Microscopic polyangiitis in pediatric systemic lupus erythematosus: a unique presentation of pulmonary-renal syndrome and case report of an overlap syndrome.

IF 0.7 Q4 UROLOGY & NEPHROLOGY
CEN Case Reports Pub Date : 2025-08-01 Epub Date: 2024-12-11 DOI:10.1007/s13730-024-00949-0
Chen-Xing Zhang, Lei Yin, You-Ying Mao, Zheng-Yu Zhou, Wei Zhou
{"title":"Microscopic polyangiitis in pediatric systemic lupus erythematosus: a unique presentation of pulmonary-renal syndrome and case report of an overlap syndrome.","authors":"Chen-Xing Zhang, Lei Yin, You-Ying Mao, Zheng-Yu Zhou, Wei Zhou","doi":"10.1007/s13730-024-00949-0","DOIUrl":null,"url":null,"abstract":"<p><p>Secondary vasculitis is encountered in about one-third of all cases of systemic lupus erythematosus (SLE). Skin is most commonly involved in lupus-related small vasculitis. Although antineutrophil cytoplasmic autoantibodies (ANCA) associated vasculitis (AAV) is relatively uncommon, it can be the most dangerous manifestation associated with high mortality. SLE and AAV are separate diseases with different pathophysiologies and an overlap syndrome has only been reported a few times in previous literature. We present a unique case of a pediatric patient of pulmonary-renal syndrome, presenting with pulmonary alveolar hemorrhage and rapidly progressive glomerulonephritis. Serological and biopsy findings were suggestive of SLE and AAV occurring, simultaneously. Renal biopsy demonstrated necrotizing and crescentic glomerulonephritis, superimposed on diffuse segmental proliferative lupus glomerulonephritis class IV. The presentations of autoimmune diseases and vasculitis can be multi-systemic. Considering overlap syndromes, especially in patients with underlying connective tissue disease or systemic vasculitis, is vital for prompt therapy and prevention of morbidity in this population.</p>","PeriodicalId":9697,"journal":{"name":"CEN Case Reports","volume":" ","pages":"534-541"},"PeriodicalIF":0.7000,"publicationDate":"2025-08-01","publicationTypes":"Journal Article","fieldsOfStudy":null,"isOpenAccess":false,"openAccessPdf":"https://www.ncbi.nlm.nih.gov/pmc/articles/PMC12307265/pdf/","citationCount":"0","resultStr":null,"platform":"Semanticscholar","paperid":null,"PeriodicalName":"CEN Case Reports","FirstCategoryId":"1085","ListUrlMain":"https://doi.org/10.1007/s13730-024-00949-0","RegionNum":0,"RegionCategory":null,"ArticlePicture":[],"TitleCN":null,"AbstractTextCN":null,"PMCID":null,"EPubDate":"2024/12/11 0:00:00","PubModel":"Epub","JCR":"Q4","JCRName":"UROLOGY & NEPHROLOGY","Score":null,"Total":0}
引用次数: 0

Abstract

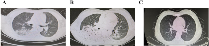
Secondary vasculitis is encountered in about one-third of all cases of systemic lupus erythematosus (SLE). Skin is most commonly involved in lupus-related small vasculitis. Although antineutrophil cytoplasmic autoantibodies (ANCA) associated vasculitis (AAV) is relatively uncommon, it can be the most dangerous manifestation associated with high mortality. SLE and AAV are separate diseases with different pathophysiologies and an overlap syndrome has only been reported a few times in previous literature. We present a unique case of a pediatric patient of pulmonary-renal syndrome, presenting with pulmonary alveolar hemorrhage and rapidly progressive glomerulonephritis. Serological and biopsy findings were suggestive of SLE and AAV occurring, simultaneously. Renal biopsy demonstrated necrotizing and crescentic glomerulonephritis, superimposed on diffuse segmental proliferative lupus glomerulonephritis class IV. The presentations of autoimmune diseases and vasculitis can be multi-systemic. Considering overlap syndromes, especially in patients with underlying connective tissue disease or systemic vasculitis, is vital for prompt therapy and prevention of morbidity in this population.

Abstract Image

小儿系统性红斑狼疮的显微镜下多血管炎:肺肾综合征的独特表现和重叠综合征的病例报告。
继发性血管炎在所有系统性红斑狼疮(SLE)病例中约占三分之一。皮肤最常涉及红斑狼疮相关的小血管炎。虽然抗中性粒细胞胞浆自身抗体(ANCA)相关血管炎(AAV)相对罕见,但它可能是与高死亡率相关的最危险的表现。SLE和AAV是不同病理生理的独立疾病,重叠综合征在以往文献中仅报道过几次。我们报告一例独特的小儿肺肾综合征患者,表现为肺泡出血和快速进展的肾小球肾炎。血清学和活检结果提示SLE和AAV同时发生。肾活检显示坏死性和新月形肾小球肾炎,并伴有弥漫性节段性增殖性狼疮肾小球肾炎IV级。自身免疫性疾病和血管炎的表现可以是多系统的。考虑重叠综合征,特别是潜在结缔组织疾病或全身性血管炎患者,对于这一人群的及时治疗和预防发病率至关重要。
本文章由计算机程序翻译,如有差异,请以英文原文为准。
求助全文
约1分钟内获得全文 求助全文
来源期刊
CEN Case Reports
CEN Case Reports UROLOGY & NEPHROLOGY-
CiteScore
1.90
自引率
0.00%
发文量
80
期刊介绍: Clinical and Experimental Nephrology (CEN) Case Reports is a peer-reviewed online-only journal, officially published biannually by the Japanese Society of Nephrology (JSN).  The journal publishes original case reports in nephrology and related areas.  The purpose of CEN Case Reports is to provide clinicians and researchers with a forum in which to disseminate their personal experience to a wide readership and to review interesting cases encountered by colleagues all over the world, from whom contributions are welcomed.
×
引用
GB/T 7714-2015
复制
MLA
复制
APA
复制
导出至
BibTeX EndNote RefMan NoteFirst NoteExpress
×
提示
您的信息不完整,为了账户安全,请先补充。
现在去补充
×
提示
您因"违规操作"
具体请查看互助需知
我知道了
×
提示
确定
请完成安全验证×
copy
已复制链接
快去分享给好友吧!
我知道了
右上角分享
点击右上角分享
0
联系我们:info@booksci.cn Book学术提供免费学术资源搜索服务,方便国内外学者检索中英文文献。致力于提供最便捷和优质的服务体验。 Copyright © 2023 布克学术 All rights reserved.
京ICP备2023020795号-1
ghs 京公网安备 11010802042870号
Book学术文献互助
Book学术文献互助群
群 号:604180095
Book学术官方微信