤醇的体外耐药性已被证实,但对狗体内耐药性的了解甚少。研究结果:从法国尼斯附近的育种机构收养的一只两岁的雌性绝育秋田犬最初被诊断为原发性免疫介导的溶血性贫血。开始免疫抑制治疗,狗被转介到法国诊所兽医联盟寻求第二意见。在EDTA血和IFA中进行婴儿乳杆菌的PCR检测,在血清中进行ELISA检测。对别嘌呤醇的抗性与染色体和基因拷贝数(CN)变异有关,包括s -腺苷蛋氨酸合成酶(METK)基因CN的减少。结果:犬粘膜苍白,发热(39.1°C),贫血复发。利什曼病的诊断是基于利什曼原虫的细胞学发现(骨髓、脾脏、肝脏)、PCR检测阳性和IFAT血清学阳性。该犬接受了1316天的别嘌呤醇治疗,另外还接受了两个周期的葡聚糖®(甲氨酰锑酸盐)治疗,然后将样本提交给LABOKLIN实验室进行对别嘌呤醇的耐药性测试。实验室检查显示轻度血小板减少症,轻度高蛋白血症伴高球蛋白血症,c反应蛋白明显升高,铁浓度降低。血清蛋白电泳显示γ球蛋白呈多克隆峰。血清ELISA (21.5 LE)和IFAT(1:1024)均呈阳性。在怀疑耐药时间点,血液定量PCR检测呈阳性,利什曼原虫数量低(10/ml)。尿蛋白与肌酐比值明显升高(2.5),有黄嘌呤结晶尿。如所描述的秋田犬所示,低于3的CN水平被认为是可疑的耐药性。结论:临床怀疑应用别嘌呤醇1316天后婴儿乳杆菌感染因耐药而复发。PCR阳性检测、一致的血液学和生化异常以及METK基因CN的减少支持了临床对耐药的怀疑。感染别嘌呤醇耐药婴儿乳杆菌菌株的狗可能具有感染naïve狗、猫和人类的巨大风险。
本文章由计算机程序翻译,如有差异,请以英文原文为准。
求助全文
约1分钟内获得全文 求助全文
来源期刊
Parasites & Vectors
Parasites & Vectors 医学-寄生虫学
CiteScore
6.30
自引率
9.40%
发文量
433
审稿时长
1.4 months
期刊介绍: Parasites & Vectors is an open access, peer-reviewed online journal dealing with the biology of parasites, parasitic diseases, intermediate hosts, vectors and vector-borne pathogens. Manuscripts published in this journal will be available to all worldwide, with no barriers to access, immediately following acceptance. However, authors retain the copyright of their material and may use it, or distribute it, as they wish. Manuscripts on all aspects of the basic and applied biology of parasites, intermediate hosts, vectors and vector-borne pathogens will be considered. In addition to the traditional and well-established areas of science in these fields, we also aim to provide a vehicle for publication of the rapidly developing resources and technology in parasite, intermediate host and vector genomics and their impacts on biological research. We are able to publish large datasets and extensive results, frequently associated with genomic and post-genomic technologies, which are not readily accommodated in traditional journals. Manuscripts addressing broader issues, for example economics, social sciences and global climate change in relation to parasites, vectors and disease control, are also welcomed.
×
引用
GB/T 7714-2015
复制
MLA
复制
APA
复制
导出至
BibTeX EndNote RefMan NoteFirst NoteExpress
×
提示
您的信息不完整,为了账户安全,请先补充。
现在去补充
×
提示
您因"违规操作"
具体请查看互助需知
我知道了
×
提示
确定
请完成安全验证×
copy
已复制链接
快去分享给好友吧!
我知道了
右上角分享
点击右上角分享
0
联系我们:info@booksci.cn Book学术提供免费学术资源搜索服务,方便国内外学者检索中英文文献。致力于提供最便捷和优质的服务体验。 Copyright © 2023 布克学术 All rights reserved.
京ICP备2023020795号-1
ghs 京公网安备 11010802042870号
Book学术文献互助
Book学术文献互助群
群 号:604180095
Book学术官方微信