Diagnostic role of contrast-enhanced voiding urosonography (ceVUS) in pediatric duplex kidneys - a comparison with voiding cystourethrography (VCUG).

IF 1.5 Q3 RADIOLOGY, NUCLEAR MEDICINE & MEDICAL IMAGING
Journal of Ultrasonography Pub Date : 2024-11-30 eCollection Date: 2024-12-01 DOI:10.15557/jou.2024.0023
Xiuzhen Yang, Zheming Xu, Zhongyu Chen, Guangjie Chen, Daxing Tang, Jingjing Ye, Junfen Fu
{"title":"Diagnostic role of contrast-enhanced voiding urosonography (ceVUS) in pediatric duplex kidneys - a comparison with voiding cystourethrography (VCUG).","authors":"Xiuzhen Yang, Zheming Xu, Zhongyu Chen, Guangjie Chen, Daxing Tang, Jingjing Ye, Junfen Fu","doi":"10.15557/jou.2024.0023","DOIUrl":null,"url":null,"abstract":"<p><strong>Aim: </strong>The present study aimed to assess the diagnostic efficacy of contrast-enhanced voiding urosonography (ceVUS) using SonoVue for evaluating duplex kidneys, and to compare it with fluoroscopic voiding cystourethrography (VCUG).</p><p><strong>Material and methods: </strong>Forty-six children with duplex kidneys confirmed by surgical intervention or cystoscopy were included in the study, resulting in a total of 46 duplex kidneys and 46 normal kidneys (138 pyeloureteral units).</p><p><strong>Results: </strong>The overall sensitivity, specificity, positive predictive value (PPV), and negative predictive value (NPV) of RBUS for diagnosing duplex kidney disease were 73.91%, 80.43%, 79.07%, and 75.51%, respectively. The diagnostic performance of RBUS and ceVUS in detecting duplex kidney yielded an overall sensitivity, specificity, PPV, and NPV of 89.13%, 84.78%, 85.42%, and 88.64%, respectively. The sensitivity, specificity, PPV, and NPV of VCUG in diagnosing duplex kidney disease were 17.31%, 86.96%, 57.14%, and 51.23%, respectively. For the 42 pyeloureteral units with VUR, Cohen's weighted kappa value for the agreement between ceVUS and VCUG in grading VUR was 0.702 (95% CI, 0.551 ~ 0.854; <i>p</i> <0.05).</p><p><strong>Conclusions: </strong>RBUS effectively diagnoses duplex kidneys with renal pelvic dilation, while ceVUS can further elucidate whether reflux occurs in the upper or lower moiety in cases of duplex kidneys with VUR. Compared to VCUG, both RBUS and ceVUS provide more intuitive diagnoses for duplex kidneys with VUR and ureterocele. Additionally, there is good consistency between ceVUS and VCUG in grading VUR. CeVUS is recommended as an initial evaluation method for patients suspected of having duplex kidneys associated with urinary tract infections.</p>","PeriodicalId":45612,"journal":{"name":"Journal of Ultrasonography","volume":"24 98","pages":"1-6"},"PeriodicalIF":1.5000,"publicationDate":"2024-11-30","publicationTypes":"Journal Article","fieldsOfStudy":null,"isOpenAccess":false,"openAccessPdf":"https://www.ncbi.nlm.nih.gov/pmc/articles/PMC11608065/pdf/","citationCount":"0","resultStr":null,"platform":"Semanticscholar","paperid":null,"PeriodicalName":"Journal of Ultrasonography","FirstCategoryId":"1085","ListUrlMain":"https://doi.org/10.15557/jou.2024.0023","RegionNum":0,"RegionCategory":null,"ArticlePicture":[],"TitleCN":null,"AbstractTextCN":null,"PMCID":null,"EPubDate":"2024/12/1 0:00:00","PubModel":"eCollection","JCR":"Q3","JCRName":"RADIOLOGY, NUCLEAR MEDICINE & MEDICAL IMAGING","Score":null,"Total":0}
引用次数: 0

Abstract

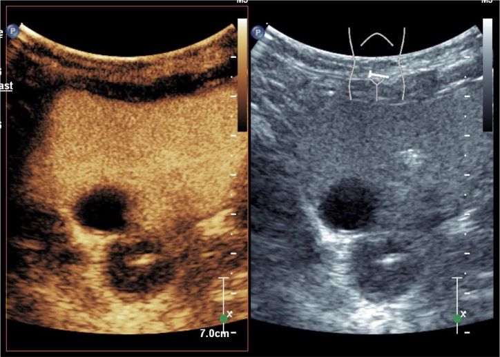
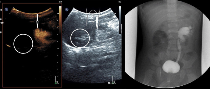
Aim: The present study aimed to assess the diagnostic efficacy of contrast-enhanced voiding urosonography (ceVUS) using SonoVue for evaluating duplex kidneys, and to compare it with fluoroscopic voiding cystourethrography (VCUG).

