Vena cava and renal vein thrombosis with pheochromocytoma: A case report.

IF 0.9
Northern clinics of Istanbul Pub Date : 2024-11-22 eCollection Date: 2024-01-01 DOI:10.14744/nci.2023.58997
Ramazan Gundogdu, Kenan Caliskan, Ufuk Uylas, Nazim Emrah Kocer
{"title":"Vena cava and renal vein thrombosis with pheochromocytoma: A case report.","authors":"Ramazan Gundogdu, Kenan Caliskan, Ufuk Uylas, Nazim Emrah Kocer","doi":"10.14744/nci.2023.58997","DOIUrl":null,"url":null,"abstract":"<p><p>Pheochromocytomas are potentially malignant and may manifest with vascular thrombi. We present the treatment of a patient with pheochromocytoma and tumor thrombosis of the renal vein and inferior vena cava. A thirty-eight-year-old male patient was admitted complaining of abdominal pain and headache. High levels of urinary catecholamine were detected. Magnetic resonance imaging revealed left pheochromocytoma with thrombosis of the inferior vena cava and the left renal vein. A left adrenalectomy and a thrombectomy with cavotomy were performed. The pathology results reported a 9.5 cm malignant pheochromocytoma. The patient's symptoms dissipated after the operation and there were no signs of recurrence at the two-month follow-up. Preoperative radiological diagnostic examinations are valuable in the planning of pheochromocytoma surgery. We believe that adrenalectomy and thrombectomy can be performed on pheochromocytoma patients with vascular thrombi with low morbidity.</p>","PeriodicalId":94347,"journal":{"name":"Northern clinics of Istanbul","volume":"11 6","pages":"583-585"},"PeriodicalIF":0.9000,"publicationDate":"2024-11-22","publicationTypes":"Journal Article","fieldsOfStudy":null,"isOpenAccess":false,"openAccessPdf":"https://www.ncbi.nlm.nih.gov/pmc/articles/PMC11622754/pdf/","citationCount":"0","resultStr":null,"platform":"Semanticscholar","paperid":null,"PeriodicalName":"Northern clinics of Istanbul","FirstCategoryId":"1085","ListUrlMain":"https://doi.org/10.14744/nci.2023.58997","RegionNum":0,"RegionCategory":null,"ArticlePicture":[],"TitleCN":null,"AbstractTextCN":null,"PMCID":null,"EPubDate":"2024/1/1 0:00:00","PubModel":"eCollection","JCR":"","JCRName":"","Score":null,"Total":0}
引用次数: 0

Abstract

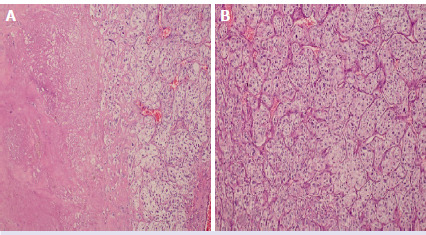
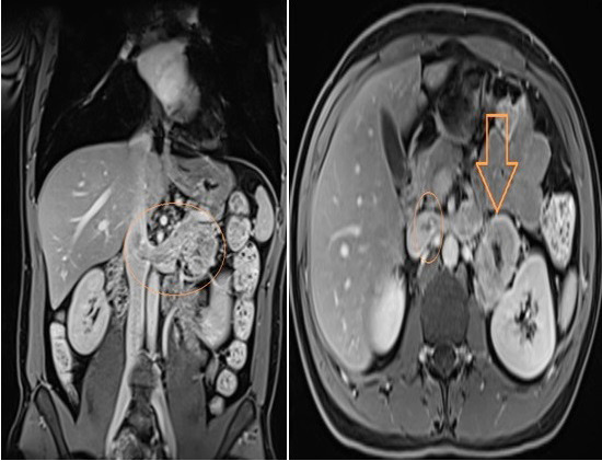
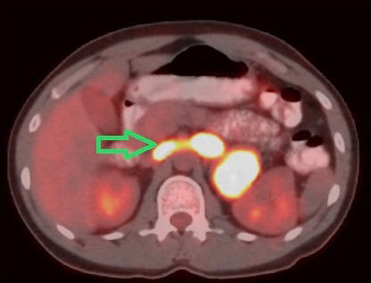
Pheochromocytomas are potentially malignant and may manifest with vascular thrombi. We present the treatment of a patient with pheochromocytoma and tumor thrombosis of the renal vein and inferior vena cava. A thirty-eight-year-old male patient was admitted complaining of abdominal pain and headache. High levels of urinary catecholamine were detected. Magnetic resonance imaging revealed left pheochromocytoma with thrombosis of the inferior vena cava and the left renal vein. A left adrenalectomy and a thrombectomy with cavotomy were performed. The pathology results reported a 9.5 cm malignant pheochromocytoma. The patient's symptoms dissipated after the operation and there were no signs of recurrence at the two-month follow-up. Preoperative radiological diagnostic examinations are valuable in the planning of pheochromocytoma surgery. We believe that adrenalectomy and thrombectomy can be performed on pheochromocytoma patients with vascular thrombi with low morbidity.

Abstract Image

Abstract Image

Abstract Image

嗜铬细胞瘤并发腔静脉及肾静脉血栓1例。
嗜铬细胞瘤是潜在的恶性肿瘤,可能表现为血管血栓。我们报告一例嗜铬细胞瘤合并肾静脉及下腔静脉肿瘤血栓的治疗。一名三十八岁男性病人入院,主诉腹痛及头痛。尿中儿茶酚胺含量高。磁共振显示左侧嗜铬细胞瘤伴下腔静脉及左肾静脉血栓形成。行左肾上腺切除术和血栓切除伴腔腔切除术。病理结果为9.5 cm恶性嗜铬细胞瘤。术后患者症状消失,随访2个月无复发迹象。术前放射诊断检查对嗜铬细胞瘤手术的规划是有价值的。我们认为肾上腺切除术和血栓切除术可用于低发病率的嗜铬细胞瘤血管血栓患者。
本文章由计算机程序翻译,如有差异,请以英文原文为准。
求助全文
约1分钟内获得全文 求助全文
来源期刊
自引率
0.00%
发文量
0
×
引用
GB/T 7714-2015
复制
MLA
复制
APA
复制
导出至
BibTeX EndNote RefMan NoteFirst NoteExpress
×
提示
您的信息不完整,为了账户安全,请先补充。
现在去补充
×
提示
您因"违规操作"
具体请查看互助需知
我知道了
×
提示
确定
请完成安全验证×
copy
已复制链接
快去分享给好友吧!
我知道了
右上角分享
点击右上角分享
0
联系我们:info@booksci.cn Book学术提供免费学术资源搜索服务,方便国内外学者检索中英文文献。致力于提供最便捷和优质的服务体验。 Copyright © 2023 布克学术 All rights reserved.
京ICP备2023020795号-1
ghs 京公网安备 11010802042870号
Book学术文献互助
Book学术文献互助群
群 号:604180095
Book学术官方微信