An update of multimodal imaging in white dot syndrome.

Q3 Medicine
Oman Journal of Ophthalmology Pub Date : 2024-10-24 eCollection Date: 2024-09-01 DOI:10.4103/ojo.ojo_116_24
Ahana Sen, Chetan Rao, Jyotirmay Biswas
{"title":"An update of multimodal imaging in white dot syndrome.","authors":"Ahana Sen, Chetan Rao, Jyotirmay Biswas","doi":"10.4103/ojo.ojo_116_24","DOIUrl":null,"url":null,"abstract":"<p><p>The white dot syndromes are a group of phenotypically similar disorders characterized by multiple lesions at the level of the outer retina, retinal pigment epithelium, and choroid. Common white dot syndromes whose imaging modalities have been described in this article are multiple evanescent white dot syndrome, acute posterior multifocal placoid pigment epitheliopathy, acute zonal occult outer retinopathy, multifocal choroiditis and panuveitis, punctate inner choroidopathy, serpiginous choroiditis, and birdshot chorioretinopathy. The various imaging modalities help us to better understand the pathophysiology of the various entities and help in diagnosing, monitoring, and prognosticating them. Optical coherence tomography angiography (OCTA) is a comparatively newer tool that helps us to visualize lesions in the choroid that correlate with indocyanine green angiography (ICGA) findings. Even though it is of limited value and cannot replace ICGA, it had gained considerable interest among ophthalmologists. Similarly, the noninvasive nature of modalities such as fundus autofluorescence and OCT makes them appealing and preferable over invasive techniques such as fundus fluorescein angiography and ICGA.</p>","PeriodicalId":19461,"journal":{"name":"Oman Journal of Ophthalmology","volume":"17 3","pages":"325-333"},"PeriodicalIF":0.0000,"publicationDate":"2024-10-24","publicationTypes":"Journal Article","fieldsOfStudy":null,"isOpenAccess":false,"openAccessPdf":"https://www.ncbi.nlm.nih.gov/pmc/articles/PMC11620295/pdf/","citationCount":"0","resultStr":null,"platform":"Semanticscholar","paperid":null,"PeriodicalName":"Oman Journal of Ophthalmology","FirstCategoryId":"1085","ListUrlMain":"https://doi.org/10.4103/ojo.ojo_116_24","RegionNum":0,"RegionCategory":null,"ArticlePicture":[],"TitleCN":null,"AbstractTextCN":null,"PMCID":null,"EPubDate":"2024/9/1 0:00:00","PubModel":"eCollection","JCR":"Q3","JCRName":"Medicine","Score":null,"Total":0}
引用次数: 0

Abstract

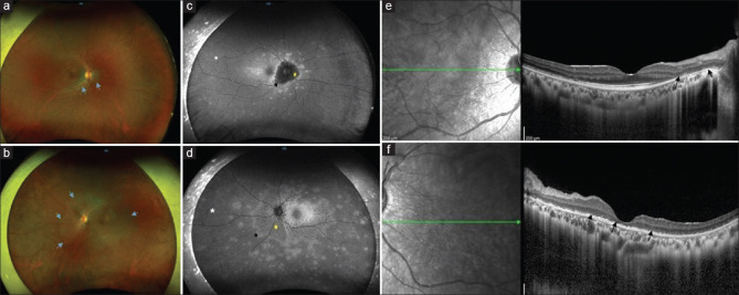
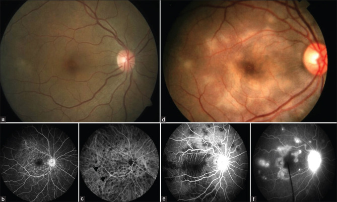
The white dot syndromes are a group of phenotypically similar disorders characterized by multiple lesions at the level of the outer retina, retinal pigment epithelium, and choroid. Common white dot syndromes whose imaging modalities have been described in this article are multiple evanescent white dot syndrome, acute posterior multifocal placoid pigment epitheliopathy, acute zonal occult outer retinopathy, multifocal choroiditis and panuveitis, punctate inner choroidopathy, serpiginous choroiditis, and birdshot chorioretinopathy. The various imaging modalities help us to better understand the pathophysiology of the various entities and help in diagnosing, monitoring, and prognosticating them. Optical coherence tomography angiography (OCTA) is a comparatively newer tool that helps us to visualize lesions in the choroid that correlate with indocyanine green angiography (ICGA) findings. Even though it is of limited value and cannot replace ICGA, it had gained considerable interest among ophthalmologists. Similarly, the noninvasive nature of modalities such as fundus autofluorescence and OCT makes them appealing and preferable over invasive techniques such as fundus fluorescein angiography and ICGA.

Abstract Image

Abstract Image

Abstract Image

白点综合征多模态影像学研究进展。
白点综合征是一组表型相似的疾病,其特征是外视网膜、视网膜色素上皮和脉络膜水平的多发性病变。本文所描述的常见白点综合征的影像学表现有多发性消失性白点综合征、急性后多发灶类胎盘色素上皮病、急性带状隐匿性外视网膜病变、多灶性脉络膜炎和全葡萄膜炎、点状内脉络膜病、蛇形脉络膜炎和鸟状脉络膜视网膜病。各种成像方式帮助我们更好地了解各种实体的病理生理学,并帮助诊断、监测和预测它们。光学相干断层血管造影(OCTA)是一种相对较新的工具,可以帮助我们可视化与吲哚菁绿血管造影(ICGA)结果相关的脉络膜病变。尽管它的价值有限,不能取代ICGA,但它已经引起了眼科医生的相当大的兴趣。类似地,眼底自身荧光和OCT等非侵入性技术使它们比眼底荧光素血管造影和ICGA等侵入性技术更有吸引力和可取。
本文章由计算机程序翻译,如有差异,请以英文原文为准。
求助全文
约1分钟内获得全文 求助全文
来源期刊
Oman Journal of Ophthalmology
Oman Journal of Ophthalmology Medicine-Ophthalmology
CiteScore
0.50
自引率
0.00%
发文量
68
审稿时长
50 weeks
期刊介绍: To provide a platform for scientific expression of the Oman Ophthalmic Society and the international Ophthalmic community and to provide opportunities for free exchange of ideas and information. To serve as a valuable resource for ophthalmologists, eye-care providers including optometrists, orthoptists, other health care professionals and research workers in all aspects of the field of visual science.
×
引用
GB/T 7714-2015
复制
MLA
复制
APA
复制
导出至
BibTeX EndNote RefMan NoteFirst NoteExpress
×
提示
您的信息不完整,为了账户安全,请先补充。
现在去补充
×
提示
您因"违规操作"
具体请查看互助需知
我知道了
×
提示
确定
请完成安全验证×
copy
已复制链接
快去分享给好友吧!
我知道了
右上角分享
点击右上角分享
0
联系我们:info@booksci.cn Book学术提供免费学术资源搜索服务,方便国内外学者检索中英文文献。致力于提供最便捷和优质的服务体验。 Copyright © 2023 布克学术 All rights reserved.
京ICP备2023020795号-1
ghs 京公网安备 11010802042870号
Book学术文献互助
Book学术文献互助群
群 号:604180095
Book学术官方微信