Pathological characterization of lung fibrosis in Sprague-Dawley rats treated with fluoro-edenite fibres by intrapleural injection.

IF 2.7 4区 医学 Q2 PUBLIC, ENVIRONMENTAL & OCCUPATIONAL HEALTH
Eva Tibaldi, Federica Gnudi, Daniele Mandrioli, Caterina Bruno, Amerigo Zona, Lucia Fazzo, Pietro Comba
{"title":"Pathological characterization of lung fibrosis in Sprague-Dawley rats treated with fluoro-edenite fibres by intrapleural injection.","authors":"Eva Tibaldi, Federica Gnudi, Daniele Mandrioli, Caterina Bruno, Amerigo Zona, Lucia Fazzo, Pietro Comba","doi":"10.1186/s12995-024-00434-5","DOIUrl":null,"url":null,"abstract":"<p><strong>Background: </strong>An increased incidence of pleural mesotheliomas in Biancavilla (Italy) was attributed to the environmental exposure to fluoro-edenite (FE). Results from the Ramazzini Institute (RI) in vivo long-term study confirmed the evidence that exposure to FE fibres is correlated with an increase of malignant pleural mesotheliomas in Sprague-Dawley rats. Recently asbestosis-like features were substantiated in Biancavilla residents without known occupational exposures. Aim of this work was to establish whether FE induce lung fibrosis with a pathogenetic mechanism similar to other asbestiform fibres.</p><p><strong>Methods: </strong>Original slides from the RI study were systematically re-examined to characterize the FE-induced lesions. Quantitative analysis of lung fibrosis was assessed following the Ashcroft method. Immunohistochemical analysis of protein involved in fibrotic responses and histochemical staining for FE-fibres identification were performed.</p><p><strong>Results: </strong>Like asbestos, FE caused fibrotic lesions, pleural plaques or nodules and mesotheliomas. A significant increase of lung fibrosis (p < 0.001) was observed in the FE-treated groups compared to untreated controls. In the fibrotic responses to FE, vimentin was the most expressed protein, followed by collagen-I and alpha-SMA. Finally, ferruginous bodies, characterized by iron deposits and ferritin expression, were observed in FE-induced lesions.</p><p><strong>Conclusions: </strong>This study confirmed that FE exposure promotes the onset of fibrotic lesions at pleural level, as fibrous plaques or nodules and fibrosis, through a mechanism similar to other form of asbestos. These results combined with epidemiological study reported in Biancavilla residents, corroborate the need to promote health and epidemiological surveillance plans of respiratory diseases in population living in FE contaminated sites.</p>","PeriodicalId":48903,"journal":{"name":"Journal of Occupational Medicine and Toxicology","volume":"19 1","pages":"45"},"PeriodicalIF":2.7000,"publicationDate":"2024-12-13","publicationTypes":"Journal Article","fieldsOfStudy":null,"isOpenAccess":false,"openAccessPdf":"https://www.ncbi.nlm.nih.gov/pmc/articles/PMC11639117/pdf/","citationCount":"0","resultStr":null,"platform":"Semanticscholar","paperid":null,"PeriodicalName":"Journal of Occupational Medicine and Toxicology","FirstCategoryId":"3","ListUrlMain":"https://doi.org/10.1186/s12995-024-00434-5","RegionNum":4,"RegionCategory":"医学","ArticlePicture":[],"TitleCN":null,"AbstractTextCN":null,"PMCID":null,"EPubDate":"","PubModel":"","JCR":"Q2","JCRName":"PUBLIC, ENVIRONMENTAL & OCCUPATIONAL HEALTH","Score":null,"Total":0}
引用次数: 0

Abstract

Background: An increased incidence of pleural mesotheliomas in Biancavilla (Italy) was attributed to the environmental exposure to fluoro-edenite (FE). Results from the Ramazzini Institute (RI) in vivo long-term study confirmed the evidence that exposure to FE fibres is correlated with an increase of malignant pleural mesotheliomas in Sprague-Dawley rats. Recently asbestosis-like features were substantiated in Biancavilla residents without known occupational exposures. Aim of this work was to establish whether FE induce lung fibrosis with a pathogenetic mechanism similar to other asbestiform fibres.

