[Labyrinthitis ossificans]

Q3 Medicine
Raquel Navas-Campo, Leticia Moreno Caballero, Maria Jose Gimeno Peribañez
{"title":"[Labyrinthitis ossificans]","authors":"Raquel Navas-Campo, Leticia Moreno Caballero, Maria Jose Gimeno Peribañez","doi":"10.31053/1853.0605.v81.n4.38245","DOIUrl":null,"url":null,"abstract":"<p><p>Labyrinthitis ossificans is a pathology consisting of calcification of the membranous labyrinth resulting in profound sensory deafness. It is usually due to an acute inflammatory process that progresses to ossification of the labyrinth. The clinical manifestations are irreversible hearing loss, dizziness and vomiting. It is diagnosed by computed tomography (CT) and magnetic resonance imaging (MRI). It is important to make the correct diagnosis before cochlear implantation, as ossification of the labyrinth can hinder or prevent the implantation of electrodes.</p>","PeriodicalId":38814,"journal":{"name":"Revista de la Facultad de Ciencias Medicas de Cordoba","volume":"81 4","pages":"852-860"},"PeriodicalIF":0.0000,"publicationDate":"2024-12-13","publicationTypes":"Journal Article","fieldsOfStudy":null,"isOpenAccess":false,"openAccessPdf":"https://www.ncbi.nlm.nih.gov/pmc/articles/PMC11905774/pdf/","citationCount":"0","resultStr":null,"platform":"Semanticscholar","paperid":null,"PeriodicalName":"Revista de la Facultad de Ciencias Medicas de Cordoba","FirstCategoryId":"1085","ListUrlMain":"https://doi.org/10.31053/1853.0605.v81.n4.38245","RegionNum":0,"RegionCategory":null,"ArticlePicture":[],"TitleCN":null,"AbstractTextCN":null,"PMCID":null,"EPubDate":"","PubModel":"","JCR":"Q3","JCRName":"Medicine","Score":null,"Total":0}
引用次数: 0

Abstract

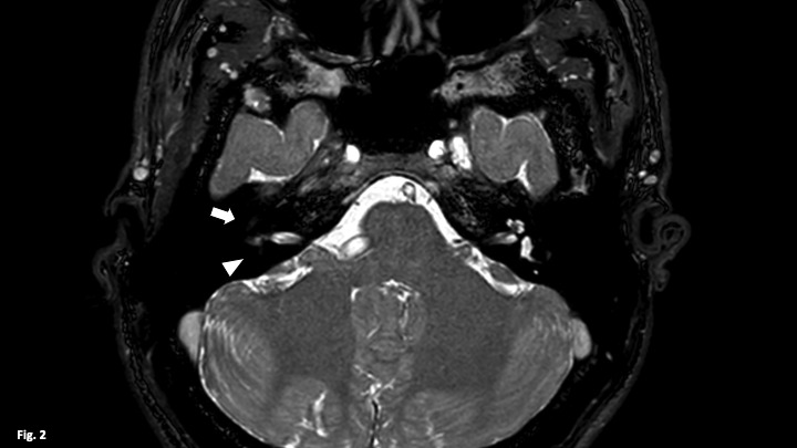
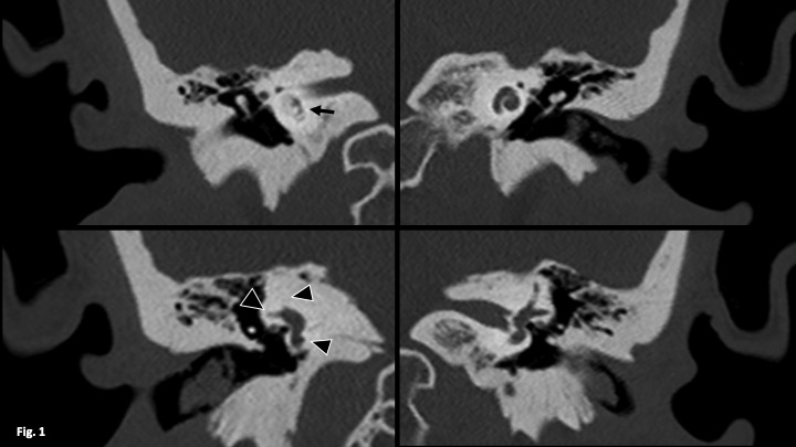
Labyrinthitis ossificans is a pathology consisting of calcification of the membranous labyrinth resulting in profound sensory deafness. It is usually due to an acute inflammatory process that progresses to ossification of the labyrinth. The clinical manifestations are irreversible hearing loss, dizziness and vomiting. It is diagnosed by computed tomography (CT) and magnetic resonance imaging (MRI). It is important to make the correct diagnosis before cochlear implantation, as ossification of the labyrinth can hinder or prevent the implantation of electrodes.

Abstract Image

Abstract Image

Abstract Image

硬化性迷路炎
生锈性迷宫炎是一种由膜迷宫钙化组成的病理,导致深度感官耳聋。它通常是由急性炎症过程引起的,最终导致迷宫生锈。诊所包括不可逆的低声、眩晕和呕吐。诊断是通过计算机断层扫描(CT)和核磁共振(MRI)。在进行耳蜗植入之前进行正确的诊断是很重要的,因为迷宫的氧化会使电极的植入变得困难或阻碍。
本文章由计算机程序翻译,如有差异,请以英文原文为准。
求助全文
约1分钟内获得全文 求助全文
来源期刊
CiteScore
1.60
自引率
0.00%
发文量
60
审稿时长
20 weeks
期刊介绍: The Journal of the Faculty of Medical Sciences is a scientific publication of the Secretariat of Science and Technology of the Faculty of Medical Sciences of the National University of Cordoba. Its objective is to disseminate and promote research work related to Medical and Biological Sciences. It publishes scientific works of national and international professionals on different topics related to health sciences from the field of medicine, nursing, kinesiology, diagnostic imaging, phonoaudiology, nutrition, public health, chemical sciences, dentistry and related.
×
引用
GB/T 7714-2015
复制
MLA
复制
APA
复制
导出至
BibTeX EndNote RefMan NoteFirst NoteExpress
×
提示
您的信息不完整,为了账户安全,请先补充。
现在去补充
×
提示
您因"违规操作"
具体请查看互助需知
我知道了
×
提示
确定
请完成安全验证×
copy
已复制链接
快去分享给好友吧!
我知道了
右上角分享
点击右上角分享
0
联系我们:info@booksci.cn Book学术提供免费学术资源搜索服务,方便国内外学者检索中英文文献。致力于提供最便捷和优质的服务体验。 Copyright © 2023 布克学术 All rights reserved.
京ICP备2023020795号-1
ghs 京公网安备 11010802042870号
Book学术文献互助
Book学术文献互助群
群 号:604180095
Book学术官方微信