Non-Contrast MRI Sequences for Ischemic Stroke: A Concise Overview for Clinical Radiologists.

IF 2.8 Q2 PERIPHERAL VASCULAR DISEASE
Vascular Health and Risk Management Pub Date : 2024-11-26 eCollection Date: 2024-01-01 DOI:10.2147/VHRM.S474143
Nur Amelia Bachtiar, Bachtiar Murtala, Mirna Muis, Muhammad I Ilyas, Hamzaini Bin Abdul Hamid, Suryani As'ad, Jumraini Tammasse, Audry Devisanty Wuysang, Gita Vita Soraya
{"title":"Non-Contrast MRI Sequences for Ischemic Stroke: A Concise Overview for Clinical Radiologists.","authors":"Nur Amelia Bachtiar, Bachtiar Murtala, Mirna Muis, Muhammad I Ilyas, Hamzaini Bin Abdul Hamid, Suryani As'ad, Jumraini Tammasse, Audry Devisanty Wuysang, Gita Vita Soraya","doi":"10.2147/VHRM.S474143","DOIUrl":null,"url":null,"abstract":"<p><p>Ischemic stroke is the second leading cause of mortality and morbidity worldwide. Due to the urgency of implementing immediate therapy, acute stroke necessitates prompt diagnosis. The current gold standards for vascular imaging in stroke include computed tomography angiography (CTA), digital subtraction angiography (DSA) and magnetic resonance angiography (MRA). However, the contrast agents used in these methods can be costly and pose risks for patients with renal impairment or allergies. The aim of this paper is to provide a comprehensive overview of current MRI techniques and sequences for evaluating ischemic stroke, emphasizing the importance of non-contrast options and their clinical implications for radiologists in the diagnosis and management of ischemic stroke. Standard MRI sequences-such as T1-weighted imaging (T1WI), T2-weighted imaging (T2WI), fluid-attenuated inversion recovery (FLAIR), diffusion-weighted imaging (DWI), DWI-FLAIR mismatch, and apparent diffusion coefficient (ADC)-are essential for determining infarct location, volume, and age. Additionally, incorporating susceptibility-weighted imaging (SWI) sequence aids in identifying signs of hemorrhagic transformation within the infarcted region. Advanced techniques like arterial spin labeling (ASL) can serve as a non-contrast alternative for mapping cerebral blood flow (CBF) and allowing for comparison between infarcted and healthy brain areas. Adding ASL to the routine sequence allows ASL-DWI mismatch analysis that is useful for quantifying salvageable tissue volume and facilitate timely recanalization, while time-of-flight (TOF) MRA and magnetic resonance venography (MRV) help assess venous thrombosis, stenosis, or arterial occlusions. Finally, MR spectroscopy can provide insights into critical brain metabolites, including N-acetylaspartate (NAA), and lactate (Lac) to determine patient prognosis. Current MRI technology provides a myriad of sequence options for the comprehensive evaluation of ischemic stroke without the need for contrast material. A thorough understanding of the advantages and limitations of each sequence is crucial for its optimal implementation in diagnosis and treatment.</p>","PeriodicalId":23597,"journal":{"name":"Vascular Health and Risk Management","volume":"20 ","pages":"521-531"},"PeriodicalIF":2.8000,"publicationDate":"2024-11-26","publicationTypes":"Journal Article","fieldsOfStudy":null,"isOpenAccess":false,"openAccessPdf":"https://www.ncbi.nlm.nih.gov/pmc/articles/PMC11608002/pdf/","citationCount":"0","resultStr":null,"platform":"Semanticscholar","paperid":null,"PeriodicalName":"Vascular Health and Risk Management","FirstCategoryId":"1085","ListUrlMain":"https://doi.org/10.2147/VHRM.S474143","RegionNum":0,"RegionCategory":null,"ArticlePicture":[],"TitleCN":null,"AbstractTextCN":null,"PMCID":null,"EPubDate":"2024/1/1 0:00:00","PubModel":"eCollection","JCR":"Q2","JCRName":"PERIPHERAL VASCULAR DISEASE","Score":null,"Total":0}
引用次数: 0

