Open- and closed-type congenital cholesteatomas of the middle ear: computed tomography differentiation and correlation with surgical staging.

IF 1.7 4区 医学 Q3 RADIOLOGY, NUCLEAR MEDICINE & MEDICAL IMAGING
Diagnostic and interventional radiology Pub Date : 2025-04-28 Epub Date: 2024-12-09 DOI:10.4274/dir.2024.242913
Minjung Seong, Hyung-Jin Kim, Yikyung Kim, Sung Tae Kim
{"title":"Open- and closed-type congenital cholesteatomas of the middle ear: computed tomography differentiation and correlation with surgical staging.","authors":"Minjung Seong, Hyung-Jin Kim, Yikyung Kim, Sung Tae Kim","doi":"10.4274/dir.2024.242913","DOIUrl":null,"url":null,"abstract":"<p><strong>Purpose: </strong>To investigate the differences in computed tomography (CT) features between closed-type congenital cholesteatoma (CCC) and open-type congenital cholesteatoma (OCC) of the middle ear and to evaluate the usefulness of preoperative CT examination for staging workup of congenital cholesteatoma (CC) in correlation with the surgical findings.</p><p><strong>Methods: </strong>We retrospectively reviewed the preoperative CT scans of the temporal bone obtained from 80 patients with surgically confirmed CC of the middle ear. All patients had a solitary lesion, except for one patient with two lesions, resulting in 81 CCs, which formed the basis of this study. We compared the CT features between CCCs and OCCs, focusing on their morphological characteristics, such as size, shape, location, and bone change. Based on the Potsic classification, the stage of CCs was determined at CT and surgery, and the results were compared between CCCs and OCCs.</p><p><strong>Results: </strong>Of the 81 CCs, surgery revealed 43 CCCs and 38 OCCs. On CT scans, CCC was frequently seen as a small (median: 3.15 mm), round to oval (65.1%) mass, most commonly located in the anterosuperior quadrant (74.4%) of the middle ear with less frequent ossicular erosion (14.0%). In contrast, OCC was frequently seen as a large (median: 6.70 mm), irregular (94.7%) mass, most commonly located in the posterosuperior quadrant (68.4%) of the middle ear with frequent ossicular erosion (55.3%). The size, shape, location, and presence of ossicular erosion were significantly different between the two types. Overall, the CT and surgical stages of CCs demonstrated good agreement (kappa value: 0.77) and the CT and surgical stages of OCCs were statistically significantly higher than those of CCCs (<i>P</i> < 0.001 in both).</p><p><strong>Conclusion: </strong>CT is useful for preoperative determination of the types and staging of CC of the middle ear.</p><p><strong>Clinical significance: </strong>Preoperative differentiation between CCC and OCC is important to avoid reoperation and prevent an extensive surgery. By providing valuable information on the morphology and extent of the lesions, CT is useful for not only the accurate preoperative determination of the type of CCs but also the accurate prediction of staging of the lesion, which should be important to preparing optimal treatment plans.</p>","PeriodicalId":11341,"journal":{"name":"Diagnostic and interventional radiology","volume":" ","pages":"180-186"},"PeriodicalIF":1.7000,"publicationDate":"2025-04-28","publicationTypes":"Journal Article","fieldsOfStudy":null,"isOpenAccess":false,"openAccessPdf":"https://www.ncbi.nlm.nih.gov/pmc/articles/PMC12057537/pdf/","citationCount":"0","resultStr":null,"platform":"Semanticscholar","paperid":null,"PeriodicalName":"Diagnostic and interventional radiology","FirstCategoryId":"3","ListUrlMain":"https://doi.org/10.4274/dir.2024.242913","RegionNum":4,"RegionCategory":"医学","ArticlePicture":[],"TitleCN":null,"AbstractTextCN":null,"PMCID":null,"EPubDate":"2024/12/9 0:00:00","PubModel":"Epub","JCR":"Q3","JCRName":"RADIOLOGY, NUCLEAR MEDICINE & MEDICAL IMAGING","Score":null,"Total":0}
引用次数: 0

Abstract

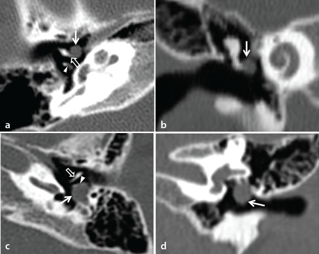
Purpose: To investigate the differences in computed tomography (CT) features between closed-type congenital cholesteatoma (CCC) and open-type congenital cholesteatoma (OCC) of the middle ear and to evaluate the usefulness of preoperative CT examination for staging workup of congenital cholesteatoma (CC) in correlation with the surgical findings.

