Gliomatosis Cerebri Manifested as Parkinsonism Syndrome: A Case Report.

IF 0.9 Q4 CLINICAL NEUROLOGY
Case Reports in Neurological Medicine Pub Date : 2024-11-28 eCollection Date: 2024-01-01 DOI:10.1155/crnm/3375867
Debora González Garcia, Miguel Ángel González Casas, Martin Heisi Gómez Martínez
{"title":"Gliomatosis Cerebri Manifested as Parkinsonism Syndrome: A Case Report.","authors":"Debora González Garcia, Miguel Ángel González Casas, Martin Heisi Gómez Martínez","doi":"10.1155/crnm/3375867","DOIUrl":null,"url":null,"abstract":"<p><p><b>Introduction:</b> Gliomatosis cerebri (GC) is a diffuse neoplastic process, whose presentation is extremely rare and lacks a characteristic clinical pattern. The objective of this case is to describe the clinical aspects of a patient with GC, in whom symptoms of parkinsonism and neurocognitive issues predominate. <b>Case Report:</b> A 78-year-old patient with no significant medical history was referred to the neurology consultation due to balance disturbances accompanied by head tremor. Symptoms of parkinsonism progressively worsened, adding cognitive and neuropsychiatric disorders. Cranial magnetic resonance imaging (MRI) showed diffuse and generalized white matter hyperintensity. Under the suspicion of GC, a frontal lobe biopsy was performed, with a pathology report of diffuse astrocytoma, thus confirming the diagnosis of GC. <b>Conclusion:</b> GC is a disease that presents with nonspecific clinical manifestations, making a clinical diagnosis challenging. It should be suspected in cases of parkinsonism accompanied by other focal neurological disorders. This leads to delayed diagnosis and consequently low incidence. The importance of MRI as a diagnostic aid is highlighted, with biopsy being necessary to confirm the diagnosis.</p>","PeriodicalId":9615,"journal":{"name":"Case Reports in Neurological Medicine","volume":"2024 ","pages":"3375867"},"PeriodicalIF":0.9000,"publicationDate":"2024-11-28","publicationTypes":"Journal Article","fieldsOfStudy":null,"isOpenAccess":false,"openAccessPdf":"https://www.ncbi.nlm.nih.gov/pmc/articles/PMC11620801/pdf/","citationCount":"0","resultStr":null,"platform":"Semanticscholar","paperid":null,"PeriodicalName":"Case Reports in Neurological Medicine","FirstCategoryId":"1085","ListUrlMain":"https://doi.org/10.1155/crnm/3375867","RegionNum":0,"RegionCategory":null,"ArticlePicture":[],"TitleCN":null,"AbstractTextCN":null,"PMCID":null,"EPubDate":"2024/1/1 0:00:00","PubModel":"eCollection","JCR":"Q4","JCRName":"CLINICAL NEUROLOGY","Score":null,"Total":0}
引用次数: 0

Abstract

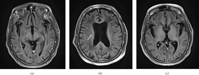
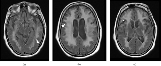
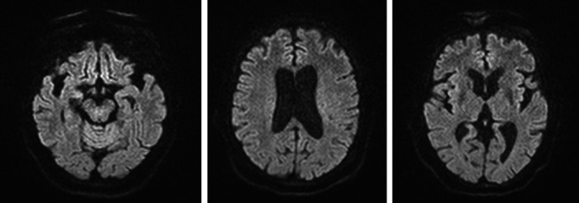
Introduction: Gliomatosis cerebri (GC) is a diffuse neoplastic process, whose presentation is extremely rare and lacks a characteristic clinical pattern. The objective of this case is to describe the clinical aspects of a patient with GC, in whom symptoms of parkinsonism and neurocognitive issues predominate. Case Report: A 78-year-old patient with no significant medical history was referred to the neurology consultation due to balance disturbances accompanied by head tremor. Symptoms of parkinsonism progressively worsened, adding cognitive and neuropsychiatric disorders. Cranial magnetic resonance imaging (MRI) showed diffuse and generalized white matter hyperintensity. Under the suspicion of GC, a frontal lobe biopsy was performed, with a pathology report of diffuse astrocytoma, thus confirming the diagnosis of GC. Conclusion: GC is a disease that presents with nonspecific clinical manifestations, making a clinical diagnosis challenging. It should be suspected in cases of parkinsonism accompanied by other focal neurological disorders. This leads to delayed diagnosis and consequently low incidence. The importance of MRI as a diagnostic aid is highlighted, with biopsy being necessary to confirm the diagnosis.

Abstract Image

Abstract Image

Abstract Image

表现为帕金森综合征的脑胶质瘤病1例报告。
脑胶质瘤病(Gliomatosis cerebri, GC)是一种弥漫性肿瘤,其临床表现极为罕见,缺乏特征性的临床模式。本病例的目的是描述GC患者的临床方面,其中帕金森症状和神经认知问题占主导地位。病例报告:一名78岁无明显病史的患者,因平衡障碍伴头部震颤而就诊神经内科。帕金森氏症的症状逐渐恶化,增加了认知和神经精神障碍。颅脑磁共振成像显示弥漫性广泛性白质高信号。在怀疑为胃癌的情况下,行额叶活检,病理报告为弥漫性星形细胞瘤,确诊为胃癌。结论:胃癌是一种临床表现非特异性的疾病,临床诊断具有挑战性。在帕金森病合并其他局灶性神经系统疾病的病例中应怀疑。这导致诊断延迟,从而降低发病率。MRI作为诊断辅助的重要性被强调,活检是必要的,以确认诊断。
本文章由计算机程序翻译,如有差异,请以英文原文为准。
求助全文
约1分钟内获得全文 求助全文
来源期刊
自引率
0.00%
发文量
26
审稿时长
11 weeks
×
引用
GB/T 7714-2015
复制
MLA
复制
APA
复制
导出至
BibTeX EndNote RefMan NoteFirst NoteExpress
×
提示
您的信息不完整,为了账户安全,请先补充。
现在去补充
×
提示
您因"违规操作"
具体请查看互助需知
我知道了
×
提示
确定
请完成安全验证×
copy
已复制链接
快去分享给好友吧!
我知道了
右上角分享
点击右上角分享
0
联系我们:info@booksci.cn Book学术提供免费学术资源搜索服务,方便国内外学者检索中英文文献。致力于提供最便捷和优质的服务体验。 Copyright © 2023 布克学术 All rights reserved.
京ICP备2023020795号-1
ghs 京公网安备 11010802042870号
Book学术文献互助
Book学术文献互助群
群 号:604180095
Book学术官方微信