Clinical Features of Long COVID Patients Coinfected With Mycoplasma pneumoniae.

IF 2.6 4区 医学 Q3 INFECTIOUS DISEASES
Xiaodan Zhu, Yanhua Li, Jinghua Wang, Weifei Gao
{"title":"Clinical Features of Long COVID Patients Coinfected With <i>Mycoplasma pneumoniae</i>.","authors":"Xiaodan Zhu, Yanhua Li, Jinghua Wang, Weifei Gao","doi":"10.1155/cjid/7213129","DOIUrl":null,"url":null,"abstract":"<p><p><b>Background:</b> Since the SARS-CoV-2 pandemic, many patients have suffered prolonged complications, called \"long COVID.\" <i>Mycoplasma pneumoniae</i> is a common respiratory pathogen. Reports of simultaneous long COVID and <i>M. pneumoniae</i> infections are rare in the literature. <b>Methods:</b> We analyzed the clinical data of patients with long COVID-19 who visited the Respiratory Clinic of The Affiliated Hospital of Hangzhou Normal University between January 1 and January 31, 2023, together with their laboratory and radiographic findings, with Pearson's <i>χ</i> <sup>2</sup> test. <b>Results:</b> Fifty-two patients diagnosed with both long COVID and <i>M. pneumoniae</i> infection and 77 with long COVID only were compared. The ages, clinical symptoms, and comorbidities of the two groups did not differ significantly (<i>p</i> > 0.05). However, sex and imaging findings differed between the groups. <b>Conclusions:</b> Our study showed that long COVID-<i>M. pneumoniae</i> coinfection was more commonly seen in females and patients with typical chest computed tomography (CT) images.</p>","PeriodicalId":50715,"journal":{"name":"Canadian Journal of Infectious Diseases & Medical Microbiology","volume":"2024 ","pages":"7213129"},"PeriodicalIF":2.6000,"publicationDate":"2024-12-07","publicationTypes":"Journal Article","fieldsOfStudy":null,"isOpenAccess":false,"openAccessPdf":"https://www.ncbi.nlm.nih.gov/pmc/articles/PMC11646145/pdf/","citationCount":"0","resultStr":null,"platform":"Semanticscholar","paperid":null,"PeriodicalName":"Canadian Journal of Infectious Diseases & Medical Microbiology","FirstCategoryId":"3","ListUrlMain":"https://doi.org/10.1155/cjid/7213129","RegionNum":4,"RegionCategory":"医学","ArticlePicture":[],"TitleCN":null,"AbstractTextCN":null,"PMCID":null,"EPubDate":"2024/1/1 0:00:00","PubModel":"eCollection","JCR":"Q3","JCRName":"INFECTIOUS DISEASES","Score":null,"Total":0}
引用次数: 0

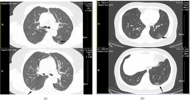
Abstract

Background: Since the SARS-CoV-2 pandemic, many patients have suffered prolonged complications, called "long COVID." Mycoplasma pneumoniae is a common respiratory pathogen. Reports of simultaneous long COVID and M. pneumoniae infections are rare in the literature. Methods: We analyzed the clinical data of patients with long COVID-19 who visited the Respiratory Clinic of The Affiliated Hospital of Hangzhou Normal University between January 1 and January 31, 2023, together with their laboratory and radiographic findings, with Pearson's χ 2 test. Results: Fifty-two patients diagnosed with both long COVID and M. pneumoniae infection and 77 with long COVID only were compared. The ages, clinical symptoms, and comorbidities of the two groups did not differ significantly (p > 0.05). However, sex and imaging findings differed between the groups. Conclusions: Our study showed that long COVID-M. pneumoniae coinfection was more commonly seen in females and patients with typical chest computed tomography (CT) images.

Abstract Image

合并感染肺炎支原体的长期 COVID 患者的临床特征。
背景:自SARS-CoV-2大流行以来,许多患者遭受了长期的并发症,称为“长COVID”。肺炎支原体是一种常见的呼吸道病原体。报道同时长COVID和肺炎支原体感染在文献中是罕见的。方法:对2023年1月1日至1月31日在杭州师范大学附属医院呼吸内科就诊的新型冠状病毒肺炎(COVID-19)患者的临床资料及实验室和影像学检查结果进行Pearson χ 2检验。结果:长冠合并肺炎支原体感染52例,仅长冠合并肺炎支原体感染77例。两组患者的年龄、临床症状、合并症等差异无统计学意义(p < 0.05)。然而,两组之间的性别和影像学结果有所不同。结论:我们的研究表明,长冠状病毒。肺炎合并感染更常见于女性和典型胸部计算机断层扫描(CT)图像的患者。
本文章由计算机程序翻译,如有差异,请以英文原文为准。
求助全文
约1分钟内获得全文 求助全文
来源期刊
CiteScore
4.30
自引率
0.00%
发文量
108
审稿时长
>12 weeks
期刊介绍: Canadian Journal of Infectious Diseases and Medical Microbiology is a peer-reviewed, Open Access journal that publishes original research articles, review articles, and clinical studies related to infectious diseases of bacterial, viral and parasitic origin. The journal welcomes articles describing research on pathogenesis, epidemiology of infection, diagnosis and treatment, antibiotics and resistance, and immunology.
×
引用
GB/T 7714-2015
复制
MLA
复制
APA
复制
导出至
BibTeX EndNote RefMan NoteFirst NoteExpress
×
提示
您的信息不完整,为了账户安全,请先补充。
现在去补充
×
提示
您因"违规操作"
具体请查看互助需知
我知道了
×
提示
确定
请完成安全验证×
copy
已复制链接
快去分享给好友吧!
我知道了
右上角分享
点击右上角分享
0
联系我们:info@booksci.cn Book学术提供免费学术资源搜索服务,方便国内外学者检索中英文文献。致力于提供最便捷和优质的服务体验。 Copyright © 2023 布克学术 All rights reserved.
京ICP备2023020795号-1
ghs 京公网安备 11010802042870号
Book学术文献互助
Book学术文献互助群
群 号:604180095
Book学术官方微信