Computed tomography-guided percutaneous biopsy of subcentimeter lung noduless.

Q3 Medicine
Radiologia Brasileira Pub Date : 2024-11-18 eCollection Date: 2024-01-01 DOI:10.1590/0100-3984.2024.0046-en
Penélope Sánchez Teixeira, Almir Galvão Vieira Bitencourt, Jefferson Luiz Gross, Rubens Chojniak, Soraia Quaranta Damião, Paula Nicole Vieira Pinto Barbosa
{"title":"Computed tomography-guided percutaneous biopsy of subcentimeter lung noduless.","authors":"Penélope Sánchez Teixeira, Almir Galvão Vieira Bitencourt, Jefferson Luiz Gross, Rubens Chojniak, Soraia Quaranta Damião, Paula Nicole Vieira Pinto Barbosa","doi":"10.1590/0100-3984.2024.0046-en","DOIUrl":null,"url":null,"abstract":"<p><strong>Objective: </strong>To assess the diagnostic success rate and complications of computed tomography (CT)-guided percutaneous biopsy in pulmonary nodules < 10 mm in diameter.</p><p><strong>Materials and methods: </strong>This was a retrospective, single-center study involving the review of medical records, images, and chest CT reports related to 115 patients who underwent percutaneous CT-guided biopsy of < 10 mm pulmonary nodules between July 2015 and January 2019.</p><p><strong>Results: </strong>Nodule diameter on the longest axis ranged from 4 mm to 9 mm, with a mean size of 7.7 mm. The mean age of the patients at the time of the procedure was 61 years, and 54.7% were women. Of the 115 nodules evaluated, 77 (67.0%) were solid and 55 (47.8%) were located in the lower lobes. The mean distance traversed by the needle in the lung parenchyma was 20 mm (range, 0-70 mm), and, in most cases, the biopsy was not performed with the patient in the biopsy-side-down lateral position. The diagnostic success rate was 93.0%. The most common complications were alveolar hemorrhage (in 36.5% of cases) and pneumothorax (in 24.3%).</p><p><strong>Conclusion: </strong>The data suggest that CT-guided percutaneous biopsy of < 10 mm pulmonary nodules has a high diagnostic success rate and an acceptable rate of complications.</p>","PeriodicalId":20842,"journal":{"name":"Radiologia Brasileira","volume":"57 ","pages":"e20240046"},"PeriodicalIF":0.0000,"publicationDate":"2024-11-18","publicationTypes":"Journal Article","fieldsOfStudy":null,"isOpenAccess":false,"openAccessPdf":"https://www.ncbi.nlm.nih.gov/pmc/articles/PMC11618831/pdf/","citationCount":"0","resultStr":null,"platform":"Semanticscholar","paperid":null,"PeriodicalName":"Radiologia Brasileira","FirstCategoryId":"1085","ListUrlMain":"https://doi.org/10.1590/0100-3984.2024.0046-en","RegionNum":0,"RegionCategory":null,"ArticlePicture":[],"TitleCN":null,"AbstractTextCN":null,"PMCID":null,"EPubDate":"2024/1/1 0:00:00","PubModel":"eCollection","JCR":"Q3","JCRName":"Medicine","Score":null,"Total":0}
引用次数: 0

Abstract

Objective: To assess the diagnostic success rate and complications of computed tomography (CT)-guided percutaneous biopsy in pulmonary nodules < 10 mm in diameter.

Materials and methods: This was a retrospective, single-center study involving the review of medical records, images, and chest CT reports related to 115 patients who underwent percutaneous CT-guided biopsy of < 10 mm pulmonary nodules between July 2015 and January 2019.

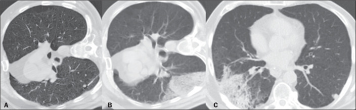
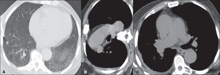
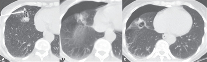
Results: Nodule diameter on the longest axis ranged from 4 mm to 9 mm, with a mean size of 7.7 mm. The mean age of the patients at the time of the procedure was 61 years, and 54.7% were women. Of the 115 nodules evaluated, 77 (67.0%) were solid and 55 (47.8%) were located in the lower lobes. The mean distance traversed by the needle in the lung parenchyma was 20 mm (range, 0-70 mm), and, in most cases, the biopsy was not performed with the patient in the biopsy-side-down lateral position. The diagnostic success rate was 93.0%. The most common complications were alveolar hemorrhage (in 36.5% of cases) and pneumothorax (in 24.3%).

Conclusion: The data suggest that CT-guided percutaneous biopsy of < 10 mm pulmonary nodules has a high diagnostic success rate and an acceptable rate of complications.

Abstract Image

Abstract Image

Abstract Image

计算机断层引导下经皮肺亚厘米结节活检。
目的:探讨CT引导下经皮穿刺活检对直径< 10mm肺结节的诊断成功率及并发症。材料和方法:这是一项回顾性单中心研究,回顾了2015年7月至2019年1月期间接受经皮CT引导下< 10 mm肺结节活检的115例患者的医疗记录、图像和胸部CT报告。结果:最长轴结节直径4mm ~ 9mm,平均大小7.7 mm。手术时患者的平均年龄为61岁,54.7%为女性。在115个结节中,77个(67.0%)为实性结节,55个(47.8%)位于下叶。针在肺实质中穿过的平均距离为20毫米(范围0-70毫米),并且在大多数情况下,患者在侧卧位活检时不进行活检。诊断成功率为93.0%。最常见的并发症是肺泡出血(占36.5%)和气胸(占24.3%)。结论:ct引导下经皮穿刺< 10 mm肺结节诊断成功率高,并发症发生率可接受。
本文章由计算机程序翻译,如有差异,请以英文原文为准。
求助全文
约1分钟内获得全文 求助全文
来源期刊
Radiologia Brasileira
Radiologia Brasileira Medicine-Radiology, Nuclear Medicine and Imaging
CiteScore
2.60
自引率
0.00%
发文量
75
审稿时长
28 weeks
×
引用
GB/T 7714-2015
复制
MLA
复制
APA
复制
导出至
BibTeX EndNote RefMan NoteFirst NoteExpress
×
提示
您的信息不完整,为了账户安全,请先补充。
现在去补充
×
提示
您因"违规操作"
具体请查看互助需知
我知道了
×
提示
确定
请完成安全验证×
copy
已复制链接
快去分享给好友吧!
我知道了
右上角分享
点击右上角分享
0
联系我们:info@booksci.cn Book学术提供免费学术资源搜索服务,方便国内外学者检索中英文文献。致力于提供最便捷和优质的服务体验。 Copyright © 2023 布克学术 All rights reserved.
京ICP备2023020795号-1
ghs 京公网安备 11010802042870号
Book学术文献互助
Book学术文献互助群
群 号:604180095
Book学术官方微信