Transperineal Drainage of Seminal Vesicle Abscess Under Local Anaesthetic: A Case Report.

IF 2.7 Q2 UROLOGY & NEPHROLOGY
Research and Reports in Urology Pub Date : 2024-12-03 eCollection Date: 2024-01-01 DOI:10.2147/RRU.S499990
Ali Hooshyari, Flavio Vasconcelos Ordones, Lodewikus Petrus Vermeulen
{"title":"Transperineal Drainage of Seminal Vesicle Abscess Under Local Anaesthetic: A Case Report.","authors":"Ali Hooshyari, Flavio Vasconcelos Ordones, Lodewikus Petrus Vermeulen","doi":"10.2147/RRU.S499990","DOIUrl":null,"url":null,"abstract":"<p><p>A 44-year-old healthy Caucasian gentleman presented with fevers and right lower quadrant pain. He had mildly elevated inflammatory markers and computed tomography demonstrated cystic enlargement of the right seminal vesicle concerning for seminal vesicle abscess (SVA). SVA is a rare diagnosis and generally requires drainage for adequate source control. The patient was commenced on intravenous antibiotics and underwent uncomplicated transperineal drainage of seminal vesicle abscess under local anaesthetic. Urine culture confirmed infection with <i>Citrobacter koseri</i> and the patient was discharged on the first post-operative day with a 14-day course of oral co-trimoxazole. Six-week follow-up with multiparametric magnetic resonance imaging of the prostate shows no evidence of any prostatic lesions, prostatitis or recurrence of abscess.</p>","PeriodicalId":21008,"journal":{"name":"Research and Reports in Urology","volume":"16 ","pages":"337-341"},"PeriodicalIF":2.7000,"publicationDate":"2024-12-03","publicationTypes":"Journal Article","fieldsOfStudy":null,"isOpenAccess":false,"openAccessPdf":"https://www.ncbi.nlm.nih.gov/pmc/articles/PMC11624677/pdf/","citationCount":"0","resultStr":null,"platform":"Semanticscholar","paperid":null,"PeriodicalName":"Research and Reports in Urology","FirstCategoryId":"1085","ListUrlMain":"https://doi.org/10.2147/RRU.S499990","RegionNum":0,"RegionCategory":null,"ArticlePicture":[],"TitleCN":null,"AbstractTextCN":null,"PMCID":null,"EPubDate":"2024/1/1 0:00:00","PubModel":"eCollection","JCR":"Q2","JCRName":"UROLOGY & NEPHROLOGY","Score":null,"Total":0}
引用次数: 0

Abstract

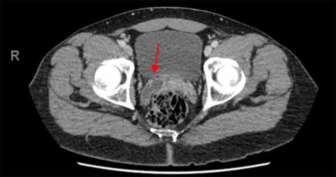
A 44-year-old healthy Caucasian gentleman presented with fevers and right lower quadrant pain. He had mildly elevated inflammatory markers and computed tomography demonstrated cystic enlargement of the right seminal vesicle concerning for seminal vesicle abscess (SVA). SVA is a rare diagnosis and generally requires drainage for adequate source control. The patient was commenced on intravenous antibiotics and underwent uncomplicated transperineal drainage of seminal vesicle abscess under local anaesthetic. Urine culture confirmed infection with Citrobacter koseri and the patient was discharged on the first post-operative day with a 14-day course of oral co-trimoxazole. Six-week follow-up with multiparametric magnetic resonance imaging of the prostate shows no evidence of any prostatic lesions, prostatitis or recurrence of abscess.

Abstract Image

Abstract Image

Abstract Image

局部麻醉下精囊脓肿经会阴引流1例。
一位44岁的健康白人男士,表现为发烧和右下腹疼痛。他有轻度升高的炎症标志物,计算机断层扫描显示右侧精囊囊性增大,涉及精囊脓肿(SVA)。SVA是一种罕见的诊断,通常需要引流以充分控制源头。患者开始静脉注射抗生素,并在局部麻醉下行简单的经会阴精囊脓肿引流术。尿培养证实感染克塞利柠檬酸杆菌,患者术后第一天出院,口服复方新诺明14天。6周的多参数磁共振摄护腺造影未发现任何前列腺病变、前列腺炎或脓肿复发。
本文章由计算机程序翻译,如有差异,请以英文原文为准。
求助全文
约1分钟内获得全文 求助全文
来源期刊
Research and Reports in Urology
Research and Reports in Urology UROLOGY & NEPHROLOGY-
CiteScore
3.40
自引率
0.00%
发文量
60
审稿时长
16 weeks
期刊介绍: Research and Reports in Urology is an international, peer-reviewed, open access, online journal. Publishing original research, reports, editorials, reviews and commentaries on all aspects of adult and pediatric urology in the clinic and laboratory including the following topics: Pathology, pathophysiology of urological disease Investigation and treatment of urological disease Pharmacology of drugs used for the treatment of urological disease Although the main focus of the journal is to publish research and clinical results in humans; preclinical, animal and in vitro studies will be published where they will shed light on disease processes and potential new therapies. Issues of patient safety and quality of care will also be considered.
×
引用
GB/T 7714-2015
复制
MLA
复制
APA
复制
导出至
BibTeX EndNote RefMan NoteFirst NoteExpress
×
提示
您的信息不完整,为了账户安全,请先补充。
现在去补充
×
提示
您因"违规操作"
具体请查看互助需知
我知道了
×
提示
确定
请完成安全验证×
copy
已复制链接
快去分享给好友吧!
我知道了
右上角分享
点击右上角分享
0
联系我们:info@booksci.cn Book学术提供免费学术资源搜索服务,方便国内外学者检索中英文文献。致力于提供最便捷和优质的服务体验。 Copyright © 2023 布克学术 All rights reserved.
京ICP备2023020795号-1
ghs 京公网安备 11010802042870号
Book学术文献互助
Book学术文献互助群
群 号:604180095
Book学术官方微信