Giant Soft Tissue Hemangioma of the Neck with Laryngeal Extension.

Q3 Medicine
Martha Lucía Gutiérrez Pérez, María José Abuchar-Duque, Daniel Ruiz-Manco, Jose Jorge Maya-Gómez, Valeria Del Castillo Herazo, Andrés Felipe Herrera-Ortíz, Nathalia Andrea Sánchez-Burbano
{"title":"Giant Soft Tissue Hemangioma of the Neck with Laryngeal Extension.","authors":"Martha Lucía Gutiérrez Pérez, María José Abuchar-Duque, Daniel Ruiz-Manco, Jose Jorge Maya-Gómez, Valeria Del Castillo Herazo, Andrés Felipe Herrera-Ortíz, Nathalia Andrea Sánchez-Burbano","doi":"10.22038/ijorl.2024.75038.3519","DOIUrl":null,"url":null,"abstract":"<p><strong>Introduction: </strong>Soft tissue hemangiomas are among the most prevalent soft tissue tumors and can pose diagnostic challenges due to their propensity to extend into various regions. In our case, imaging studies facilitated effective characterization of the mass, and timely intervention with sclerotherapy enabled adequate initial control of the lesion. Subsequently, medical management with propranolol and a second scheduled surgical intervention with sclerotherapy contributed to a reduction in the lesion size, alleviation of symptoms, and improvement in prognosis.</p><p><strong>Case report: </strong>We present a rare case of a giant cervical soft tissue hemangioma with laryngeal extension in an adult female, initially misdiagnosed as a primary laryngeal hemangioma. This case underscores the critical role of diagnostic imaging in assessing the extent of these vascular tumors.</p><p><strong>Conclusions: </strong>A thorough assessment of the suspected site, as well as the entire head, neck, and chest, should be conducted for all patients with suspected hemangiomas.</p>","PeriodicalId":14607,"journal":{"name":"Iranian Journal of Otorhinolaryngology","volume":"36 6","pages":"681-685"},"PeriodicalIF":0.0000,"publicationDate":"2024-01-01","publicationTypes":"Journal Article","fieldsOfStudy":null,"isOpenAccess":false,"openAccessPdf":"https://www.ncbi.nlm.nih.gov/pmc/articles/PMC11624850/pdf/","citationCount":"0","resultStr":null,"platform":"Semanticscholar","paperid":null,"PeriodicalName":"Iranian Journal of Otorhinolaryngology","FirstCategoryId":"1085","ListUrlMain":"https://doi.org/10.22038/ijorl.2024.75038.3519","RegionNum":0,"RegionCategory":null,"ArticlePicture":[],"TitleCN":null,"AbstractTextCN":null,"PMCID":null,"EPubDate":"","PubModel":"","JCR":"Q3","JCRName":"Medicine","Score":null,"Total":0}
引用次数: 0

Abstract

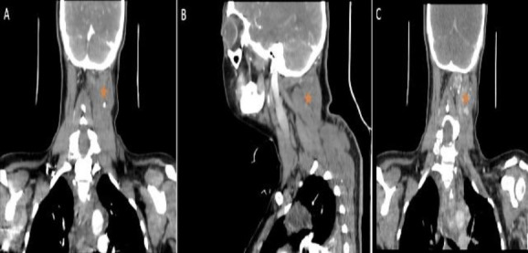
Introduction: Soft tissue hemangiomas are among the most prevalent soft tissue tumors and can pose diagnostic challenges due to their propensity to extend into various regions. In our case, imaging studies facilitated effective characterization of the mass, and timely intervention with sclerotherapy enabled adequate initial control of the lesion. Subsequently, medical management with propranolol and a second scheduled surgical intervention with sclerotherapy contributed to a reduction in the lesion size, alleviation of symptoms, and improvement in prognosis.

Case report: We present a rare case of a giant cervical soft tissue hemangioma with laryngeal extension in an adult female, initially misdiagnosed as a primary laryngeal hemangioma. This case underscores the critical role of diagnostic imaging in assessing the extent of these vascular tumors.

Conclusions: A thorough assessment of the suspected site, as well as the entire head, neck, and chest, should be conducted for all patients with suspected hemangiomas.

Abstract Image

Abstract Image

Abstract Image

颈部巨大软组织血管瘤伴喉部延伸。
简介:软组织血管瘤是最常见的软组织肿瘤之一,由于其倾向于扩展到各个区域,可构成诊断挑战。在我们的病例中,影像学检查促进了肿块的有效表征,及时的硬化治疗干预使病变得到充分的初步控制。随后,普萘洛尔的医疗管理和第二次计划的手术干预与硬化疗法有助于减少病变大小,缓解症状和改善预后。病例报告:我们报告一例罕见的成年女性巨大的颈部软组织血管瘤伴喉部延伸,最初误诊为原发性喉部血管瘤。本病例强调了诊断成像在评估这些血管肿瘤范围中的关键作用。结论:对于所有疑似血管瘤的患者,应对疑似部位以及整个头部、颈部和胸部进行彻底的评估。
本文章由计算机程序翻译,如有差异,请以英文原文为准。
求助全文
约1分钟内获得全文 求助全文
来源期刊
Iranian Journal of Otorhinolaryngology
Iranian Journal of Otorhinolaryngology Medicine-Otorhinolaryngology
CiteScore
1.30
自引率
0.00%
发文量
72
审稿时长
12 weeks
×
引用
GB/T 7714-2015
复制
MLA
复制
APA
复制
导出至
BibTeX EndNote RefMan NoteFirst NoteExpress
×
提示
您的信息不完整,为了账户安全,请先补充。
现在去补充
×
提示
您因"违规操作"
具体请查看互助需知
我知道了
×
提示
确定
请完成安全验证×
copy
已复制链接
快去分享给好友吧!
我知道了
右上角分享
点击右上角分享
0
联系我们:info@booksci.cn Book学术提供免费学术资源搜索服务,方便国内外学者检索中英文文献。致力于提供最便捷和优质的服务体验。 Copyright © 2023 布克学术 All rights reserved.
京ICP备2023020795号-1
ghs 京公网安备 11010802042870号
Book学术文献互助
Book学术文献互助群
群 号:604180095
Book学术官方微信