Current Practice and Outcomes of Patients Undergoing Surgical Resection for Renal Cell Metastases to the Pancreas in Northern Ireland.

The Ulster medical journal Pub Date : 2024-12-01 Epub Date: 2024-12-11
K Dodds, D Curry, P Kelly, D O'Rourke, J McClements
{"title":"Current Practice and Outcomes of Patients Undergoing Surgical Resection for Renal Cell Metastases to the Pancreas in Northern Ireland.","authors":"K Dodds, D Curry, P Kelly, D O'Rourke, J McClements","doi":"","DOIUrl":null,"url":null,"abstract":"<p><p>Metastatic tumours to the pancreas are rare but most commonly arise from primary renal cell carcinoma (RCC). Contrary to other metastatic malignancies, metastatic RCC demonstrates indolent behaviour; with a long latency between primary tumour presentation and the development of metastasis, as well as a predilection to isolated pancreas-only disease. As such, pancreatic metastasectomy has evolved as a treatment option for patients with metastatic RCC; reported to associate with improved outcomes in selected patients. The aim of this study was to describe the clinicopathological characteristics and patient outcomes in a series of patients undergoing pancreatic resection for metastatic RCC in a high volume, regional hepatopancreatobiliary (HPB) centre.</p><p><strong>Design: </strong>Retrospective review of all patients who underwent pancreatic metastasectomy for pathologically-confirmed metastatic RCC over an eighteen-year period. Clinicopathological characteristics and outcomes were collected and analysed.</p><p><strong>Results: </strong>Fifteen patients underwent pancreatic resection for metastatic RCC between October 2004 and October 2022. Two patients underwent synchronous nephrectomy and pancreatectomy. In thirteen patients, the pancreas was the only site of metastatic disease. For those with metachronous metastases, the median disease-free interval (DFI) was 126 months from initial nephrectomy.Five-year disease-free and overall survival were 32.7 % and 63.3 %, respectively. No clinicopathological factor was found to associate with overall survival (OS); however, patients with synchronous metastatic disease had a significantly shorter disease-free survival (p = 0.029). Similarly, patients with a longer DFI (≥ ten years) between RCC primary and the development of pancreatic metastases had a trend towards improved OS (p = 0.074).Post-operative morbidity and mortality rates were comparable to that of pancreatic surgery for primary pancreatic pathology.</p><p><strong>Conclusion: </strong>This case series supports the role of pancreatic resection in patients with metastatic RCC, with acceptable rates of morbidity and mortality and favourable patient outcomes. The long DFI between nephrectomy and pancreatic metastases highlights the importance of long-term follow-up for patients diagnosed with RCC.</p>","PeriodicalId":94250,"journal":{"name":"The Ulster medical journal","volume":"93 2","pages":"58-66"},"PeriodicalIF":0.0000,"publicationDate":"2024-12-01","publicationTypes":"Journal Article","fieldsOfStudy":null,"isOpenAccess":false,"openAccessPdf":"https://www.ncbi.nlm.nih.gov/pmc/articles/PMC11633314/pdf/","citationCount":"0","resultStr":null,"platform":"Semanticscholar","paperid":null,"PeriodicalName":"The Ulster medical journal","FirstCategoryId":"1085","ListUrlMain":"","RegionNum":0,"RegionCategory":null,"ArticlePicture":[],"TitleCN":null,"AbstractTextCN":null,"PMCID":null,"EPubDate":"2024/12/11 0:00:00","PubModel":"Epub","JCR":"","JCRName":"","Score":null,"Total":0}
引用次数: 0

Abstract

Metastatic tumours to the pancreas are rare but most commonly arise from primary renal cell carcinoma (RCC). Contrary to other metastatic malignancies, metastatic RCC demonstrates indolent behaviour; with a long latency between primary tumour presentation and the development of metastasis, as well as a predilection to isolated pancreas-only disease. As such, pancreatic metastasectomy has evolved as a treatment option for patients with metastatic RCC; reported to associate with improved outcomes in selected patients. The aim of this study was to describe the clinicopathological characteristics and patient outcomes in a series of patients undergoing pancreatic resection for metastatic RCC in a high volume, regional hepatopancreatobiliary (HPB) centre.

Design: Retrospective review of all patients who underwent pancreatic metastasectomy for pathologically-confirmed metastatic RCC over an eighteen-year period. Clinicopathological characteristics and outcomes were collected and analysed.