Material and methods: Forty-six children with duplex kidneys confirmed by surgical intervention or cystoscopy were included in the study, resulting in a total of 46 duplex kidneys and 46 normal kidneys (138 pyeloureteral units).

Results: The overall sensitivity, specificity, positive predictive value (PPV), and negative predictive value (NPV) of RBUS for diagnosing duplex kidney disease were 73.91%, 80.43%, 79.07%, and 75.51%, respectively. The diagnostic performance of RBUS and ceVUS in detecting duplex kidney yielded an overall sensitivity, specificity, PPV, and NPV of 89.13%, 84.78%, 85.42%, and 88.64%, respectively. The sensitivity, specificity, PPV, and NPV of VCUG in diagnosing duplex kidney disease were 17.31%, 86.96%, 57.14%, and 51.23%, respectively. For the 42 pyeloureteral units with VUR, Cohen's weighted kappa value for the agreement between ceVUS and VCUG in grading VUR was 0.702 (95% CI, 0.551 ~ 0.854; p <0.05).

Conclusions: RBUS effectively diagnoses duplex kidneys with renal pelvic dilation, while ceVUS can further elucidate whether reflux occurs in the upper or lower moiety in cases of duplex kidneys with VUR. Compared to VCUG, both RBUS and ceVUS provide more intuitive diagnoses for duplex kidneys with VUR and ureterocele. Additionally, there is good consistency between ceVUS and VCUG in grading VUR. CeVUS is recommended as an initial evaluation method for patients suspected of having duplex kidneys associated with urinary tract infections.

Abstract Image

Abstract Image

Abstract Image

对比增强排尿尿超音波(ceVUS)在小儿双肾诊断中的作用——与排尿膀胱尿道造影(VCUG)的比较
目的:本研究旨在评价SonoVue造影增强排尿尿超(ceVUS)对双肾的诊断效果,并与透视排尿膀胱尿道造影(VCUG)进行比较。材料与方法:本研究纳入46例经手术干预或膀胱镜检查证实为双肾的患儿,共46例双肾和46例正常肾(138个肾盂输尿管单位)。结果:RBUS诊断双肾疾病的总体敏感性为73.91%,特异性为80.43%,阳性预测值(PPV)为79.07%,阴性预测值(NPV)为75.51%。RBUS和ceVUS检测双肾的总体敏感性、特异性、PPV和NPV分别为89.13%、84.78%、85.42%和88.64%。VCUG诊断双肾疾病的敏感性为17.31%,特异性为86.96%,PPV为57.14%,NPV为51.23%。对于42个存在VUR的肾盂输尿管单位,ceVUS与VCUG对VUR分级一致性的Cohen加权kappa值为0.702 (95% CI, 0.551 ~ 0.854;p结论:RBUS可有效诊断双肾伴肾盆腔扩张,而ceVUS可进一步阐明双肾伴VUR时反流发生在上段还是下段。与VCUG相比,RBUS和ceVUS对双肾合并VUR和输尿管囊肿的诊断更为直观。此外,ceVUS和VCUG对VUR的分级有很好的一致性。CeVUS被推荐作为怀疑双肾合并尿路感染患者的初步评估方法。
本文章由计算机程序翻译,如有差异,请以英文原文为准。
求助全文
约1分钟内获得全文 求助全文
来源期刊
Journal of Ultrasonography
Journal of Ultrasonography RADIOLOGY, NUCLEAR MEDICINE & MEDICAL IMAGING-
CiteScore
2.30
自引率
0.00%
发文量
58
审稿时长
20 weeks
×
引用
GB/T 7714-2015
复制
MLA
复制
APA
复制
导出至
BibTeX EndNote RefMan NoteFirst NoteExpress
×
提示
您的信息不完整,为了账户安全,请先补充。
现在去补充
×
提示
您因"违规操作"
具体请查看互助需知
我知道了
×
提示
确定
请完成安全验证×
copy
已复制链接
快去分享给好友吧!
我知道了
右上角分享
点击右上角分享
0
联系我们:info@booksci.cn Book学术提供免费学术资源搜索服务,方便国内外学者检索中英文文献。致力于提供最便捷和优质的服务体验。 Copyright © 2023 布克学术 All rights reserved.
京ICP备2023020795号-1
ghs 京公网安备 11010802042870号
Book学术文献互助
Book学术文献互助群
群 号:604180095
Book学术官方微信