A Round Ligament Mesothelial Cyst Imitating an Inguinal Hernia in a Woman of Reproductive Age.

Q3 Medicine
Christos Vrysis, Vasileios Gkatziolis, Nicole Demetriou, Konstantinos Geroulis, Rodanthi Mastrogianni, Alexandros Dais, Dimitrios Giovanitis, Marios Ponirakos, Konstantinos Papadimitropoulos
{"title":"A Round Ligament Mesothelial Cyst Imitating an Inguinal Hernia in a Woman of Reproductive Age.","authors":"Christos Vrysis, Vasileios Gkatziolis, Nicole Demetriou, Konstantinos Geroulis, Rodanthi Mastrogianni, Alexandros Dais, Dimitrios Giovanitis, Marios Ponirakos, Konstantinos Papadimitropoulos","doi":"10.5644/ama2006-124.455","DOIUrl":null,"url":null,"abstract":"<p><strong>Objective: </strong>A wide range of lesions, including a mesothelial cyst of the uterine round ligament, are included in the differential diagnosis of a groin mass. Our study emphasizes the rarity of this ailment and the significance of correct preoperative diagnosis in guiding our treatment approach.</p><p><strong>Case report: </strong>A 43-year-old female patient, presented to our hospital with a five-year history of swelling and slight discomfort in the right groin. A nonreducible inguinal mass with greater projection during a Valsalva maneuver was found. An abdominal CT scan revealed a well-defined lesion located near the right horn of the uterus and extending through the inguinal canal. The patient was brought to the operating room with the clinical suspicion of an inguinal hernia. A soft mass measuring 4.5×2×1.8cm was discovered in the right round ligament, and it was surgically removed. Histopathological examination confirmed a mesothelial cystic lesion. The patient's condition, after a period of 12 months, continues to be satisfactory.</p><p><strong>Conclusion: </strong>Few cases of uterine round ligament mesothelial cysts have been reported worldwide. Their cause is unknown, and preoperative diagnosis is unreliable. Resection relieves symptoms, and histological examination of the surgical specimen confirms the diagnosis. Additional clinical cases are needed to create a systematic clinical approach.</p>","PeriodicalId":38313,"journal":{"name":"Acta medica academica","volume":" ","pages":"314-319"},"PeriodicalIF":0.0000,"publicationDate":"2024-12-01","publicationTypes":"Journal Article","fieldsOfStudy":null,"isOpenAccess":false,"openAccessPdf":"https://www.ncbi.nlm.nih.gov/pmc/articles/PMC11831546/pdf/","citationCount":"0","resultStr":null,"platform":"Semanticscholar","paperid":null,"PeriodicalName":"Acta medica academica","FirstCategoryId":"1085","ListUrlMain":"https://doi.org/10.5644/ama2006-124.455","RegionNum":0,"RegionCategory":null,"ArticlePicture":[],"TitleCN":null,"AbstractTextCN":null,"PMCID":null,"EPubDate":"","PubModel":"","JCR":"Q3","JCRName":"Medicine","Score":null,"Total":0}
引用次数: 0

Abstract

Objective: A wide range of lesions, including a mesothelial cyst of the uterine round ligament, are included in the differential diagnosis of a groin mass. Our study emphasizes the rarity of this ailment and the significance of correct preoperative diagnosis in guiding our treatment approach.

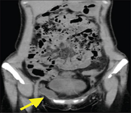
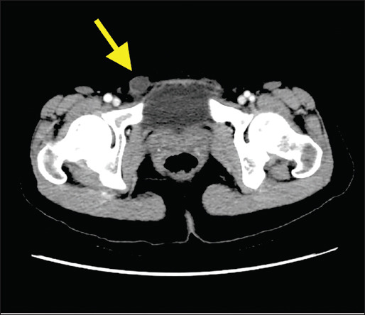
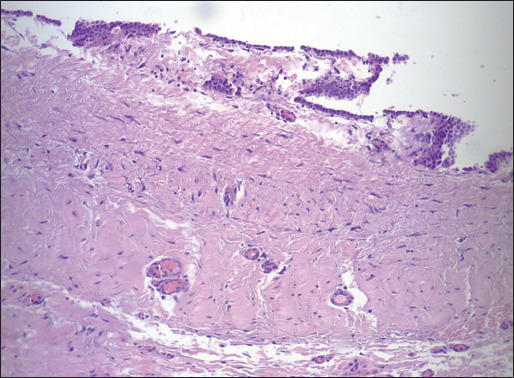
Case report: A 43-year-old female patient, presented to our hospital with a five-year history of swelling and slight discomfort in the right groin. A nonreducible inguinal mass with greater projection during a Valsalva maneuver was found. An abdominal CT scan revealed a well-defined lesion located near the right horn of the uterus and extending through the inguinal canal. The patient was brought to the operating room with the clinical suspicion of an inguinal hernia. A soft mass measuring 4.5×2×1.8cm was discovered in the right round ligament, and it was surgically removed. Histopathological examination confirmed a mesothelial cystic lesion. The patient's condition, after a period of 12 months, continues to be satisfactory.

Conclusion: Few cases of uterine round ligament mesothelial cysts have been reported worldwide. Their cause is unknown, and preoperative diagnosis is unreliable. Resection relieves symptoms, and histological examination of the surgical specimen confirms the diagnosis. Additional clinical cases are needed to create a systematic clinical approach.

Abstract Image

Abstract Image

Abstract Image

育龄妇女一例酷似腹股沟疝的圆韧带间皮囊肿。
目的:广泛的病变,包括子宫圆韧带间皮囊肿,包括在鉴别诊断腹股沟肿块。我们的研究强调了这种疾病的罕见性和正确的术前诊断对指导我们的治疗方法的重要性。病例报告:一名43岁的女性患者,以5年的右腹股沟肿胀和轻微不适来我院就诊。在Valsalva手术中发现了一个不可还原的腹股沟肿块。腹部CT扫描显示子宫右角附近有一个明确的病变,并穿过腹股沟管。患者因临床怀疑腹股沟疝而被送至手术室。在右侧圆形韧带中发现一个软性肿块,尺寸为4.5×2×1.8cm,并通过手术切除。组织病理学检查证实为间皮囊性病变。12个月后,病人的病情仍然令人满意。结论:子宫圆韧带间皮囊肿在国内外报道较少。病因不明,术前诊断也不可靠。切除可减轻症状,手术标本的组织学检查证实了诊断。需要更多的临床病例来创建系统的临床方法。
本文章由计算机程序翻译,如有差异,请以英文原文为准。
求助全文
约1分钟内获得全文 求助全文
来源期刊
Acta medica academica
Acta medica academica Medicine-Medicine (all)
CiteScore
1.90
自引率
0.00%
发文量
21
审稿时长
15 weeks
×
引用
GB/T 7714-2015
复制
MLA
复制
APA
复制
导出至
BibTeX EndNote RefMan NoteFirst NoteExpress
×
提示
您的信息不完整,为了账户安全,请先补充。
现在去补充
×
提示
您因"违规操作"
具体请查看互助需知
我知道了
×
提示
确定
请完成安全验证×
copy
已复制链接
快去分享给好友吧!
我知道了
右上角分享
点击右上角分享
0
联系我们:info@booksci.cn Book学术提供免费学术资源搜索服务,方便国内外学者检索中英文文献。致力于提供最便捷和优质的服务体验。 Copyright © 2023 布克学术 All rights reserved.
京ICP备2023020795号-1
ghs 京公网安备 11010802042870号
Book学术文献互助
Book学术文献互助群
群 号:604180095
Book学术官方微信