Fatal visceral disseminated varicella zoster virus infection during initial remission induction therapy in a patient with lupus nephritis: a case report and review of the literature.

IF 0.7 Q4 UROLOGY & NEPHROLOGY
CEN Case Reports Pub Date : 2025-06-01 Epub Date: 2024-12-12 DOI:10.1007/s13730-024-00950-7
Runa Takehara, Itaru Ebihara, Yoshifumi Honda, Norimasa Ooba, Hiromi Kurosawa, Chihiro Sato, Haruo Ohtani, Yutaka Tsutsumi, Masato Nose, Masaki Kobayashi
{"title":"Fatal visceral disseminated varicella zoster virus infection during initial remission induction therapy in a patient with lupus nephritis: a case report and review of the literature.","authors":"Runa Takehara, Itaru Ebihara, Yoshifumi Honda, Norimasa Ooba, Hiromi Kurosawa, Chihiro Sato, Haruo Ohtani, Yutaka Tsutsumi, Masato Nose, Masaki Kobayashi","doi":"10.1007/s13730-024-00950-7","DOIUrl":null,"url":null,"abstract":"<p><p>Visceral disseminated varicella zoster virus (VZV) infection is a severe complication, characterized by a notably high mortality rate. Herein, we present a case of a 36-year-old-man involving visceral disseminated VZV infection that emerged during remission induction therapy involving high-dose prednisolone (PSL), mycophenolate mofetil (MMF), and hydroxychloroquine for lupus nephritis. Two months after starting the immunosuppressive therapy, he experienced a rapid onset of severe upper abdominal pain. The following day, clinical manifestations and laboratory abnormalities rapidly deteriorated. Hyperferritinemia and hypertriglyceridemia, indicative of hemophagocytic lymphohistiocytosis (HLH), emerged, along with escalating liver and renal impairment and newly appeared disseminated intravascular coagulation, and multiple organ failure is suggested. The patient developed widespread blistering predominantly on the trunk and face, patient's condition failed to ameliorate, ultimately culminating in his demise a few hours later. At autopsy, the cutaneous lesions with blisters revealed positive immunostaining with anti-VZV antibody, and similar findings were detected in multiple organs. HLH was confirmed in lymph nodes. It is crucial to emphasize the awareness of visceral disseminated VZV, particularly in cases patients are undergoing concurrent PSL therapy alongside MMF for SLE. The progression of this fatal condition usually begins with abdominal pain, followed by a skin rash a few days later. The present case is the first to show evidence of HLH occurring as a result of visceral disseminated VZV infection. This disease is extremely rare but extremely serious, therefore, VZV-DNA should be measured in cases where you suspect this disease for early diagnosis and treatment.</p>","PeriodicalId":9697,"journal":{"name":"CEN Case Reports","volume":" ","pages":"477-485"},"PeriodicalIF":0.7000,"publicationDate":"2025-06-01","publicationTypes":"Journal Article","fieldsOfStudy":null,"isOpenAccess":false,"openAccessPdf":"https://www.ncbi.nlm.nih.gov/pmc/articles/PMC12126378/pdf/","citationCount":"0","resultStr":null,"platform":"Semanticscholar","paperid":null,"PeriodicalName":"CEN Case Reports","FirstCategoryId":"1085","ListUrlMain":"https://doi.org/10.1007/s13730-024-00950-7","RegionNum":0,"RegionCategory":null,"ArticlePicture":[],"TitleCN":null,"AbstractTextCN":null,"PMCID":null,"EPubDate":"2024/12/12 0:00:00","PubModel":"Epub","JCR":"Q4","JCRName":"UROLOGY & NEPHROLOGY","Score":null,"Total":0}
引用次数: 0