Abstract

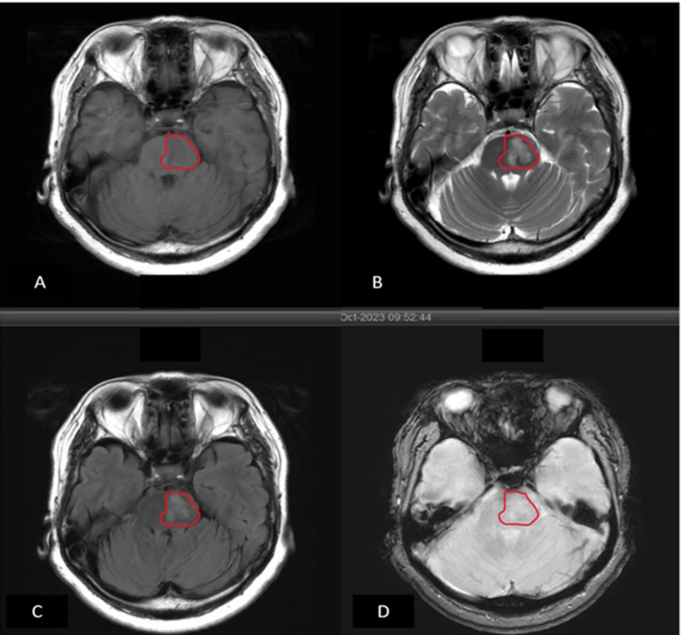
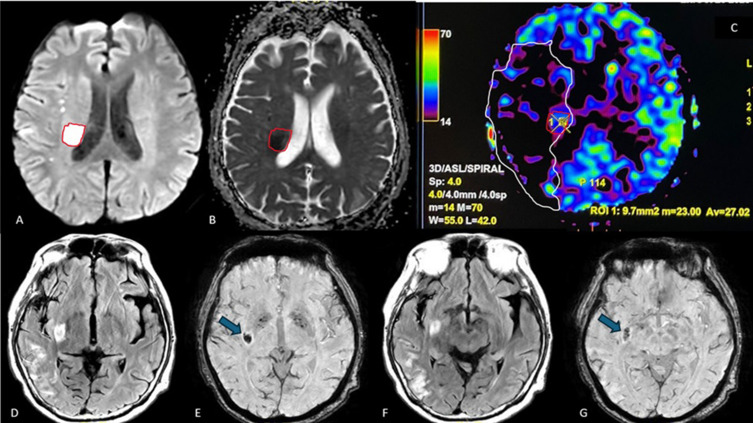
Ischemic stroke is the second leading cause of mortality and morbidity worldwide. Due to the urgency of implementing immediate therapy, acute stroke necessitates prompt diagnosis. The current gold standards for vascular imaging in stroke include computed tomography angiography (CTA), digital subtraction angiography (DSA) and magnetic resonance angiography (MRA). However, the contrast agents used in these methods can be costly and pose risks for patients with renal impairment or allergies. The aim of this paper is to provide a comprehensive overview of current MRI techniques and sequences for evaluating ischemic stroke, emphasizing the importance of non-contrast options and their clinical implications for radiologists in the diagnosis and management of ischemic stroke. Standard MRI sequences-such as T1-weighted imaging (T1WI), T2-weighted imaging (T2WI), fluid-attenuated inversion recovery (FLAIR), diffusion-weighted imaging (DWI), DWI-FLAIR mismatch, and apparent diffusion coefficient (ADC)-are essential for determining infarct location, volume, and age. Additionally, incorporating susceptibility-weighted imaging (SWI) sequence aids in identifying signs of hemorrhagic transformation within the infarcted region. Advanced techniques like arterial spin labeling (ASL) can serve as a non-contrast alternative for mapping cerebral blood flow (CBF) and allowing for comparison between infarcted and healthy brain areas. Adding ASL to the routine sequence allows ASL-DWI mismatch analysis that is useful for quantifying salvageable tissue volume and facilitate timely recanalization, while time-of-flight (TOF) MRA and magnetic resonance venography (MRV) help assess venous thrombosis, stenosis, or arterial occlusions. Finally, MR spectroscopy can provide insights into critical brain metabolites, including N-acetylaspartate (NAA), and lactate (Lac) to determine patient prognosis. Current MRI technology provides a myriad of sequence options for the comprehensive evaluation of ischemic stroke without the need for contrast material. A thorough understanding of the advantages and limitations of each sequence is crucial for its optimal implementation in diagnosis and treatment.

