Successful treatment of chronic pulmonary aspergillosis in a patient with early pulmonary tuberculosis and COVID-19: a case report.

IF 1.6 Q3 RESPIRATORY SYSTEM
Alexandre Albuquerque Bertucci, Cláudia Elizabeth Volpe-Chaves, Diogo Melo Mendo, Úrsulla Vilella Andrade, Mara Luci Goncalves Galiz Lacerda, James Venturini, Bruna Abdul Ahad Saad, Caroline Tieppo Flores de Oliveira, Sandra Maria do Valle Leone de Oliveira, Anamaria Mello Miranda Paniago
{"title":"Successful treatment of chronic pulmonary aspergillosis in a patient with early pulmonary tuberculosis and COVID-19: a case report.","authors":"Alexandre Albuquerque Bertucci, Cláudia Elizabeth Volpe-Chaves, Diogo Melo Mendo, Úrsulla Vilella Andrade, Mara Luci Goncalves Galiz Lacerda, James Venturini, Bruna Abdul Ahad Saad, Caroline Tieppo Flores de Oliveira, Sandra Maria do Valle Leone de Oliveira, Anamaria Mello Miranda Paniago","doi":"10.5826/mrm.2024.989","DOIUrl":null,"url":null,"abstract":"<p><strong>Introduction: </strong>Chronic pulmonary aspergillosis (CPA) often develops in residual lesions of pulmonary tuberculosis (PTB). Every year, 112,000 to 160,000 people worldwide will develop post-PTB CPA. The simultaneous occurrence of CPA with the first episode of PTB is rare. During the COVID-19 pandemic, COVID-19- associated invasive aspergillosis (CAPA) occurred in patients receiving high doses of corticosteroids and  mechanical ventilation. However, CPA and COVID-19 are rarely reported simultaneously. This case study presents a patient with CPA in the first episode of PTB during hospitalization for COVID-19. The favorable evolution is highlighted, including the resolution of the cavitation and fungal ball with appropriate and early treatment.</p><p><strong>Case presentation: </strong>A 48-year-old female patient from the Central West of Brazil was admitted with a history of cough, yellow sputum, fever, and significant weight loss for two months. The respiratory symptoms worsened one week before admission. She tested positive for COVID-19 by RT-PCR. She had a history of hypertension and diabetes. Clinical examination revealed tachypnea, slurred speech, and hypoxia. She presented with hyperglycemia, obesity, hypertension, and an episode of hemoptysis. Chest CT revealed cavitation in the right upper lobe with a 45 mm aspergilloma, multifocal morning opacities, and nodular opacities. Laboratory tests confirmed the PTB with positive sputum for acid-fast bacilli and positive culture for Mycobacterium tuberculosis. The sputum culture also showed Aspergillus spp. She received early treatment for bacterial pneumonia with ceftriaxone, dexamethasone, enoxaparin, an anti-TB regimen, and itraconazole. There was a progressive clinical improvement and the patient was discharged after 15 days. She completed six months of anti-TB therapy and 13 months of itraconazole treatment for CPA, with complete resolution of the cavitation and aspergilloma.</p><p><strong>Discussion and conclusion: </strong>This case study presents a unique case of CPA that manifested as simple aspergilloma and was diagnosed concurrently with the initial episode of PTB in a COVID-19 patient with obesity, hypertension, and diabetes. Remarkably, the fungal ball and cavitation regressed spontaneously. The favorable clinical and radiological results highlight the importance of comprehensive treatment approaches for concurrent respiratory infections and emphasize the need to investigate CPA and PTB during COVID-19 hospitalization.</p>","PeriodicalId":51135,"journal":{"name":"Multidisciplinary Respiratory Medicine","volume":"19 ","pages":""},"PeriodicalIF":1.6000,"publicationDate":"2024-12-05","publicationTypes":"Journal Article","fieldsOfStudy":null,"isOpenAccess":false,"openAccessPdf":"https://www.ncbi.nlm.nih.gov/pmc/articles/PMC11661397/pdf/","citationCount":"0","resultStr":null,"platform":"Semanticscholar","paperid":null,"PeriodicalName":"Multidisciplinary Respiratory Medicine","FirstCategoryId":"1085","ListUrlMain":"https://doi.org/10.5826/mrm.2024.989","RegionNum":0,"RegionCategory":null,"ArticlePicture":[],"TitleCN":null,"AbstractTextCN":null,"PMCID":null,"EPubDate":"","PubModel":"","JCR":"Q3","JCRName":"RESPIRATORY SYSTEM","Score":null,"Total":0}
引用次数: 0

Abstract

Introduction: Chronic pulmonary aspergillosis (CPA) often develops in residual lesions of pulmonary tuberculosis (PTB). Every year, 112,000 to 160,000 people worldwide will develop post-PTB CPA. The simultaneous occurrence of CPA with the first episode of PTB is rare. During the COVID-19 pandemic, COVID-19- associated invasive aspergillosis (CAPA) occurred in patients receiving high doses of corticosteroids and  mechanical ventilation. However, CPA and COVID-19 are rarely reported simultaneously. This case study presents a patient with CPA in the first episode of PTB during hospitalization for COVID-19. The favorable evolution is highlighted, including the resolution of the cavitation and fungal ball with appropriate and early treatment.

