Geroderma Osteodysplastica With Concomitant Transposition of Great Vessels: A Case Report and Literature Review.

Case Reports in Genetics Pub Date : 2024-11-21 eCollection Date: 2024-01-01 DOI:10.1155/crig/1397713
Charbel Saad, Christine Aoun, Charbel Iskandar, Tony Hayek, Maroun Matar, Andre Megarbane
{"title":"Geroderma Osteodysplastica With Concomitant Transposition of Great Vessels: A Case Report and Literature Review.","authors":"Charbel Saad, Christine Aoun, Charbel Iskandar, Tony Hayek, Maroun Matar, Andre Megarbane","doi":"10.1155/crig/1397713","DOIUrl":null,"url":null,"abstract":"<p><p>Geroderma Osteodysplastica (GO) is a rare autosomal recessive connective tissue disease characterized by wrinkled skin and osteoporosis, two distinct aging-related features. A loss of function mutation in <i>GORAB</i> results in the disease. Immediately after birth, a cyanotic female neonate was found to have transposition of great vessels (TGV) that was corrected with an uneventful surgical recovery. The patient was noted to have wrinkled skin and hyperlaxity in her joints. After a complete nutritional and metabolic panel, in addition to karyotyping, imaging, skin histopathology analysis, and genetic testing she was found to have GO. We found two novel compound heterozygous mutations in <i>GORAB</i>: p.Asp236∗ and pAsp236Ala. This is the first study that reports the concurrent incidence of GO with TGV. The patient was started on bisphosphonates, which led to a reduction in the occurrence of fractures. An early diagnosis of GO is warranted to prevent or reduce bone density loss due to osteoporosis via initiation of bisphosphonate treatment. Whole exome sequencing remains the gold standard for diagnosing GO and ruling out phenotypically similar disorders.</p>","PeriodicalId":30325,"journal":{"name":"Case Reports in Genetics","volume":"2024 ","pages":"1397713"},"PeriodicalIF":0.0000,"publicationDate":"2024-11-21","publicationTypes":"Journal Article","fieldsOfStudy":null,"isOpenAccess":false,"openAccessPdf":"https://www.ncbi.nlm.nih.gov/pmc/articles/PMC11606688/pdf/","citationCount":"0","resultStr":null,"platform":"Semanticscholar","paperid":null,"PeriodicalName":"Case Reports in Genetics","FirstCategoryId":"1085","ListUrlMain":"https://doi.org/10.1155/crig/1397713","RegionNum":0,"RegionCategory":null,"ArticlePicture":[],"TitleCN":null,"AbstractTextCN":null,"PMCID":null,"EPubDate":"2024/1/1 0:00:00","PubModel":"eCollection","JCR":"","JCRName":"","Score":null,"Total":0}
引用次数: 0

Abstract

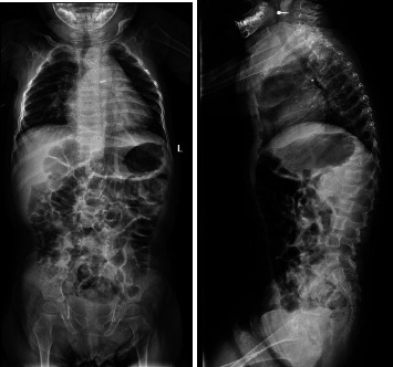
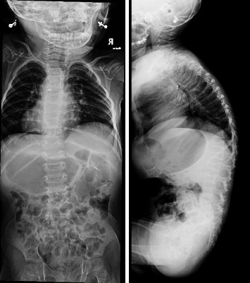
Geroderma Osteodysplastica (GO) is a rare autosomal recessive connective tissue disease characterized by wrinkled skin and osteoporosis, two distinct aging-related features. A loss of function mutation in GORAB results in the disease. Immediately after birth, a cyanotic female neonate was found to have transposition of great vessels (TGV) that was corrected with an uneventful surgical recovery. The patient was noted to have wrinkled skin and hyperlaxity in her joints. After a complete nutritional and metabolic panel, in addition to karyotyping, imaging, skin histopathology analysis, and genetic testing she was found to have GO. We found two novel compound heterozygous mutations in GORAB: p.Asp236∗ and pAsp236Ala. This is the first study that reports the concurrent incidence of GO with TGV. The patient was started on bisphosphonates, which led to a reduction in the occurrence of fractures. An early diagnosis of GO is warranted to prevent or reduce bone density loss due to osteoporosis via initiation of bisphosphonate treatment. Whole exome sequencing remains the gold standard for diagnosing GO and ruling out phenotypically similar disorders.

Abstract Image

Abstract Image

Abstract Image

老年病伴大血管转位的骨发育异常1例报告及文献复习。
老年性骨增生异常(GO)是一种罕见的常染色体隐性结缔组织疾病,其特征是皮肤起皱和骨质疏松,这是两种不同的衰老相关特征。GORAB的功能突变缺失导致了这种疾病。出生后立即,一个青紫的女性新生儿被发现有大血管转位(TGV),这是一个平静的手术恢复纠正。患者皮肤起皱,关节过度松弛。经过全面的营养和代谢检查,再加上核型分析、影像学检查、皮肤组织病理学分析和基因检测,她被发现患有氧化石墨烯。我们在GORAB中发现了两个新的复合杂合突变:p.Asp236∗和pAsp236Ala。这是首次报道氧化石墨烯与TGV同时发生的研究。患者开始服用双膦酸盐,骨折发生率降低。早期诊断氧化石墨烯是必要的,以防止或减少骨质疏松症引起的骨密度损失,通过启动双膦酸盐治疗。全外显子组测序仍然是诊断氧化石墨烯和排除表型相似疾病的金标准。
本文章由计算机程序翻译,如有差异,请以英文原文为准。
求助全文
约1分钟内获得全文 求助全文
来源期刊
自引率
0.00%
发文量
21
×
引用
GB/T 7714-2015
复制
MLA
复制
APA
复制
导出至
BibTeX EndNote RefMan NoteFirst NoteExpress
×
提示
您的信息不完整,为了账户安全,请先补充。
现在去补充
×
提示
您因"违规操作"
具体请查看互助需知
我知道了
×
提示
确定
请完成安全验证×
copy
已复制链接
快去分享给好友吧!
我知道了
右上角分享
点击右上角分享
0
联系我们:info@booksci.cn Book学术提供免费学术资源搜索服务,方便国内外学者检索中英文文献。致力于提供最便捷和优质的服务体验。 Copyright © 2023 布克学术 All rights reserved.
京ICP备2023020795号-1
ghs 京公网安备 11010802042870号
Book学术文献互助
Book学术文献互助群
群 号:604180095
Book学术官方微信