Abstract

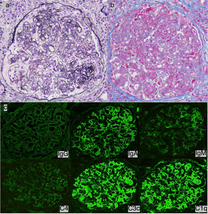
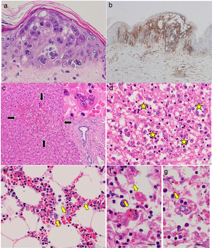
Visceral disseminated varicella zoster virus (VZV) infection is a severe complication, characterized by a notably high mortality rate. Herein, we present a case of a 36-year-old-man involving visceral disseminated VZV infection that emerged during remission induction therapy involving high-dose prednisolone (PSL), mycophenolate mofetil (MMF), and hydroxychloroquine for lupus nephritis. Two months after starting the immunosuppressive therapy, he experienced a rapid onset of severe upper abdominal pain. The following day, clinical manifestations and laboratory abnormalities rapidly deteriorated. Hyperferritinemia and hypertriglyceridemia, indicative of hemophagocytic lymphohistiocytosis (HLH), emerged, along with escalating liver and renal impairment and newly appeared disseminated intravascular coagulation, and multiple organ failure is suggested. The patient developed widespread blistering predominantly on the trunk and face, patient's condition failed to ameliorate, ultimately culminating in his demise a few hours later. At autopsy, the cutaneous lesions with blisters revealed positive immunostaining with anti-VZV antibody, and similar findings were detected in multiple organs. HLH was confirmed in lymph nodes. It is crucial to emphasize the awareness of visceral disseminated VZV, particularly in cases patients are undergoing concurrent PSL therapy alongside MMF for SLE. The progression of this fatal condition usually begins with abdominal pain, followed by a skin rash a few days later. The present case is the first to show evidence of HLH occurring as a result of visceral disseminated VZV infection. This disease is extremely rare but extremely serious, therefore, VZV-DNA should be measured in cases where you suspect this disease for early diagnosis and treatment.

Abstract Image

Abstract Image

Abstract Image

狼疮肾炎患者初始缓解诱导治疗期间致死性内脏弥散性水痘带状疱疹病毒感染:1例报告及文献回顾。
内脏播散性水痘带状疱疹病毒(VZV)感染是一种严重的并发症,其特点是死亡率很高。在此,我们报告了一例36岁的男性患者,在使用大剂量强的松龙(PSL)、霉酚酸酯(MMF)和羟氯喹治疗狼疮性肾炎的缓解诱导治疗期间出现内脏弥散性VZV感染。在开始免疫抑制治疗两个月后,他经历了剧烈的上腹部疼痛。第二天,临床表现和实验室异常迅速恶化。伴肝肾损害加重,新出现弥散性血管内凝血,出现噬血细胞淋巴组织细胞增多症(HLH)的高铁蛋白血症和高甘油三酯血症,提示多器官功能衰竭。患者出现大面积水泡,主要在躯干和面部,患者的病情未能改善,最终在几小时后死亡。尸检时,皮肤病变的水疱显示抗vzv抗体免疫染色阳性,并且在多个器官中检测到类似的结果。淋巴结证实HLH。强调对内脏弥散性VZV的认识是至关重要的,特别是在SLE患者同时接受PSL和MMF治疗的情况下。这种致命疾病的进展通常始于腹痛,几天后出现皮疹。本病例是第一个显示由内脏播散性VZV感染引起的HLH证据的病例。这种疾病非常罕见,但非常严重,因此,在怀疑这种疾病的情况下,应测量VZV-DNA,以便早期诊断和治疗。
本文章由计算机程序翻译,如有差异,请以英文原文为准。
求助全文
约1分钟内获得全文 求助全文
来源期刊
CEN Case Reports
CEN Case Reports UROLOGY & NEPHROLOGY-
CiteScore
1.90
自引率
0.00%
发文量
80
期刊介绍: Clinical and Experimental Nephrology (CEN) Case Reports is a peer-reviewed online-only journal, officially published biannually by the Japanese Society of Nephrology (JSN).  The journal publishes original case reports in nephrology and related areas.  The purpose of CEN Case Reports is to provide clinicians and researchers with a forum in which to disseminate their personal experience to a wide readership and to review interesting cases encountered by colleagues all over the world, from whom contributions are welcomed.
×
引用
GB/T 7714-2015
复制
MLA
复制
APA
复制
导出至
BibTeX EndNote RefMan NoteFirst NoteExpress
×
提示
您的信息不完整,为了账户安全,请先补充。
现在去补充
×
提示
您因"违规操作"
具体请查看互助需知
我知道了
×
提示
确定
请完成安全验证×
copy
已复制链接
快去分享给好友吧!
我知道了
右上角分享
点击右上角分享
0
联系我们:info@booksci.cn Book学术提供免费学术资源搜索服务,方便国内外学者检索中英文文献。致力于提供最便捷和优质的服务体验。 Copyright © 2023 布克学术 All rights reserved.
京ICP备2023020795号-1
ghs 京公网安备 11010802042870号
Book学术文献互助
Book学术文献互助群
群 号:604180095
Book学术官方微信