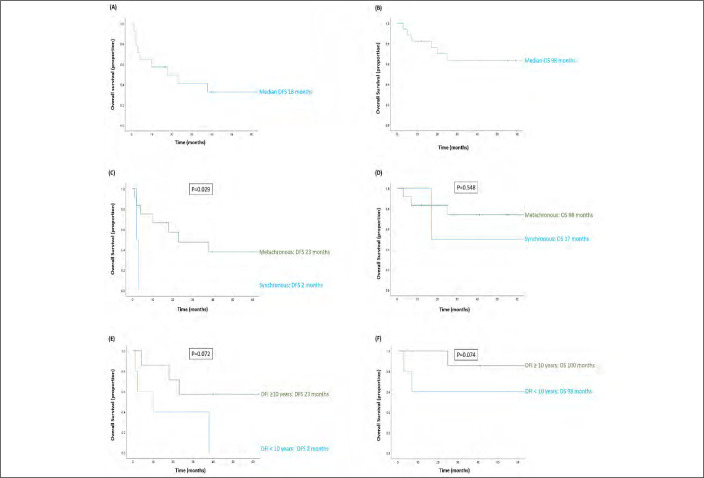
Results: Fifteen patients underwent pancreatic resection for metastatic RCC between October 2004 and October 2022. Two patients underwent synchronous nephrectomy and pancreatectomy. In thirteen patients, the pancreas was the only site of metastatic disease. For those with metachronous metastases, the median disease-free interval (DFI) was 126 months from initial nephrectomy.Five-year disease-free and overall survival were 32.7 % and 63.3 %, respectively. No clinicopathological factor was found to associate with overall survival (OS); however, patients with synchronous metastatic disease had a significantly shorter disease-free survival (p = 0.029). Similarly, patients with a longer DFI (≥ ten years) between RCC primary and the development of pancreatic metastases had a trend towards improved OS (p = 0.074).Post-operative morbidity and mortality rates were comparable to that of pancreatic surgery for primary pancreatic pathology.

Conclusion: This case series supports the role of pancreatic resection in patients with metastatic RCC, with acceptable rates of morbidity and mortality and favourable patient outcomes. The long DFI between nephrectomy and pancreatic metastases highlights the importance of long-term follow-up for patients diagnosed with RCC.

Abstract Image

Abstract Image

Abstract Image

目前的做法和结果的患者接受手术切除肾细胞转移到胰腺在北爱尔兰。
胰腺转移性肿瘤非常罕见,但最常见的是原发性肾细胞癌(RCC)。与其他转移性恶性肿瘤相反,转移性 RCC 表现出懒散的行为;从原发肿瘤出现到发生转移之间的潜伏期较长,并且偏向于孤立的胰腺疾病。因此,胰腺转移灶切除术已发展成为转移性RCC患者的一种治疗选择;据报道,在选定的患者中,这种方法可改善预后。本研究的目的是描述在一个高容量区域性肝胆胰(HPB)中心接受胰腺切除术治疗转移性RCC的一系列患者的临床病理特征和患者预后:设计:回顾性研究18年来因病理确诊的转移性RCC而接受胰腺转移切除术的所有患者。结果:15名患者接受了胰腺转移切除术:2004年10月至2022年10月期间,15名患者因转移性RCC接受了胰腺切除术。两名患者接受了同步肾切除术和胰腺切除术。在13名患者中,胰腺是唯一的转移性疾病部位。对于有远处转移的患者,中位无病间隔期(DFI)为最初肾切除术后的126个月。五年无病生存率和总生存率分别为32.7%和63.3%。没有发现任何临床病理因素与总生存期(OS)相关;但是,同步转移性疾病患者的无病生存期明显较短(p = 0.029)。同样,RCC原发与发生胰腺转移之间的DFI时间较长(≥10年)的患者的OS有改善的趋势(p = 0.074):本系列病例支持胰腺切除术在转移性RCC患者中的作用,其发病率和死亡率可接受,患者预后良好。肾切除术与胰腺转移之间的DFI较长,这凸显了对确诊为RCC患者进行长期随访的重要性。
本文章由计算机程序翻译,如有差异,请以英文原文为准。
求助全文
约1分钟内获得全文 求助全文
来源期刊
自引率
0.00%
发文量
0
×
引用
GB/T 7714-2015
复制
MLA
复制
APA
复制
导出至
BibTeX EndNote RefMan NoteFirst NoteExpress
×
提示
您的信息不完整,为了账户安全,请先补充。
现在去补充
×
提示
您因"违规操作"
具体请查看互助需知
我知道了
×
提示
确定
请完成安全验证×
copy
已复制链接
快去分享给好友吧!
我知道了
右上角分享
点击右上角分享
0
联系我们:info@booksci.cn Book学术提供免费学术资源搜索服务,方便国内外学者检索中英文文献。致力于提供最便捷和优质的服务体验。 Copyright © 2023 布克学术 All rights reserved.
京ICP备2023020795号-1
ghs 京公网安备 11010802042870号
Book学术文献互助
Book学术文献互助群
群 号:604180095
Book学术官方微信