Emergency neurosurgical hybrid operating platform for acute intracranial hemorrhage (E-HOPE).

Q2 Medicine
Mingze Wang, Peicong Ge, Yuming Jiao, Xiaofeng Deng, Songlin Yu, Yuha Jiang, Zhi Li, Tao Wang, Hongwei He, Youxiang Li, Xiaolin Chen, Shuo Wang, Yong Cao
{"title":"Emergency neurosurgical hybrid operating platform for acute intracranial hemorrhage (E-HOPE).","authors":"Mingze Wang, Peicong Ge, Yuming Jiao, Xiaofeng Deng, Songlin Yu, Yuha Jiang, Zhi Li, Tao Wang, Hongwei He, Youxiang Li, Xiaolin Chen, Shuo Wang, Yong Cao","doi":"10.1186/s41016-024-00385-0","DOIUrl":null,"url":null,"abstract":"<p><strong>Background: </strong>Precise diagnosis and rapid treatment for acute complex intracranial hemorrhage (ICH) are crucial. The neurosurgical hybrid operating platform integrates traditional open neurosurgery operating room functionalities with endovascular therapy capabilities and is developing in the neurosurgical practice. However, its effect on the emergent complicated neurovascular cases needs pilot exploration.</p><p><strong>Methods: </strong>In this prospective study, a total of 103 cases of both spontaneous and non-spontaneous ICH were consecutively recruited between June 2019 and June 2023. Demographic data, including age, gender distribution, and types of hemorrhage, were collected. Surgical interventions were tailored based on DSA, including spontaneous and non-spontaneous hemorrhages. Functional outcomes were assessed using the modified Rankin Scale (mRS) preoperatively and postoperatively.</p><p><strong>Results: </strong>Over the study period from June 2019 to June 2023, a cohort of 103 ICH cases underwent emergency hybrid surgical treatment utilizing the E-HOPE platform. Among these cases, 88 were classified as spontaneous ICH, while 15 were non-spontaneous. The mean age at diagnosis for the entire cohort was 54.0 ± 3.7 years, with a slight predominance of male patients. Spontaneous ICH encompassed a diverse spectrum of etiologies, including arteriovenous malformations, aneurysms, arteriovenous fistulas, cavernous malformations, moyamoya disease, and cryptogenic hemorrhages. Surgical interventions were tailored to address the specific pathology. Notably, improvements in mRS scores were observed in a majority of cases, with some patients experiencing stabilization or deterioration postoperatively. Non-spontaneous cases (n = 15) were primarily iatrogenic (n = 13) due to tumors adjacent to the internal carotid artery, necessitating stent graft deployment. Surgical approaches, including stent graft deployment and middle meningeal artery embolization, were effective in managing these cases. Postoperative functional outcomes varied depending on the nature of the hemorrhage, with a subset of patients demonstrating improvement in mRS scores while others showed no significant change.</p><p><strong>Conclusions: </strong>Emergency hybrid surgical treatment utilizing the E-HOPE platform offers promising outcomes for ICH patients. Tailored surgical approaches result in favorable postoperative functional outcomes, highlighting the importance of a multidisciplinary approach in managing these complex cases.</p>","PeriodicalId":36700,"journal":{"name":"Chinese Neurosurgical Journal","volume":"10 1","pages":"33"},"PeriodicalIF":0.0000,"publicationDate":"2024-12-16","publicationTypes":"Journal Article","fieldsOfStudy":null,"isOpenAccess":false,"openAccessPdf":"https://www.ncbi.nlm.nih.gov/pmc/articles/PMC11648302/pdf/","citationCount":"0","resultStr":null,"platform":"Semanticscholar","paperid":null,"PeriodicalName":"Chinese Neurosurgical Journal","FirstCategoryId":"3","ListUrlMain":"https://doi.org/10.1186/s41016-024-00385-0","RegionNum":0,"RegionCategory":null,"ArticlePicture":[],"TitleCN":null,"AbstractTextCN":null,"PMCID":null,"EPubDate":"","PubModel":"","JCR":"Q2","JCRName":"Medicine","Score":null,"Total":0}
引用次数: 0

Abstract

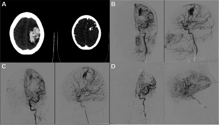
Background: Precise diagnosis and rapid treatment for acute complex intracranial hemorrhage (ICH) are crucial. The neurosurgical hybrid operating platform integrates traditional open neurosurgery operating room functionalities with endovascular therapy capabilities and is developing in the neurosurgical practice. However, its effect on the emergent complicated neurovascular cases needs pilot exploration.

