A Case Report of Envafolimab in the Treatment of Microsatellite Stable (MSS) Metastatic Colon Cancer.

IF 2.8 4区 医学 Q3 BIOTECHNOLOGY & APPLIED MICROBIOLOGY
OncoTargets and therapy Pub Date : 2024-11-25 eCollection Date: 2024-01-01 DOI:10.2147/OTT.S473040
Yunshan Yang, Xu Luo, Li Dai, Tong He, Siqi Luo, Yongjin Zhou, Haibin Wang, Zhiqiang Yan, Qian Wang, Xiangren Jin
{"title":"A Case Report of Envafolimab in the Treatment of Microsatellite Stable (MSS) Metastatic Colon Cancer.","authors":"Yunshan Yang, Xu Luo, Li Dai, Tong He, Siqi Luo, Yongjin Zhou, Haibin Wang, Zhiqiang Yan, Qian Wang, Xiangren Jin","doi":"10.2147/OTT.S473040","DOIUrl":null,"url":null,"abstract":"<p><p>Envafolimab is a novel inhibitor for programmed cell death protein-ligand 1 (PD-L1) that can be administered subcutaneously. It has been found to be effective and safe in the treatment of advanced high microsatellite unstable (MSI-H) / mismatch repair deficient (dMMR) solid tumors. Currently, the efficacy of programmed cell death protein-1 (PD-1) / programmed cell death protein-ligand 1 (PD-L1) inhibitors in the treatment of microsatellite stable (MSS) tumors is not clear. We report a case of advanced colon cancer with MSS metastases in bilateral clavicle, mediastinum, retroperitoneum, bilateral hilum, and left side of thoracic 11/12 vertebral body. After 8 months of Envafolimab treatment, there was a significant reduction in metastatic lesions. As of February 1st, 2024, the patient exhibited no significant adverse reactions. The current efficacy evaluation was the partial response (PR), and the overall survival (OS) was more than 12 months. Considering the safety and efficacy of Envafolimab observed in our case, we believe that Envafolimab may be a promising drug for the treatment of MSS metastatic colon cancer.</p>","PeriodicalId":19534,"journal":{"name":"OncoTargets and therapy","volume":"17 ","pages":"1137-1144"},"PeriodicalIF":2.8000,"publicationDate":"2024-11-25","publicationTypes":"Journal Article","fieldsOfStudy":null,"isOpenAccess":false,"openAccessPdf":"https://www.ncbi.nlm.nih.gov/pmc/articles/PMC11606711/pdf/","citationCount":"0","resultStr":null,"platform":"Semanticscholar","paperid":null,"PeriodicalName":"OncoTargets and therapy","FirstCategoryId":"3","ListUrlMain":"https://doi.org/10.2147/OTT.S473040","RegionNum":4,"RegionCategory":"医学","ArticlePicture":[],"TitleCN":null,"AbstractTextCN":null,"PMCID":null,"EPubDate":"2024/1/1 0:00:00","PubModel":"eCollection","JCR":"Q3","JCRName":"BIOTECHNOLOGY & APPLIED MICROBIOLOGY","Score":null,"Total":0}
引用次数: 0

Abstract

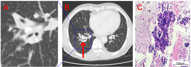
Envafolimab is a novel inhibitor for programmed cell death protein-ligand 1 (PD-L1) that can be administered subcutaneously. It has been found to be effective and safe in the treatment of advanced high microsatellite unstable (MSI-H) / mismatch repair deficient (dMMR) solid tumors. Currently, the efficacy of programmed cell death protein-1 (PD-1) / programmed cell death protein-ligand 1 (PD-L1) inhibitors in the treatment of microsatellite stable (MSS) tumors is not clear. We report a case of advanced colon cancer with MSS metastases in bilateral clavicle, mediastinum, retroperitoneum, bilateral hilum, and left side of thoracic 11/12 vertebral body. After 8 months of Envafolimab treatment, there was a significant reduction in metastatic lesions. As of February 1st, 2024, the patient exhibited no significant adverse reactions. The current efficacy evaluation was the partial response (PR), and the overall survival (OS) was more than 12 months. Considering the safety and efficacy of Envafolimab observed in our case, we believe that Envafolimab may be a promising drug for the treatment of MSS metastatic colon cancer.

