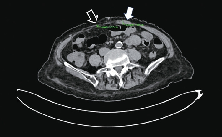
Muscle Dystonia Manifesting as Unilateral Rectus Abdominis Hypertrophy and Abdominal Pain in Parkinson's Disease: A Case Report.

IF 2.8 4区 医学 Q2 CLINICAL NEUROLOGY
Journal of Movement Disorders Pub Date : 2025-01-01 Epub Date: 2024-12-10 DOI:10.14802/jmd.24230
Chengjian Wu, Yanhui Meng, Ming Yang
{"title":"Muscle Dystonia Manifesting as Unilateral Rectus Abdominis Hypertrophy and Abdominal Pain in Parkinson's Disease: A Case Report.","authors":"Chengjian Wu, Yanhui Meng, Ming Yang","doi":"10.14802/jmd.24230","DOIUrl":null,"url":null,"abstract":"","PeriodicalId":16372,"journal":{"name":"Journal of Movement Disorders","volume":" ","pages":"108-110"},"PeriodicalIF":2.8000,"publicationDate":"2025-01-01","publicationTypes":"Journal Article","fieldsOfStudy":null,"isOpenAccess":false,"openAccessPdf":"https://www.ncbi.nlm.nih.gov/pmc/articles/PMC11824516/pdf/","citationCount":"0","resultStr":null,"platform":"Semanticscholar","paperid":null,"PeriodicalName":"Journal of Movement Disorders","FirstCategoryId":"3","ListUrlMain":"https://doi.org/10.14802/jmd.24230","RegionNum":4,"RegionCategory":"医学","ArticlePicture":[],"TitleCN":null,"AbstractTextCN":null,"PMCID":null,"EPubDate":"2024/12/10 0:00:00","PubModel":"Epub","JCR":"Q2","JCRName":"CLINICAL NEUROLOGY","Score":null,"Total":0}
引用次数: 0

Abstract Image

帕金森病患者单侧腹直肌肥大和腹痛表现为肌张力障碍1例报告。
本文章由计算机程序翻译,如有差异,请以英文原文为准。
求助全文
约1分钟内获得全文 求助全文
来源期刊
Journal of Movement Disorders
Journal of Movement Disorders CLINICAL NEUROLOGY-
CiteScore
2.50
自引率
5.10%
发文量
49
审稿时长
12 weeks
×
引用
GB/T 7714-2015
复制
MLA
复制
APA
复制
导出至
BibTeX EndNote RefMan NoteFirst NoteExpress
×
提示
您的信息不完整,为了账户安全,请先补充。
现在去补充
×
提示
您因"违规操作"
具体请查看互助需知
我知道了
×
提示
确定
请完成安全验证×
copy
已复制链接
快去分享给好友吧!
我知道了
右上角分享
点击右上角分享
0
联系我们:info@booksci.cn Book学术提供免费学术资源搜索服务,方便国内外学者检索中英文文献。致力于提供最便捷和优质的服务体验。 Copyright © 2023 布克学术 All rights reserved.
京ICP备2023020795号-1
ghs 京公网安备 11010802042870号
Book学术文献互助
Book学术文献互助群
群 号:604180095
Book学术官方微信