Does Collagen Membrane Coverage Offer any Advantage for Lateral Window Sinus Augmentation? A Histologic and Histomorphometric Analysis.

IF 1 Q3 SURGERY
Negin Jabbari, Zahra Shooshtari, Shabnam Mohammadi, Narges Ghazi, Mozhgan Kazemian
{"title":"Does Collagen Membrane Coverage Offer any Advantage for Lateral Window Sinus Augmentation? A Histologic and Histomorphometric Analysis.","authors":"Negin Jabbari, Zahra Shooshtari, Shabnam Mohammadi, Narges Ghazi, Mozhgan Kazemian","doi":"10.61186/wjps.13.3.49","DOIUrl":null,"url":null,"abstract":"<p><strong>Background: </strong>We aimed to determine whether collagen membrane coverage in maxillary sinus floor elevation surgery, provides an advantage regarding bone regeneration.</p><p><strong>Methods: </strong>This randomized clinical trial included all healthy adults presented for dental implant placement in the posterior edentulous maxilla at the Maxillofacial Surgery Department of Mashhad Dental School, Mashhad, Iran from 2021-2022. Participants were candidates for sinus floor elevation surgery. Patients were randomly allocated to control (with membrane) and test (without membrane) groups. Surgery was performed through the lateral window technique and using allograft particles. According to the assigned study group; either a collagen membrane was placed over the osteotomy window or it was left uncovered. Six months after surgery when patients were recalled for implant placement, a bone specimen was obtained and sent for histologic and histomorphometric analysis. The predictor variable was the use of collagenous membrane and the outcome variables were the amount of newly formed bone, native bone, and connective tissue.</p><p><strong>Results: </strong>A total of 30 consecutive patients, with a mean age of 46.33±7.25 years completed the study. Histomorphometric measurements, six months after augmentation revealed that the mean area of connective tissue was significantly less in the group with membrane coverage (P=0.015). The area of newly formed bone was significantly greater in sites covered with a collagen membrane compared to grafted but uncovered sites; (P <0.001).</p><p><strong>Conclusion: </strong>Covering the lateral osteotomy window with a bioabsorbable collagenous membrane is able to significantly enhance vital bone formation and decrease connective tissue proliferation.</p>","PeriodicalId":23736,"journal":{"name":"World Journal of Plastic Surgery","volume":"13 3","pages":"49-56"},"PeriodicalIF":1.0000,"publicationDate":"2024-01-01","publicationTypes":"Journal Article","fieldsOfStudy":null,"isOpenAccess":false,"openAccessPdf":"https://www.ncbi.nlm.nih.gov/pmc/articles/PMC11629758/pdf/","citationCount":"0","resultStr":null,"platform":"Semanticscholar","paperid":null,"PeriodicalName":"World Journal of Plastic Surgery","FirstCategoryId":"1085","ListUrlMain":"https://doi.org/10.61186/wjps.13.3.49","RegionNum":0,"RegionCategory":null,"ArticlePicture":[],"TitleCN":null,"AbstractTextCN":null,"PMCID":null,"EPubDate":"","PubModel":"","JCR":"Q3","JCRName":"SURGERY","Score":null,"Total":0}
引用次数: 0

Abstract

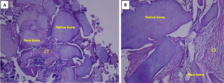
Background: We aimed to determine whether collagen membrane coverage in maxillary sinus floor elevation surgery, provides an advantage regarding bone regeneration.

Methods: This randomized clinical trial included all healthy adults presented for dental implant placement in the posterior edentulous maxilla at the Maxillofacial Surgery Department of Mashhad Dental School, Mashhad, Iran from 2021-2022. Participants were candidates for sinus floor elevation surgery. Patients were randomly allocated to control (with membrane) and test (without membrane) groups. Surgery was performed through the lateral window technique and using allograft particles. According to the assigned study group; either a collagen membrane was placed over the osteotomy window or it was left uncovered. Six months after surgery when patients were recalled for implant placement, a bone specimen was obtained and sent for histologic and histomorphometric analysis. The predictor variable was the use of collagenous membrane and the outcome variables were the amount of newly formed bone, native bone, and connective tissue.

Results: A total of 30 consecutive patients, with a mean age of 46.33±7.25 years completed the study. Histomorphometric measurements, six months after augmentation revealed that the mean area of connective tissue was significantly less in the group with membrane coverage (P=0.015). The area of newly formed bone was significantly greater in sites covered with a collagen membrane compared to grafted but uncovered sites; (P <0.001).

Conclusion: Covering the lateral osteotomy window with a bioabsorbable collagenous membrane is able to significantly enhance vital bone formation and decrease connective tissue proliferation.

Abstract Image

胶原膜覆盖对侧窗窦增强有什么好处吗?组织学和组织形态计量学分析。
背景:我们的目的是确定上颌窦底提升手术中胶原膜覆盖是否对骨再生有好处。方法:这项随机临床试验纳入了2021-2022年在伊朗马什哈德牙科学校颌面外科接受无牙上颌种植体置入术的所有健康成年人。参与者是窦底提升手术的候选人。患者随机分为对照组(有膜组)和试验组(无膜组)。手术通过侧窗技术和使用同种异体移植颗粒进行。根据指定的学习小组;要么在截骨窗上放置胶原膜,要么不覆盖。手术后6个月,当患者被召回进行种植体植入时,获得骨标本并送去进行组织学和组织形态学分析。预测变量是胶原膜的使用,结果变量是新形成骨、天然骨和结缔组织的数量。结果:共30例患者连续完成研究,平均年龄46.33±7.25岁。增强后6个月的组织形态学测量显示,膜覆盖组结缔组织的平均面积显著减少(P=0.015)。胶原膜覆盖部位的新骨面积明显大于未覆盖的移植部位;结论:生物可吸收胶原膜覆盖外侧截骨窗可显著促进重要骨形成,减少结缔组织增殖。
本文章由计算机程序翻译,如有差异,请以英文原文为准。
求助全文
约1分钟内获得全文 求助全文
来源期刊
自引率
11.10%
发文量
41
×
引用
GB/T 7714-2015
复制
MLA
复制
APA
复制
导出至
BibTeX EndNote RefMan NoteFirst NoteExpress
×
提示
您的信息不完整,为了账户安全,请先补充。
现在去补充
×
提示
您因"违规操作"
具体请查看互助需知
我知道了
×
提示
确定
请完成安全验证×
copy
已复制链接
快去分享给好友吧!
我知道了
右上角分享
点击右上角分享
0
联系我们:info@booksci.cn Book学术提供免费学术资源搜索服务,方便国内外学者检索中英文文献。致力于提供最便捷和优质的服务体验。 Copyright © 2023 布克学术 All rights reserved.
京ICP备2023020795号-1
ghs 京公网安备 11010802042870号
Book学术文献互助
Book学术文献互助群
群 号:604180095
Book学术官方微信