Sodium formate induces development-dependent intestinal epithelial injury via necroptosis and apoptosis.

IF 7.4 2区 生物学 Q1 BIOCHEMISTRY & MOLECULAR BIOLOGY
Redox Report Pub Date : 2024-12-01 Epub Date: 2024-12-02 DOI:10.1080/13510002.2024.2433393
Jingjing Wei, Yuan Tian, Meiqi Guan, Jinshu Wei, Yong Ji, Guozhong Tao, Karl G Sylvester
{"title":"Sodium formate induces development-dependent intestinal epithelial injury via necroptosis and apoptosis.","authors":"Jingjing Wei, Yuan Tian, Meiqi Guan, Jinshu Wei, Yong Ji, Guozhong Tao, Karl G Sylvester","doi":"10.1080/13510002.2024.2433393","DOIUrl":null,"url":null,"abstract":"<p><strong>Objectives: </strong>Necrotizing enterocolitis (NEC) is a common and sometimes fatal disease affecting premature infants. Elevated formate has been found in the stool of patients with NEC. Sodium formate (NaF) is used to explore the role of formate in the intestinal epithelial injury.</p><p><strong>Methods: </strong>In this study, 150 mM NaF solution was intraluminally injected in 14-day-old and 28-day-old mice. Mice were sacrificed after 24 h of feces collection, and the blood and small intestinal tissues were collected to detect the pathological damage of intestinal tissue, intestinal permeability, oxidative stress indicators including SOD, HO-1, MDA, and 4-HNE, inflammatory cytokines including IL-1β, TNF-α and IL-6, mitochondrial function such as ATP and PGC-1α in mice intestinal tissue, indicators of the cell death modes including necroptosis-related protein RIPK1 and p-MLKL, and apoptosis- related protein cleaved-caspase-3 and p-AKT (S473).</p><p><strong>Results: </strong>NaF treatment significantly damaged intestinal epithelial tissue and barrier function, caused mitochondrial dysfunction, manifesting as decreased ATP and PGC-1α levels, increased lipid peroxidation products MDA and 4-HNE, depleted antioxidant enzyme SOD, and upregulated the expression of HO-1. Furthermore, NaF treatment induced inflammatory responses by promoting the release of IL-1β, IL-6 and TNF-α in a development-dependent manner, eventually inducing necroptosis and apoptosis.</p><p><strong>Conclusions: </strong>Formate may be a source of metabolic intestinal injury contributing to the pathogenesis of NEC in human newborns.</p>","PeriodicalId":21096,"journal":{"name":"Redox Report","volume":"29 1","pages":"2433393"},"PeriodicalIF":7.4000,"publicationDate":"2024-12-01","publicationTypes":"Journal Article","fieldsOfStudy":null,"isOpenAccess":false,"openAccessPdf":"https://www.ncbi.nlm.nih.gov/pmc/articles/PMC11613409/pdf/","citationCount":"0","resultStr":null,"platform":"Semanticscholar","paperid":null,"PeriodicalName":"Redox Report","FirstCategoryId":"99","ListUrlMain":"https://doi.org/10.1080/13510002.2024.2433393","RegionNum":2,"RegionCategory":"生物学","ArticlePicture":[],"TitleCN":null,"AbstractTextCN":null,"PMCID":null,"EPubDate":"2024/12/2 0:00:00","PubModel":"Epub","JCR":"Q1","JCRName":"BIOCHEMISTRY & MOLECULAR BIOLOGY","Score":null,"Total":0}
引用次数: 0

Abstract

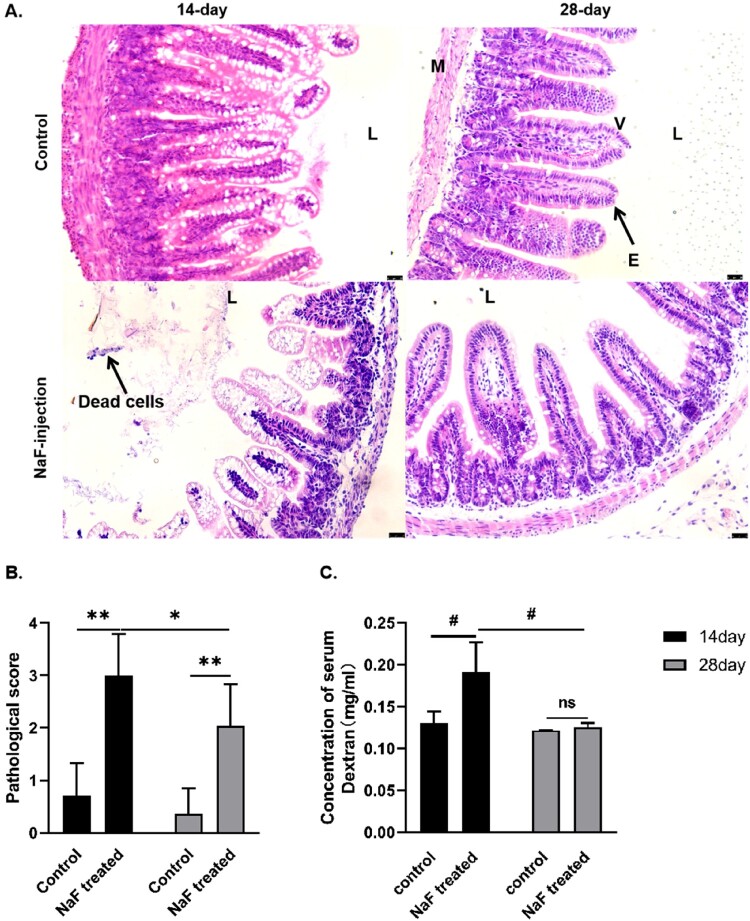
Objectives: Necrotizing enterocolitis (NEC) is a common and sometimes fatal disease affecting premature infants. Elevated formate has been found in the stool of patients with NEC. Sodium formate (NaF) is used to explore the role of formate in the intestinal epithelial injury.