Methods: In this prospective study, a total of 103 cases of both spontaneous and non-spontaneous ICH were consecutively recruited between June 2019 and June 2023. Demographic data, including age, gender distribution, and types of hemorrhage, were collected. Surgical interventions were tailored based on DSA, including spontaneous and non-spontaneous hemorrhages. Functional outcomes were assessed using the modified Rankin Scale (mRS) preoperatively and postoperatively.

Results: Over the study period from June 2019 to June 2023, a cohort of 103 ICH cases underwent emergency hybrid surgical treatment utilizing the E-HOPE platform. Among these cases, 88 were classified as spontaneous ICH, while 15 were non-spontaneous. The mean age at diagnosis for the entire cohort was 54.0 ± 3.7 years, with a slight predominance of male patients. Spontaneous ICH encompassed a diverse spectrum of etiologies, including arteriovenous malformations, aneurysms, arteriovenous fistulas, cavernous malformations, moyamoya disease, and cryptogenic hemorrhages. Surgical interventions were tailored to address the specific pathology. Notably, improvements in mRS scores were observed in a majority of cases, with some patients experiencing stabilization or deterioration postoperatively. Non-spontaneous cases (n = 15) were primarily iatrogenic (n = 13) due to tumors adjacent to the internal carotid artery, necessitating stent graft deployment. Surgical approaches, including stent graft deployment and middle meningeal artery embolization, were effective in managing these cases. Postoperative functional outcomes varied depending on the nature of the hemorrhage, with a subset of patients demonstrating improvement in mRS scores while others showed no significant change.

Conclusions: Emergency hybrid surgical treatment utilizing the E-HOPE platform offers promising outcomes for ICH patients. Tailored surgical approaches result in favorable postoperative functional outcomes, highlighting the importance of a multidisciplinary approach in managing these complex cases.

Abstract Image

Abstract Image

Abstract Image

急性颅内出血急诊神经外科混合手术平台(E-HOPE)
背景:急性复杂颅内出血(ICH)的准确诊断和快速治疗至关重要。神经外科混合手术平台将传统的开放式神经外科手术室功能与血管内治疗功能相结合,正在神经外科实践中不断发展。但其在急诊复杂神经血管病例中的应用效果有待初步探讨。方法:本前瞻性研究于2019年6月至2023年6月连续招募103例自发性和非自发性脑出血患者。收集人口统计数据,包括年龄、性别分布和出血类型。手术干预是根据DSA量身定制的,包括自发性和非自发性出血。术前和术后采用改良Rankin量表(mRS)评估功能预后。结果:在2019年6月至2023年6月的研究期间,103例脑出血患者利用E-HOPE平台进行了紧急混合手术治疗。自发性脑出血88例,非自发性脑出血15例。整个队列的平均诊断年龄为54.0±3.7岁,男性患者略占优势。自发性脑出血包括多种病因,包括动静脉畸形、动脉瘤、动静脉瘘、海绵状血管瘤、烟雾病和隐源性出血。手术干预是针对具体病理量身定制的。值得注意的是,在大多数病例中观察到mRS评分的改善,一些患者术后出现稳定或恶化。非自发性病例(n = 15)主要是医源性的(n = 13),由于肿瘤邻近颈内动脉,需要支架置入。手术方法,包括支架置放和中脑膜动脉栓塞,是治疗这些病例的有效方法。术后功能结果因出血的性质而异,一部分患者的mRS评分有所改善,而另一部分患者则无显著变化。结论:利用E-HOPE平台的紧急混合手术治疗为脑出血患者提供了有希望的结果。量身定制的手术入路可获得良好的术后功能结果,突出了多学科方法在处理这些复杂病例中的重要性。
本文章由计算机程序翻译,如有差异,请以英文原文为准。
求助全文
约1分钟内获得全文 求助全文
来源期刊
CiteScore
2.70
自引率
0.00%
发文量
224
审稿时长
10 weeks
×
引用
GB/T 7714-2015
复制
MLA
复制
APA
复制
导出至
BibTeX EndNote RefMan NoteFirst NoteExpress
×
提示
您的信息不完整,为了账户安全,请先补充。
现在去补充
×
提示
您因"违规操作"
具体请查看互助需知
我知道了
×
提示
确定
请完成安全验证×
copy
已复制链接
快去分享给好友吧!
我知道了
右上角分享
点击右上角分享
0
联系我们:info@booksci.cn Book学术提供免费学术资源搜索服务,方便国内外学者检索中英文文献。致力于提供最便捷和优质的服务体验。 Copyright © 2023 布克学术 All rights reserved.
京ICP备2023020795号-1
ghs 京公网安备 11010802042870号
Book学术文献互助
Book学术文献互助群
群 号:604180095
Book学术官方微信