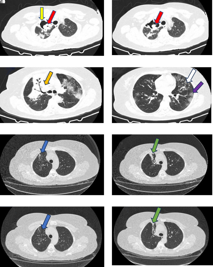
Case presentation: A 48-year-old female patient from the Central West of Brazil was admitted with a history of cough, yellow sputum, fever, and significant weight loss for two months. The respiratory symptoms worsened one week before admission. She tested positive for COVID-19 by RT-PCR. She had a history of hypertension and diabetes. Clinical examination revealed tachypnea, slurred speech, and hypoxia. She presented with hyperglycemia, obesity, hypertension, and an episode of hemoptysis. Chest CT revealed cavitation in the right upper lobe with a 45 mm aspergilloma, multifocal morning opacities, and nodular opacities. Laboratory tests confirmed the PTB with positive sputum for acid-fast bacilli and positive culture for Mycobacterium tuberculosis. The sputum culture also showed Aspergillus spp. She received early treatment for bacterial pneumonia with ceftriaxone, dexamethasone, enoxaparin, an anti-TB regimen, and itraconazole. There was a progressive clinical improvement and the patient was discharged after 15 days. She completed six months of anti-TB therapy and 13 months of itraconazole treatment for CPA, with complete resolution of the cavitation and aspergilloma.

Discussion and conclusion: This case study presents a unique case of CPA that manifested as simple aspergilloma and was diagnosed concurrently with the initial episode of PTB in a COVID-19 patient with obesity, hypertension, and diabetes. Remarkably, the fungal ball and cavitation regressed spontaneously. The favorable clinical and radiological results highlight the importance of comprehensive treatment approaches for concurrent respiratory infections and emphasize the need to investigate CPA and PTB during COVID-19 hospitalization.

Abstract Image

早期肺结核合并COVID-19患者慢性肺曲霉病治疗成功1例
慢性肺曲霉病(CPA)常发生于肺结核(PTB)的残余病变。全世界每年将有11.2万至16万人患上肺结核后CPA。CPA与PTB首发同时发生是罕见的。在COVID-19大流行期间,在接受高剂量皮质类固醇和机械通气的患者中发生了COVID-19相关的侵袭性曲霉病(CAPA)。然而,CPA和COVID-19很少同时报道。本病例研究报告了一位因COVID-19住院期间首次发作PTB的CPA患者。通过适当的早期治疗,突出了有利的演变,包括空化和真菌球的解决。病例介绍:一名来自巴西中西部的48岁女性患者因咳嗽、痰黄、发烧和明显体重减轻两个月而入院。入院前一周呼吸道症状加重。她经RT-PCR检测为COVID-19阳性。她有高血压和糖尿病病史。临床检查发现呼吸急促,言语不清,缺氧。她表现为高血糖、肥胖、高血压和咯血发作。胸部CT示右上肺叶空化伴45毫米曲菌瘤,多灶性晨灶性混浊及结节性混浊。实验室检查证实肺结核,痰中抗酸杆菌阳性,结核分枝杆菌培养阳性。痰培养也显示曲霉菌。她接受了细菌性肺炎的早期治疗,头孢曲松、地塞米松、依诺肝素、抗结核方案和伊曲康唑。患者临床情况逐渐改善,15天后出院。她完成了6个月的抗结核治疗和13个月的伊曲康唑治疗CPA,空化和曲霉菌瘤完全消失。讨论与结论:本病例研究报告了一例独特的CPA病例,该病例表现为单纯曲菌瘤,并在合并肥胖、高血压和糖尿病的COVID-19患者中与PTB初始发作同时诊断。值得注意的是,真菌球和空化现象自发消退。良好的临床和影像学结果突出了综合治疗方法对并发呼吸道感染的重要性,并强调了在COVID-19住院期间调查CPA和PTB的必要性。
本文章由计算机程序翻译,如有差异,请以英文原文为准。
求助全文
约1分钟内获得全文 求助全文
来源期刊
CiteScore
4.40
自引率
0.00%
发文量
23
审稿时长
>12 weeks
期刊介绍: Multidisciplinary Respiratory Medicine is the official journal of the Italian Respiratory Society - Società Italiana di Pneumologia (IRS/SIP). The journal publishes on all aspects of respiratory medicine and related fields, with a particular focus on interdisciplinary and translational research. The interdisciplinary nature of the journal provides a unique opportunity for researchers, clinicians and healthcare professionals across specialties to collaborate and exchange information. The journal provides a high visibility platform for the publication and dissemination of top quality original scientific articles, reviews and important position papers documenting clinical and experimental advances.
×
引用
GB/T 7714-2015
复制
MLA
复制
APA
复制
导出至
BibTeX EndNote RefMan NoteFirst NoteExpress
×
提示
您的信息不完整,为了账户安全,请先补充。
现在去补充
×
提示
您因"违规操作"
具体请查看互助需知
我知道了
×
提示
确定
请完成安全验证×
copy
已复制链接
快去分享给好友吧!
我知道了
右上角分享
点击右上角分享
0
联系我们:info@booksci.cn Book学术提供免费学术资源搜索服务,方便国内外学者检索中英文文献。致力于提供最便捷和优质的服务体验。 Copyright © 2023 布克学术 All rights reserved.
京ICP备2023020795号-1
ghs 京公网安备 11010802042870号
Book学术文献互助
Book学术文献互助群
群 号:604180095
Book学术官方微信