Methods: In this study, 150 mM NaF solution was intraluminally injected in 14-day-old and 28-day-old mice. Mice were sacrificed after 24 h of feces collection, and the blood and small intestinal tissues were collected to detect the pathological damage of intestinal tissue, intestinal permeability, oxidative stress indicators including SOD, HO-1, MDA, and 4-HNE, inflammatory cytokines including IL-1β, TNF-α and IL-6, mitochondrial function such as ATP and PGC-1α in mice intestinal tissue, indicators of the cell death modes including necroptosis-related protein RIPK1 and p-MLKL, and apoptosis- related protein cleaved-caspase-3 and p-AKT (S473).

Results: NaF treatment significantly damaged intestinal epithelial tissue and barrier function, caused mitochondrial dysfunction, manifesting as decreased ATP and PGC-1α levels, increased lipid peroxidation products MDA and 4-HNE, depleted antioxidant enzyme SOD, and upregulated the expression of HO-1. Furthermore, NaF treatment induced inflammatory responses by promoting the release of IL-1β, IL-6 and TNF-α in a development-dependent manner, eventually inducing necroptosis and apoptosis.

Conclusions: Formate may be a source of metabolic intestinal injury contributing to the pathogenesis of NEC in human newborns.

Abstract Image

Abstract Image

Abstract Image

甲酸钠通过坏死下垂和细胞凋亡诱导发育依赖性肠上皮损伤。
目的:坏死性小肠结肠炎(NEC)是影响早产儿的一种常见且有时致命的疾病。在NEC患者的粪便中发现甲酸升高。采用甲酸钠(NaF)研究甲酸钠在肠上皮损伤中的作用。方法:采用150mm NaF溶液腹腔注射14日龄和28日龄小鼠。取粪24 h后处死小鼠,取血及小肠组织,检测小鼠肠组织病理损伤情况、肠通透性、氧化应激指标SOD、HO-1、MDA、4-HNE,炎症因子IL-1β、TNF-α、IL-6,线粒体功能指标ATP、PGC-1α,坏死相关蛋白RIPK1、p-MLKL等细胞死亡模式指标,凋亡相关蛋白-caspase-3和p-AKT (S473)。结果:NaF处理显著损伤肠上皮组织和屏障功能,引起线粒体功能障碍,表现为ATP和PGC-1α水平降低,脂质过氧化产物MDA和4-HNE升高,抗氧化酶SOD减少,HO-1表达上调。此外,NaF治疗通过促进IL-1β、IL-6和TNF-α的释放,以发育依赖的方式诱导炎症反应,最终诱导坏死和细胞凋亡。结论:甲酸可能是新生儿NEC发病的代谢性肠道损伤的一个来源。
本文章由计算机程序翻译,如有差异,请以英文原文为准。
求助全文
约1分钟内获得全文 求助全文
来源期刊
Redox Report
Redox Report 生物-生化与分子生物学
CiteScore
6.10
自引率
0.00%
发文量
28
审稿时长
>12 weeks
期刊介绍: Redox Report is a multidisciplinary peer-reviewed open access journal focusing on the role of free radicals, oxidative stress, activated oxygen, perioxidative and redox processes, primarily in the human environment and human pathology. Relevant papers on the animal and plant environment, biology and pathology will also be included. While emphasis is placed upon methodological and intellectual advances underpinned by new data, the journal offers scope for review, hypotheses, critiques and other forms of discussion.
×
引用
GB/T 7714-2015
复制
MLA
复制
APA
复制
导出至
BibTeX EndNote RefMan NoteFirst NoteExpress
×
提示
您的信息不完整,为了账户安全,请先补充。
现在去补充
×
提示
您因"违规操作"
具体请查看互助需知
我知道了
×
提示
确定
请完成安全验证×
copy
已复制链接
快去分享给好友吧!
我知道了
右上角分享
点击右上角分享
0
联系我们:info@booksci.cn Book学术提供免费学术资源搜索服务,方便国内外学者检索中英文文献。致力于提供最便捷和优质的服务体验。 Copyright © 2023 布克学术 All rights reserved.
京ICP备2023020795号-1
ghs 京公网安备 11010802042870号
Book学术文献互助
Book学术文献互助群
群 号:604180095
Book学术官方微信