Abstract Image

Abstract Image

Abstract Image

恩伐利单抗治疗微卫星稳定转移性结肠癌1例。
Envafolimab是一种新的程序性细胞死亡蛋白-配体1 (PD-L1)抑制剂,可以皮下给药。该方法治疗晚期高微卫星不稳定(MSI-H) /错配修复缺陷(dMMR)实体瘤是安全有效的。目前,程序性细胞死亡蛋白-1 (PD-1) /程序性细胞死亡蛋白配体1 (PD-L1)抑制剂治疗微卫星稳定型(MSS)肿瘤的疗效尚不清楚。我们报告一例晚期结肠癌合并双侧锁骨、纵隔、腹膜后、双侧门和左胸椎11/12椎体的MSS转移。经过8个月的恩伐利单抗治疗,转移性病变显著减少。截至2024年2月1日,患者未出现明显不良反应。目前疗效评价为部分缓解(PR),总生存期(OS)大于12个月。考虑到本病例观察到的恩伐利单抗的安全性和有效性,我们认为恩伐利单抗可能是治疗MSS转移性结肠癌的有希望的药物。
本文章由计算机程序翻译,如有差异,请以英文原文为准。
求助全文
约1分钟内获得全文 求助全文
来源期刊
OncoTargets and therapy
OncoTargets and therapy BIOTECHNOLOGY & APPLIED MICROBIOLOGY-ONCOLOGY
CiteScore
9.70
自引率
0.00%
发文量
221
审稿时长
1 months
期刊介绍: OncoTargets and Therapy is an international, peer-reviewed journal focusing on molecular aspects of cancer research, that is, the molecular diagnosis of and targeted molecular or precision therapy for all types of cancer. The journal is characterized by the rapid reporting of high-quality original research, basic science, reviews and evaluations, expert opinion and commentary that shed novel insight on a cancer or cancer subtype. Specific topics covered by the journal include: -Novel therapeutic targets and innovative agents -Novel therapeutic regimens for improved benefit and/or decreased side effects -Early stage clinical trials Further considerations when submitting to OncoTargets and Therapy: -Studies containing in vivo animal model data will be considered favorably. -Tissue microarray analyses will not be considered except in cases where they are supported by comprehensive biological studies involving multiple cell lines. -Biomarker association studies will be considered only when validated by comprehensive in vitro data and analysis of human tissue samples. -Studies utilizing publicly available data (e.g. GWAS/TCGA/GEO etc.) should add to the body of knowledge about a specific disease or relevant phenotype and must be validated using the authors’ own data through replication in an independent sample set and functional follow-up. -Bioinformatics studies must be validated using the authors’ own data through replication in an independent sample set and functional follow-up. -Single nucleotide polymorphism (SNP) studies will not be considered.
×
引用
GB/T 7714-2015
复制
MLA
复制
APA
复制
导出至
BibTeX EndNote RefMan NoteFirst NoteExpress
×
提示
您的信息不完整,为了账户安全,请先补充。
现在去补充
×
提示
您因"违规操作"
具体请查看互助需知
我知道了
×
提示
确定
请完成安全验证×
copy
已复制链接
快去分享给好友吧!
我知道了
右上角分享
点击右上角分享
0
联系我们:info@booksci.cn Book学术提供免费学术资源搜索服务,方便国内外学者检索中英文文献。致力于提供最便捷和优质的服务体验。 Copyright © 2023 布克学术 All rights reserved.
京ICP备2023020795号-1
ghs 京公网安备 11010802042870号
Book学术文献互助
Book学术文献互助群
群 号:604180095
Book学术官方微信