[Pseudoaneurysm of the hepatic artery as a cause of liver re-transplantation]

Q3 Medicine
Rodrigo Antonio Gasque, José Gabriel Cervantes, Magalí Chahdi Beltrame, Marcelo Enrique Lenz Virreira, Emilio Gastón Quiñonez, Francisco Juan Mattera
{"title":"[Pseudoaneurysm of the hepatic artery as a cause of liver re-transplantation]","authors":"Rodrigo Antonio Gasque, José Gabriel Cervantes, Magalí Chahdi Beltrame, Marcelo Enrique Lenz Virreira, Emilio Gastón Quiñonez, Francisco Juan Mattera","doi":"10.31053/1853.0605.v81.n4.43452","DOIUrl":null,"url":null,"abstract":"<p><p>A 69-year-old man underwent liver transplantation with a deceased donor for cirrhosis secondary to steatohepatitis. The arterial anastomosis was performed between the celiac trunk of the donor and the hepatic artery of the recipient. In the second postoperative month, he developed abdominal pain and abnormal liver function tests. MRI angiography and subsequent digital angiography confirmed a 50 x 60 mm hepatic artery pseudoaneurysm (PAH) with dilation of the bile duct and bilomas in both hepatic lobes. Endovascular treatment could not be performed due to the absence of contrast passage to the intrahepatic branches during angiography. A surgical ligation and resection of the PAH that compromised both hepatic arteries was chosen. The primary anastomosis was not viable because it was not possible to identify a viable proximal end or ostium. Given the ischemic compromise of the bile duct, an exception route for re-transplantation was requested from INCUCAI, thus entering the waiting list and accessing a new graft 30 days later. His subsequent evolution was favorable. Now he's asymptomatic under follow-up after 9 years of the liver re-transplantation.</p>","PeriodicalId":38814,"journal":{"name":"Revista de la Facultad de Ciencias Medicas de Cordoba","volume":"81 4","pages":"842-851"},"PeriodicalIF":0.0000,"publicationDate":"2024-12-13","publicationTypes":"Journal Article","fieldsOfStudy":null,"isOpenAccess":false,"openAccessPdf":"https://www.ncbi.nlm.nih.gov/pmc/articles/PMC11905784/pdf/","citationCount":"0","resultStr":null,"platform":"Semanticscholar","paperid":null,"PeriodicalName":"Revista de la Facultad de Ciencias Medicas de Cordoba","FirstCategoryId":"1085","ListUrlMain":"https://doi.org/10.31053/1853.0605.v81.n4.43452","RegionNum":0,"RegionCategory":null,"ArticlePicture":[],"TitleCN":null,"AbstractTextCN":null,"PMCID":null,"EPubDate":"","PubModel":"","JCR":"Q3","JCRName":"Medicine","Score":null,"Total":0}
引用次数: 0

Abstract

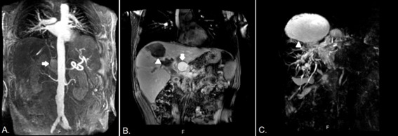
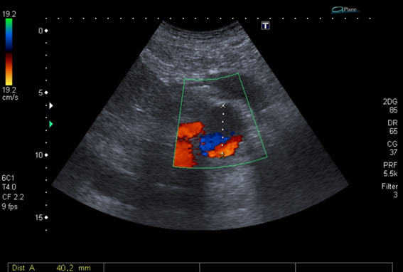
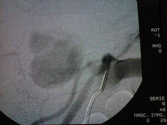
A 69-year-old man underwent liver transplantation with a deceased donor for cirrhosis secondary to steatohepatitis. The arterial anastomosis was performed between the celiac trunk of the donor and the hepatic artery of the recipient. In the second postoperative month, he developed abdominal pain and abnormal liver function tests. MRI angiography and subsequent digital angiography confirmed a 50 x 60 mm hepatic artery pseudoaneurysm (PAH) with dilation of the bile duct and bilomas in both hepatic lobes. Endovascular treatment could not be performed due to the absence of contrast passage to the intrahepatic branches during angiography. A surgical ligation and resection of the PAH that compromised both hepatic arteries was chosen. The primary anastomosis was not viable because it was not possible to identify a viable proximal end or ostium. Given the ischemic compromise of the bile duct, an exception route for re-transplantation was requested from INCUCAI, thus entering the waiting list and accessing a new graft 30 days later. His subsequent evolution was favorable. Now he's asymptomatic under follow-up after 9 years of the liver re-transplantation.

Abstract Image

Abstract Image

Abstract Image

肝动脉假性动脉瘤是导致肝脏再次移植的原因之一。
69岁男子,因继发性肝硬化而接受尸体供体肝移植。动脉解剖是在供体的乳糜干和受体的肝动脉之间进行的。术后第二个月,她出现腹痛和肝功能紊乱。血管磁共振成像和随后的数字血管造影证实了50 x 60毫米的肝动脉假动脉瘤,伴有胆道扩张和两个肝叶的双裂。由于血管造影时肝内支缺乏对比通道,无法进行血管内治疗。选择了连接和手术切除危及两条肝动脉的多环芳烃。原发性关节发育不可行,因为没有发现可行的近端角或骨。由于胆道缺血性损伤,我们申请了一种特殊的方法来重新移植到INCUCAI,从而进入等候名单,并在30天后接受新的移植。随后的发展是有利的,再次移植后9年无症状随访。
本文章由计算机程序翻译,如有差异,请以英文原文为准。
求助全文
约1分钟内获得全文 求助全文
来源期刊
CiteScore
1.60
自引率
0.00%
发文量
60
审稿时长
20 weeks
期刊介绍: The Journal of the Faculty of Medical Sciences is a scientific publication of the Secretariat of Science and Technology of the Faculty of Medical Sciences of the National University of Cordoba. Its objective is to disseminate and promote research work related to Medical and Biological Sciences. It publishes scientific works of national and international professionals on different topics related to health sciences from the field of medicine, nursing, kinesiology, diagnostic imaging, phonoaudiology, nutrition, public health, chemical sciences, dentistry and related.
×
引用
GB/T 7714-2015
复制
MLA
复制
APA
复制
导出至
BibTeX EndNote RefMan NoteFirst NoteExpress
×
提示
您的信息不完整,为了账户安全,请先补充。
现在去补充
×
提示
您因"违规操作"
具体请查看互助需知
我知道了
×
提示
确定
请完成安全验证×
copy
已复制链接
快去分享给好友吧!
我知道了
右上角分享
点击右上角分享
0
联系我们:info@booksci.cn Book学术提供免费学术资源搜索服务,方便国内外学者检索中英文文献。致力于提供最便捷和优质的服务体验。 Copyright © 2023 布克学术 All rights reserved.
京ICP备2023020795号-1
ghs 京公网安备 11010802042870号
Book学术文献互助
Book学术文献互助群
群 号:604180095
Book学术官方微信