Abstract Image

Abstract Image

Abstract Image

缺血性脑卒中的非对比MRI序列:临床放射科医生的简明概述。
缺血性中风是世界范围内导致死亡和发病的第二大原因。由于紧急实施立即治疗,急性中风需要及时诊断。目前中风血管成像的金标准包括计算机断层血管造影(CTA)、数字减影血管造影(DSA)和磁共振血管造影(MRA)。然而,在这些方法中使用的造影剂可能是昂贵的,并对肾脏损害或过敏的患者构成风险。本文的目的是全面概述目前评估缺血性卒中的MRI技术和序列,强调非对比选择的重要性及其对放射科医生在缺血性卒中诊断和管理中的临床意义。标准MRI序列,如t1加权成像(T1WI)、t2加权成像(T2WI)、液体衰减反转恢复(FLAIR)、弥散加权成像(DWI)、DWI-FLAIR失配和表观扩散系数(ADC),对于确定梗死部位、体积和年龄至关重要。此外,结合敏感性加权成像(SWI)序列有助于识别梗死区域出血转化的迹象。动脉自旋标记(ASL)等先进技术可以作为绘制脑血流(CBF)的非对比替代方法,并允许比较梗死和健康脑区域。将ASL添加到常规序列中,可以进行ASL- dwi失配分析,这有助于量化可修复的组织体积并促进及时再通,而飞行时间(TOF) MRA和磁共振静脉造影(MRV)有助于评估静脉血栓形成、狭窄或动脉闭塞。最后,磁共振光谱可以提供关键的脑代谢物,包括n -乙酰天冬氨酸(NAA)和乳酸(Lac),以确定患者预后。目前的MRI技术为全面评估缺血性卒中提供了无数的序列选择,而不需要造影剂。彻底了解每个序列的优点和局限性对于其在诊断和治疗中的最佳实施至关重要。
本文章由计算机程序翻译,如有差异,请以英文原文为准。
求助全文
约1分钟内获得全文 求助全文
来源期刊
Vascular Health and Risk Management
Vascular Health and Risk Management PERIPHERAL VASCULAR DISEASE-
CiteScore
4.20
自引率
3.40%
发文量
109
审稿时长
16 weeks
期刊介绍: An international, peer-reviewed journal of therapeutics and risk management, focusing on concise rapid reporting of clinical studies on the processes involved in the maintenance of vascular health; the monitoring, prevention, and treatment of vascular disease and its sequelae; and the involvement of metabolic disorders, particularly diabetes. In addition, the journal will also seek to define drug usage in terms of ultimate uptake and acceptance by the patient and healthcare professional.
×
引用
GB/T 7714-2015
复制
MLA
复制
APA
复制
导出至
BibTeX EndNote RefMan NoteFirst NoteExpress
×
提示
您的信息不完整,为了账户安全,请先补充。
现在去补充
×
提示
您因"违规操作"
具体请查看互助需知
我知道了
×
提示
确定
请完成安全验证×
copy
已复制链接
快去分享给好友吧!
我知道了
右上角分享
点击右上角分享
0
联系我们:info@booksci.cn Book学术提供免费学术资源搜索服务,方便国内外学者检索中英文文献。致力于提供最便捷和优质的服务体验。 Copyright © 2023 布克学术 All rights reserved.
京ICP备2023020795号-1
ghs 京公网安备 11010802042870号
Book学术文献互助
Book学术文献互助群
群 号:604180095
Book学术官方微信