Severe influenza A viral pneumonia in a hemodialysis patient: successful treatment with steroid pulse therapy.

IF 0.7 Q4 UROLOGY & NEPHROLOGY
CEN Case Reports Pub Date : 2025-08-01 Epub Date: 2024-12-11 DOI:10.1007/s13730-024-00951-6
Hiroki Ito, Sadatoshi Ito, Takuo Hirose, Tomoyoshi Kimura, Takefumi Mori, Sadayoshi Ito
{"title":"Severe influenza A viral pneumonia in a hemodialysis patient: successful treatment with steroid pulse therapy.","authors":"Hiroki Ito, Sadatoshi Ito, Takuo Hirose, Tomoyoshi Kimura, Takefumi Mori, Sadayoshi Ito","doi":"10.1007/s13730-024-00951-6","DOIUrl":null,"url":null,"abstract":"<p><p>Seasonal influenza is prevalent globally, particularly during winter months. It is well documented that this disease causes severe, often fatal complications in hemodialysis patients. While numerous reports have focused on novel influenza viruses, there is a paucity of case reports detailing seasonal influenza viral infections in this patient population. This case presents a 71-year-old male undergoing hemodialysis who developed severe seasonal influenza A pneumonia despite receiving the influenza vaccine and early antiviral treatment. Initially presenting with fever, cough, and myalgia, the patient was diagnosed with influenza A virus infection and hospitalized due to heightened risk associated with dialysis and an elevated inflammatory response. Despite treatment with two different antiviral medications, his condition deteriorated, leading to ARDS (acute respiratory distress syndrome). The administration of steroid pulse therapy resulted in significant clinical improvement. This case underscores the severe nature of influenza virus-related illnesses in dialysis patients, even with vaccination and early antiviral intervention. It also suggests the potential benefit of early steroid pulse therapy in managing severe influenza pneumonia in high-risk individuals.</p>","PeriodicalId":9697,"journal":{"name":"CEN Case Reports","volume":" ","pages":"542-546"},"PeriodicalIF":0.7000,"publicationDate":"2025-08-01","publicationTypes":"Journal Article","fieldsOfStudy":null,"isOpenAccess":false,"openAccessPdf":"https://www.ncbi.nlm.nih.gov/pmc/articles/PMC12307254/pdf/","citationCount":"0","resultStr":null,"platform":"Semanticscholar","paperid":null,"PeriodicalName":"CEN Case Reports","FirstCategoryId":"1085","ListUrlMain":"https://doi.org/10.1007/s13730-024-00951-6","RegionNum":0,"RegionCategory":null,"ArticlePicture":[],"TitleCN":null,"AbstractTextCN":null,"PMCID":null,"EPubDate":"2024/12/11 0:00:00","PubModel":"Epub","JCR":"Q4","JCRName":"UROLOGY & NEPHROLOGY","Score":null,"Total":0}
引用次数: 0

Abstract

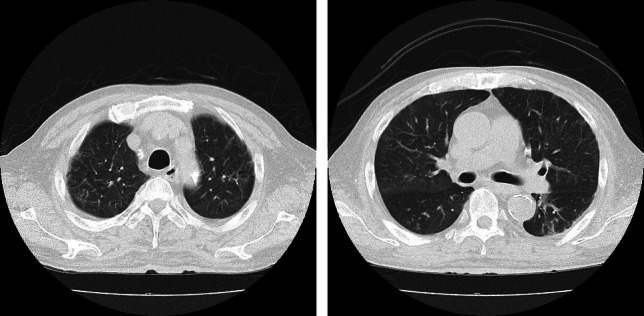
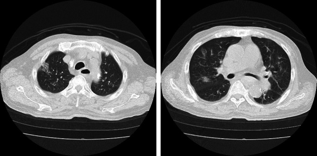
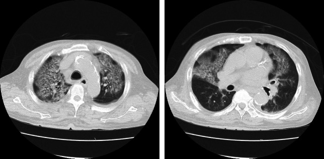
Seasonal influenza is prevalent globally, particularly during winter months. It is well documented that this disease causes severe, often fatal complications in hemodialysis patients. While numerous reports have focused on novel influenza viruses, there is a paucity of case reports detailing seasonal influenza viral infections in this patient population. This case presents a 71-year-old male undergoing hemodialysis who developed severe seasonal influenza A pneumonia despite receiving the influenza vaccine and early antiviral treatment. Initially presenting with fever, cough, and myalgia, the patient was diagnosed with influenza A virus infection and hospitalized due to heightened risk associated with dialysis and an elevated inflammatory response. Despite treatment with two different antiviral medications, his condition deteriorated, leading to ARDS (acute respiratory distress syndrome). The administration of steroid pulse therapy resulted in significant clinical improvement. This case underscores the severe nature of influenza virus-related illnesses in dialysis patients, even with vaccination and early antiviral intervention. It also suggests the potential benefit of early steroid pulse therapy in managing severe influenza pneumonia in high-risk individuals.

Abstract Image

Abstract Image

Abstract Image

血液透析患者的严重甲型流感病毒性肺炎:类固醇脉冲治疗的成功治疗。
季节性流感在全球流行,特别是在冬季。有充分的证据表明,这种疾病在血液透析患者中引起严重的,往往是致命的并发症。虽然许多报告侧重于新型流感病毒,但详细说明这一患者群体中季节性流感病毒感染的病例报告很少。本病例是一名接受血液透析的71岁男性,尽管接受了流感疫苗和早期抗病毒治疗,但仍发生了严重的季节性甲型流感肺炎。最初表现为发烧、咳嗽和肌痛,患者被诊断为甲型流感病毒感染,并因透析相关风险增加和炎症反应升高而住院。尽管接受了两种不同的抗病毒药物治疗,他的病情恶化,导致急性呼吸窘迫综合征(ARDS)。类固醇脉冲治疗导致显著的临床改善。这一病例强调了透析患者中流感病毒相关疾病的严重性,即使有疫苗接种和早期抗病毒干预。这也提示了早期类固醇脉冲治疗在高危人群中治疗严重流感肺炎的潜在益处。
本文章由计算机程序翻译,如有差异,请以英文原文为准。
求助全文
约1分钟内获得全文 求助全文
来源期刊
CEN Case Reports
CEN Case Reports UROLOGY & NEPHROLOGY-
CiteScore
1.90
自引率
0.00%
发文量
80
期刊介绍: Clinical and Experimental Nephrology (CEN) Case Reports is a peer-reviewed online-only journal, officially published biannually by the Japanese Society of Nephrology (JSN).  The journal publishes original case reports in nephrology and related areas.  The purpose of CEN Case Reports is to provide clinicians and researchers with a forum in which to disseminate their personal experience to a wide readership and to review interesting cases encountered by colleagues all over the world, from whom contributions are welcomed.
×
引用
GB/T 7714-2015
复制
MLA
复制
APA
复制
导出至
BibTeX EndNote RefMan NoteFirst NoteExpress
×
提示
您的信息不完整,为了账户安全,请先补充。
现在去补充
×
提示
您因"违规操作"
具体请查看互助需知
我知道了
×
提示
确定
请完成安全验证×
copy
已复制链接
快去分享给好友吧!
我知道了
右上角分享
点击右上角分享
0
联系我们:info@booksci.cn Book学术提供免费学术资源搜索服务,方便国内外学者检索中英文文献。致力于提供最便捷和优质的服务体验。 Copyright © 2023 布克学术 All rights reserved.
京ICP备2023020795号-1
ghs 京公网安备 11010802042870号
Book学术文献互助
Book学术文献互助群
群 号:604180095
Book学术官方微信