The evaluation of cyclin D1 expression in prostate carcinoma cases.

IF 0.9
Northern clinics of Istanbul Pub Date : 2024-11-13 eCollection Date: 2024-01-01 DOI:10.14744/nci.2023.79735
Asude Aksoy, Selcen Vicdanli, Gokhan Artas
{"title":"The evaluation of cyclin D1 expression in prostate carcinoma cases.","authors":"Asude Aksoy, Selcen Vicdanli, Gokhan Artas","doi":"10.14744/nci.2023.79735","DOIUrl":null,"url":null,"abstract":"<p><strong>Objective: </strong>Cyclin D1 (CDDN1) is an important protein for mitotic cell cycle advancement through the G1 phase and contributes to the control of the cyclin-dependent kinases CDK4 and CDK6. We evaluated the relationship between CDDN1 expression and clinicopathological features in prostate cancer (PCa) cases and whether CDDN1 could be used as a prognostic biomarker for PCa cases in this study.</p><p><strong>Methods: </strong>This study comprised ninety cases; seventy-five had PCa and fifteen had benign prostatic hypertrophy (BPH) diagnoses (as the control group). The pathological specimens were stained immunohistochemically and categorized as a 'low' (L) or a 'high' (H) group for CDDN1 expression. The cases' clinicopathological features and survival rates were evaluated statistically, within a 95% confidence interval, p<0.05, retrospectively.</p><p><strong>Results: </strong>The median follow-up time was 75 (17-96) months, and the median overall survival (OS) was 87 months (CI 95%: 74.74-99.25). While the OS was 66 months (CI 95%: 49.61-82.38) in the H-CDDN1 group, the OS of the L-CDDN1 group was not yet reached. The OS of the L-CDDN1 group was longer in statistical significance (p=0.011). A Cox regression analysis revealed that the levels of CDDN1 expression, the values of lactate dehydrogenase, and post-treatment prostate specific antigen were found to be prognostic factors for OS in PCa cases (p<0.05).</p><p><strong>Conclusion: </strong>Our results suggest the overexpression of CDDN1 is a potentially useful but poor prognostic biomarker for PCa cases.</p>","PeriodicalId":94347,"journal":{"name":"Northern clinics of Istanbul","volume":"11 6","pages":"534-540"},"PeriodicalIF":0.9000,"publicationDate":"2024-11-13","publicationTypes":"Journal Article","fieldsOfStudy":null,"isOpenAccess":false,"openAccessPdf":"https://www.ncbi.nlm.nih.gov/pmc/articles/PMC11622750/pdf/","citationCount":"0","resultStr":null,"platform":"Semanticscholar","paperid":null,"PeriodicalName":"Northern clinics of Istanbul","FirstCategoryId":"1085","ListUrlMain":"https://doi.org/10.14744/nci.2023.79735","RegionNum":0,"RegionCategory":null,"ArticlePicture":[],"TitleCN":null,"AbstractTextCN":null,"PMCID":null,"EPubDate":"2024/1/1 0:00:00","PubModel":"eCollection","JCR":"","JCRName":"","Score":null,"Total":0}
引用次数: 0

Abstract

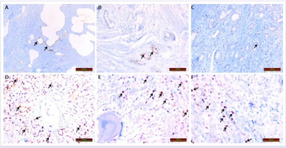
Objective: Cyclin D1 (CDDN1) is an important protein for mitotic cell cycle advancement through the G1 phase and contributes to the control of the cyclin-dependent kinases CDK4 and CDK6. We evaluated the relationship between CDDN1 expression and clinicopathological features in prostate cancer (PCa) cases and whether CDDN1 could be used as a prognostic biomarker for PCa cases in this study.

Methods: This study comprised ninety cases; seventy-five had PCa and fifteen had benign prostatic hypertrophy (BPH) diagnoses (as the control group). The pathological specimens were stained immunohistochemically and categorized as a 'low' (L) or a 'high' (H) group for CDDN1 expression. The cases' clinicopathological features and survival rates were evaluated statistically, within a 95% confidence interval, p<0.05, retrospectively.

Results: The median follow-up time was 75 (17-96) months, and the median overall survival (OS) was 87 months (CI 95%: 74.74-99.25). While the OS was 66 months (CI 95%: 49.61-82.38) in the H-CDDN1 group, the OS of the L-CDDN1 group was not yet reached. The OS of the L-CDDN1 group was longer in statistical significance (p=0.011). A Cox regression analysis revealed that the levels of CDDN1 expression, the values of lactate dehydrogenase, and post-treatment prostate specific antigen were found to be prognostic factors for OS in PCa cases (p<0.05).

Conclusion: Our results suggest the overexpression of CDDN1 is a potentially useful but poor prognostic biomarker for PCa cases.

Abstract Image

Abstract Image

前列腺癌细胞周期蛋白D1表达的评价。
目的:细胞周期蛋白D1 (Cyclin D1, CDDN1)是有丝分裂细胞G1期周期推进的重要蛋白,参与细胞周期蛋白依赖性激酶CDK4和CDK6的调控。在本研究中,我们评估了前列腺癌(PCa)病例中CDDN1表达与临床病理特征之间的关系,以及CDDN1是否可以作为前列腺癌病例的预后生物标志物。方法:本研究纳入90例病例;75例为前列腺癌,15例为良性前列腺肥大(BPH)(对照组)。病理标本进行免疫组织化学染色,并将CDDN1表达分为“低”(L)或“高”(H)组。结果:中位随访时间为75(17-96)个月,中位总生存期(OS)为87个月(CI 95%: 74.74 ~ 99.25)。H-CDDN1组的生存期为66个月(CI 95%: 49.61 ~ 82.38),而L-CDDN1组的生存期尚未达到。L-CDDN1组的OS更长,差异有统计学意义(p=0.011)。Cox回归分析显示,CDDN1的表达水平、乳酸脱氢酶的值和治疗后前列腺特异性抗原被发现是前列腺癌患者OS的预后因素(结论:我们的研究结果表明,CDDN1的过表达是前列腺癌患者潜在有用但预后不良的生物标志物。
本文章由计算机程序翻译,如有差异,请以英文原文为准。
求助全文
约1分钟内获得全文 求助全文
来源期刊
自引率
0.00%
发文量
0
×
引用
GB/T 7714-2015
复制
MLA
复制
APA
复制
导出至
BibTeX EndNote RefMan NoteFirst NoteExpress
×
提示
您的信息不完整,为了账户安全,请先补充。
现在去补充
×
提示
您因"违规操作"
具体请查看互助需知
我知道了
×
提示
确定
请完成安全验证×
copy
已复制链接
快去分享给好友吧!
我知道了
右上角分享
点击右上角分享
0
联系我们:info@booksci.cn Book学术提供免费学术资源搜索服务,方便国内外学者检索中英文文献。致力于提供最便捷和优质的服务体验。 Copyright © 2023 布克学术 All rights reserved.
京ICP备2023020795号-1
ghs 京公网安备 11010802042870号
Book学术文献互助
Book学术文献互助群
群 号:604180095
Book学术官方微信