Mucoepidermoid carcinoma of unknown primary in the head and neck: a case report and review of the literature.

IF 0.8 4区 医学 Q3 OTORHINOLARYNGOLOGY
Kieran Chalmers, Phillip Staibano, Michael K Gupta, Michael Au
{"title":"Mucoepidermoid carcinoma of unknown primary in the head and neck: a case report and review of the literature.","authors":"Kieran Chalmers, Phillip Staibano, Michael K Gupta, Michael Au","doi":"10.1017/S0022215124002147","DOIUrl":null,"url":null,"abstract":"<p><strong>Objective: </strong>Mucoepidermoid carcinoma of unknown primary (MEC-UP) in the head and neck is a rare presentation of the most common salivary gland cancer. Cancers of unknown primary sites often have poorer prognoses than similar cancers with known primary. Few cases of MEC-UP have been reported; therefore, the objective of this report is an overview of the diagnosis and management of MEC-UP.</p><p><strong>Methods: </strong>We present two patients with low-grade MEC-UP at a high-volume tertiary care institution in Ontario, and a database search returning 1560 citations of which five studies with seven MEC-UP cases were identified.</p><p><strong>Results: </strong>Review of the limited cases suggest many clinicians use positron emission tomography-computed tomography (PET-CT) in addition to panendoscopy and targeted biopsies with consideration for diagnostic tonsillectomy in diagnostic work-up.</p><p><strong>Conclusion: </strong>Like other salivary gland cancers, primary therapeutic surgical resection is recommended with low threshold for adjuvant radiotherapy to regions at high risk for harbouring the primary malignancy, especially in cases of high-grade histopathology.</p>","PeriodicalId":16293,"journal":{"name":"Journal of Laryngology and Otology","volume":" ","pages":"521-525"},"PeriodicalIF":0.8000,"publicationDate":"2025-06-01","publicationTypes":"Journal Article","fieldsOfStudy":null,"isOpenAccess":false,"openAccessPdf":"https://www.ncbi.nlm.nih.gov/pmc/articles/PMC12303715/pdf/","citationCount":"0","resultStr":null,"platform":"Semanticscholar","paperid":null,"PeriodicalName":"Journal of Laryngology and Otology","FirstCategoryId":"3","ListUrlMain":"https://doi.org/10.1017/S0022215124002147","RegionNum":4,"RegionCategory":"医学","ArticlePicture":[],"TitleCN":null,"AbstractTextCN":null,"PMCID":null,"EPubDate":"","PubModel":"","JCR":"Q3","JCRName":"OTORHINOLARYNGOLOGY","Score":null,"Total":0}
引用次数: 0

Abstract

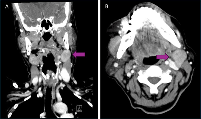
Objective: Mucoepidermoid carcinoma of unknown primary (MEC-UP) in the head and neck is a rare presentation of the most common salivary gland cancer. Cancers of unknown primary sites often have poorer prognoses than similar cancers with known primary. Few cases of MEC-UP have been reported; therefore, the objective of this report is an overview of the diagnosis and management of MEC-UP.

Methods: We present two patients with low-grade MEC-UP at a high-volume tertiary care institution in Ontario, and a database search returning 1560 citations of which five studies with seven MEC-UP cases were identified.

Results: Review of the limited cases suggest many clinicians use positron emission tomography-computed tomography (PET-CT) in addition to panendoscopy and targeted biopsies with consideration for diagnostic tonsillectomy in diagnostic work-up.

Conclusion: Like other salivary gland cancers, primary therapeutic surgical resection is recommended with low threshold for adjuvant radiotherapy to regions at high risk for harbouring the primary malignancy, especially in cases of high-grade histopathology.

Abstract Image

Abstract Image

Abstract Image

头颈部原发不明粘液表皮样癌1例报告及文献复习。
目的:头颈部未知原发粘液表皮样癌(MEC-UP)是一种罕见的涎腺癌。原发部位未知的癌症往往比原发部位已知的类似癌症预后差。很少有MEC-UP病例报告;因此,本报告的目的是对MEC-UP的诊断和管理进行概述。方法:我们在安大略省的一家高容量三级医疗机构中报道了两名低级别MEC-UP患者,并在数据库中检索了1560次引用,其中确定了5项研究和7例MEC-UP病例。结果:对有限病例的回顾表明,许多临床医生在诊断检查中除了使用全内窥镜检查和靶向活检外,还使用正电子发射断层扫描-计算机断层扫描(PET-CT),并考虑诊断扁桃体切除术。结论:与其他唾液腺癌一样,对于原发恶性肿瘤的高危区域,尤其是组织病理学高度分级的病例,建议采用低阈值的手术切除原发治疗性唾液腺癌。
本文章由计算机程序翻译,如有差异,请以英文原文为准。
求助全文
约1分钟内获得全文 求助全文
来源期刊
Journal of Laryngology and Otology
Journal of Laryngology and Otology 医学-耳鼻喉科学
CiteScore
3.20
自引率
11.80%
发文量
593
审稿时长
3-6 weeks
期刊介绍: The Journal of Laryngology & Otology (JLO) is a leading, monthly journal containing original scientific articles and clinical records in otology, rhinology, laryngology and related specialties. Founded in 1887, JLO is absorbing reading for ENT specialists and trainees. The journal has an international outlook with contributions from around the world, relevant to all specialists in this area regardless of the country in which they practise. JLO contains main articles (original, review and historical), case reports and short reports as well as radiology, pathology or oncology in focus, a selection of abstracts, book reviews, letters to the editor, general notes and calendar, operative surgery techniques, and occasional supplements. It is fully illustrated and has become a definitive reference source in this fast-moving subject area. Published monthly an annual subscription is excellent value for money. Included in the subscription is access to the JLO interactive web site with searchable abstract database of the journal archive back to 1887.
×
引用
GB/T 7714-2015
复制
MLA
复制
APA
复制
导出至
BibTeX EndNote RefMan NoteFirst NoteExpress
×
提示
您的信息不完整,为了账户安全,请先补充。
现在去补充
×
提示
您因"违规操作"
具体请查看互助需知
我知道了
×
提示
确定
请完成安全验证×
copy
已复制链接
快去分享给好友吧!
我知道了
右上角分享
点击右上角分享
0
联系我们:info@booksci.cn Book学术提供免费学术资源搜索服务,方便国内外学者检索中英文文献。致力于提供最便捷和优质的服务体验。 Copyright © 2023 布克学术 All rights reserved.
京ICP备2023020795号-1
ghs 京公网安备 11010802042870号
Book学术文献互助
Book学术文献互助群
群 号:604180095
Book学术官方微信