Benign Transformation of Atypical Meningioma: A Rare Histopathological Phenomenon at Recurrence.

IF 0.5 Q4 SURGERY
Case Reports in Surgery Pub Date : 2024-12-01 eCollection Date: 2024-01-01 DOI:10.1155/cris/4118914
Rahaf F Alanazi, Nasser Alharbi, Ali Alkhaibary, Fahd AlSufiani, Ahmed Aloraidi
{"title":"Benign Transformation of Atypical Meningioma: A Rare Histopathological Phenomenon at Recurrence.","authors":"Rahaf F Alanazi, Nasser Alharbi, Ali Alkhaibary, Fahd AlSufiani, Ahmed Aloraidi","doi":"10.1155/cris/4118914","DOIUrl":null,"url":null,"abstract":"<p><p><b>Background and importance:</b> Meningiomas are one of the most frequent primary central nervous system (CNS) tumors. According to the World Health Organization (WHO) classification of brain tumors, meningiomas are categorized into Grade 1 (benign meningioma; 80%), Grade 2 (atypical meningioma; 4%-15%), and Grade 3 (anaplastic meningiomas; 1%-3%). Grade 2 meningioma has a higher recurrence rate, ranging from 29%-52%. However, the transformation from atypical meningioma into benign meningioma is poorly understood. The present article describes a patient with Grade 2 meningioma that transformed into a benign subtype. <b>Case presentation:</b> A 51-year-old female with a history of seizures, presented with left-sided progressive weakness. Radiological imaging revealed a large extra-axial parasagittal lesion measuring 5 cm × 5 cm × 4.8 cm, suggestive of meningioma. The patient underwent subtotal resection of the lesion. Histologically, the tumor was in favor of Grade 2 meningioma. Radiological follow-up 8 years postoperatively revealed a recurrent meningioma. The patient underwent right-sided craniotomy and resection of the parasagittal meningioma. The histopathological features were suggestive of a Grade 1 meningioma. <b>Conclusion:</b> The transformation from atypical to benign meningiomas is rarely reported and the mechanism remains unclear. The present case provides insights into the natural history of this entity, describes possible etiologies, and lists the surgical management with an emphasis on preoperative radiological imaging and histopathological investigations.</p>","PeriodicalId":9600,"journal":{"name":"Case Reports in Surgery","volume":"2024 ","pages":"4118914"},"PeriodicalIF":0.5000,"publicationDate":"2024-12-01","publicationTypes":"Journal Article","fieldsOfStudy":null,"isOpenAccess":false,"openAccessPdf":"https://www.ncbi.nlm.nih.gov/pmc/articles/PMC11625495/pdf/","citationCount":"0","resultStr":null,"platform":"Semanticscholar","paperid":null,"PeriodicalName":"Case Reports in Surgery","FirstCategoryId":"1085","ListUrlMain":"https://doi.org/10.1155/cris/4118914","RegionNum":0,"RegionCategory":null,"ArticlePicture":[],"TitleCN":null,"AbstractTextCN":null,"PMCID":null,"EPubDate":"2024/1/1 0:00:00","PubModel":"eCollection","JCR":"Q4","JCRName":"SURGERY","Score":null,"Total":0}
引用次数: 0

Abstract

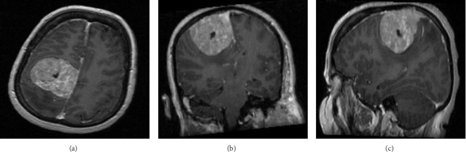
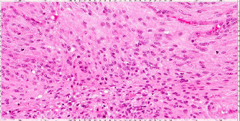
Background and importance: Meningiomas are one of the most frequent primary central nervous system (CNS) tumors. According to the World Health Organization (WHO) classification of brain tumors, meningiomas are categorized into Grade 1 (benign meningioma; 80%), Grade 2 (atypical meningioma; 4%-15%), and Grade 3 (anaplastic meningiomas; 1%-3%). Grade 2 meningioma has a higher recurrence rate, ranging from 29%-52%. However, the transformation from atypical meningioma into benign meningioma is poorly understood. The present article describes a patient with Grade 2 meningioma that transformed into a benign subtype. Case presentation: A 51-year-old female with a history of seizures, presented with left-sided progressive weakness. Radiological imaging revealed a large extra-axial parasagittal lesion measuring 5 cm × 5 cm × 4.8 cm, suggestive of meningioma. The patient underwent subtotal resection of the lesion. Histologically, the tumor was in favor of Grade 2 meningioma. Radiological follow-up 8 years postoperatively revealed a recurrent meningioma. The patient underwent right-sided craniotomy and resection of the parasagittal meningioma. The histopathological features were suggestive of a Grade 1 meningioma. Conclusion: The transformation from atypical to benign meningiomas is rarely reported and the mechanism remains unclear. The present case provides insights into the natural history of this entity, describes possible etiologies, and lists the surgical management with an emphasis on preoperative radiological imaging and histopathological investigations.

Abstract Image

Abstract Image

Abstract Image

不典型脑膜瘤的良性转化:复发时罕见的组织病理学现象。
背景和重要性:脑膜瘤是最常见的原发性中枢神经系统(CNS)肿瘤之一。根据世界卫生组织(WHO)的脑肿瘤分类,脑膜瘤分为1级(良性脑膜瘤;80%)、2级(非典型脑膜瘤;4%-15%)和3级(无细胞脑膜瘤;1%-3%)。2 级脑膜瘤的复发率较高,为 29%-52%。然而,人们对非典型脑膜瘤向良性脑膜瘤的转化还知之甚少。本文描述了一名从 2 级脑膜瘤转变为良性亚型的患者。病例介绍:一名 51 岁女性,有癫痫发作史,出现左侧进行性乏力。放射影像学检查发现一个巨大的轴外侧矢状旁病变,大小为 5 厘米 × 5 厘米 × 4.8 厘米,提示为脑膜瘤。患者接受了病灶次全切除术。组织学检查结果为 2 级脑膜瘤。术后 8 年的放射学随访显示脑膜瘤复发。患者接受了右侧开颅手术,切除了矢状旁脑膜瘤。组织病理学特征提示为 1 级脑膜瘤。结论:从非典型脑膜瘤转变为良性脑膜瘤的报道很少,其机制仍不清楚。本病例让我们了解了这一实体的自然史,描述了可能的病因,并列出了手术治疗方法,重点是术前放射成像和组织病理学检查。
本文章由计算机程序翻译,如有差异,请以英文原文为准。
求助全文
约1分钟内获得全文 求助全文
来源期刊
自引率
0.00%
发文量
60
审稿时长
13 weeks
×
引用
GB/T 7714-2015
复制
MLA
复制
APA
复制
导出至
BibTeX EndNote RefMan NoteFirst NoteExpress
×
提示
您的信息不完整,为了账户安全,请先补充。
现在去补充
×
提示
您因"违规操作"
具体请查看互助需知
我知道了
×
提示
确定
请完成安全验证×
copy
已复制链接
快去分享给好友吧!
我知道了
右上角分享
点击右上角分享
0
联系我们:info@booksci.cn Book学术提供免费学术资源搜索服务,方便国内外学者检索中英文文献。致力于提供最便捷和优质的服务体验。 Copyright © 2023 布克学术 All rights reserved.
京ICP备2023020795号-1
ghs 京公网安备 11010802042870号
Book学术文献互助
Book学术文献互助群
群 号:604180095
Book学术官方微信