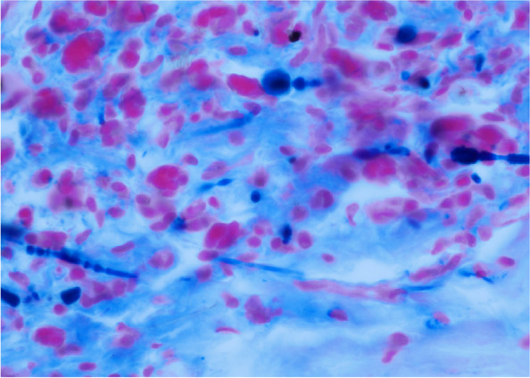
Methods: Original slides from the RI study were systematically re-examined to characterize the FE-induced lesions. Quantitative analysis of lung fibrosis was assessed following the Ashcroft method. Immunohistochemical analysis of protein involved in fibrotic responses and histochemical staining for FE-fibres identification were performed.

Results: Like asbestos, FE caused fibrotic lesions, pleural plaques or nodules and mesotheliomas. A significant increase of lung fibrosis (p < 0.001) was observed in the FE-treated groups compared to untreated controls. In the fibrotic responses to FE, vimentin was the most expressed protein, followed by collagen-I and alpha-SMA. Finally, ferruginous bodies, characterized by iron deposits and ferritin expression, were observed in FE-induced lesions.

Conclusions: This study confirmed that FE exposure promotes the onset of fibrotic lesions at pleural level, as fibrous plaques or nodules and fibrosis, through a mechanism similar to other form of asbestos. These results combined with epidemiological study reported in Biancavilla residents, corroborate the need to promote health and epidemiological surveillance plans of respiratory diseases in population living in FE contaminated sites.

Abstract Image

Abstract Image

Abstract Image

通过胸腔内注射氟烯酸纤维治疗 Sprague-Dawley 大鼠肺纤维化的病理学特征。
背景:比安卡维拉(意大利)胸膜间皮瘤发病率增加的原因是环境中接触了氟烯土(FE)。拉马齐尼研究所(RI)的体内长期研究结果证实,暴露于氟烯烃纤维与 Sprague-Dawley 大鼠恶性胸膜间皮瘤的增加有关。最近,在没有已知职业接触的比安卡维拉居民中证实了类似石棉沉滞症的特征。这项工作的目的是确定 FE 是否会诱发肺纤维化,其致病机制是否与其他石棉状纤维相似:方法:系统地重新检查了 RI 研究的原始切片,以确定 FE 诱导病变的特征。按照 Ashcroft 方法对肺纤维化进行了定量分析。对参与纤维化反应的蛋白质进行了免疫组化分析,并对 FE 纤维进行了组织化学染色鉴定:结果:与石棉一样,FE 也会引起纤维化病变、胸膜斑块或结节以及间皮瘤。肺纤维化程度明显增加(P这项研究证实,接触膳食纤维会促进胸膜纤维化病变的发生,表现为纤维斑块或结节和纤维化,其机制与其他形式的石棉类似。这些结果与对比安卡维拉居民的流行病学研究报告相结合,证实了有必要在生活在受 FE 污染场所的人群中推广呼吸系统疾病的健康和流行病学监测计划。
本文章由计算机程序翻译,如有差异,请以英文原文为准。
求助全文
约1分钟内获得全文 求助全文
来源期刊
Journal of Occupational Medicine and Toxicology
Journal of Occupational Medicine and Toxicology PUBLIC, ENVIRONMENTAL & OCCUPATIONAL HEALTH-
CiteScore
6.00
自引率
0.00%
发文量
23
审稿时长
19 weeks
期刊介绍: Aimed at clinicians and researchers, the Journal of Occupational Medicine and Toxicology is a multi-disciplinary, open access journal which publishes original research on the clinical and scientific aspects of occupational and environmental health. With high-quality peer review and quick decision times, we welcome submissions on the diagnosis, prevention, management, and scientific analysis of occupational diseases, injuries, and disability. The journal also covers the promotion of health of workers, their families, and communities, and ranges from rehabilitation to tropical medicine and public health aspects.
×
引用
GB/T 7714-2015
复制
MLA
复制
APA
复制
导出至
BibTeX EndNote RefMan NoteFirst NoteExpress
×
提示
您的信息不完整,为了账户安全,请先补充。
现在去补充
×
提示
您因"违规操作"
具体请查看互助需知
我知道了
×
提示
确定
请完成安全验证×
copy
已复制链接
快去分享给好友吧!
我知道了
右上角分享
点击右上角分享
0
联系我们:info@booksci.cn Book学术提供免费学术资源搜索服务,方便国内外学者检索中英文文献。致力于提供最便捷和优质的服务体验。 Copyright © 2023 布克学术 All rights reserved.
京ICP备2023020795号-1
ghs 京公网安备 11010802042870号
Book学术文献互助
Book学术文献互助群
群 号:604180095
Book学术官方微信