Methods: We retrospectively reviewed the preoperative CT scans of the temporal bone obtained from 80 patients with surgically confirmed CC of the middle ear. All patients had a solitary lesion, except for one patient with two lesions, resulting in 81 CCs, which formed the basis of this study. We compared the CT features between CCCs and OCCs, focusing on their morphological characteristics, such as size, shape, location, and bone change. Based on the Potsic classification, the stage of CCs was determined at CT and surgery, and the results were compared between CCCs and OCCs.

Results: Of the 81 CCs, surgery revealed 43 CCCs and 38 OCCs. On CT scans, CCC was frequently seen as a small (median: 3.15 mm), round to oval (65.1%) mass, most commonly located in the anterosuperior quadrant (74.4%) of the middle ear with less frequent ossicular erosion (14.0%). In contrast, OCC was frequently seen as a large (median: 6.70 mm), irregular (94.7%) mass, most commonly located in the posterosuperior quadrant (68.4%) of the middle ear with frequent ossicular erosion (55.3%). The size, shape, location, and presence of ossicular erosion were significantly different between the two types. Overall, the CT and surgical stages of CCs demonstrated good agreement (kappa value: 0.77) and the CT and surgical stages of OCCs were statistically significantly higher than those of CCCs (P < 0.001 in both).

Conclusion: CT is useful for preoperative determination of the types and staging of CC of the middle ear.

Clinical significance: Preoperative differentiation between CCC and OCC is important to avoid reoperation and prevent an extensive surgery. By providing valuable information on the morphology and extent of the lesions, CT is useful for not only the accurate preoperative determination of the type of CCs but also the accurate prediction of staging of the lesion, which should be important to preparing optimal treatment plans.

Abstract Image

Abstract Image

Abstract Image

开放式和闭合型先天性中耳胆脂瘤:计算机断层鉴别及与手术分期的关系。
目的:探讨中耳封闭式先天性胆脂瘤(CCC)与开放式先天性胆脂瘤(OCC)的CT表现差异,探讨术前CT检查与手术表现对先天性胆脂瘤(CC)分期诊断的价值。方法:我们回顾性分析了80例经手术证实的中耳CC患者术前颞骨的CT扫描。除1例有2个病变外,所有患者均为单发病变,共发生81例cc,这是本研究的基础。我们比较了CCCs和OCCs的CT特征,重点关注它们的形态学特征,如大小、形状、位置和骨变化。根据Potsic分类,在CT和手术上确定cc的分期,并将CCCs和OCCs的结果进行比较。结果:81例cc中,手术发现43例CCCs, 38例OCCs。在CT扫描上,CCC常被视为一个小的(中位数:3.15 mm),圆形到椭圆形(65.1%)肿块,最常见于中耳前上象限(74.4%),较少发生听骨侵蚀(14.0%)。相比之下,OCC通常被视为一个大的(中位数:6.70 mm),不规则的(94.7%)肿块,最常见于中耳后上象限(68.4%),常伴有听骨侵蚀(55.3%)。两种类型的听骨侵蚀的大小、形状、位置和存在有显著差异。总体而言,CT和手术分期吻合良好(kappa值:0.77),OCCs的CT和手术分期明显高于CCCs (P < 0.001)。结论:CT对术前确定中耳CC的类型和分期有一定的参考价值。临床意义:术前鉴别CCC和OCC对避免再次手术和防止大范围手术具有重要意义。通过提供有关病变形态和范围的宝贵信息,CT不仅可以在术前准确确定cc的类型,还可以准确预测病变的分期,这对于制定最佳治疗方案至关重要。
本文章由计算机程序翻译,如有差异,请以英文原文为准。
求助全文
约1分钟内获得全文 求助全文
来源期刊
Diagnostic and interventional radiology
Diagnostic and interventional radiology Medicine-Radiology, Nuclear Medicine and Imaging
自引率
4.80%
发文量
0
期刊介绍: Diagnostic and Interventional Radiology (Diagn Interv Radiol) is the open access, online-only official publication of Turkish Society of Radiology. It is published bimonthly and the journal’s publication language is English. The journal is a medium for original articles, reviews, pictorial essays, technical notes related to all fields of diagnostic and interventional radiology.
×
引用
GB/T 7714-2015
复制
MLA
复制
APA
复制
导出至
BibTeX EndNote RefMan NoteFirst NoteExpress
×
提示
您的信息不完整,为了账户安全,请先补充。
现在去补充
×
提示
您因"违规操作"
具体请查看互助需知
我知道了
×
提示
确定
请完成安全验证×
copy
已复制链接
快去分享给好友吧!
我知道了
右上角分享
点击右上角分享
0
联系我们:info@booksci.cn Book学术提供免费学术资源搜索服务,方便国内外学者检索中英文文献。致力于提供最便捷和优质的服务体验。 Copyright © 2023 布克学术 All rights reserved.
京ICP备2023020795号-1
ghs 京公网安备 11010802042870号
Book学术文献互助
Book学术文献互助群
群 号:604180095
Book学术官方微信