A Case of Anterior Cingulotomy for Intractable Pain Caused Thalamic Glioma.

IF 1.7 4区 医学 Q4 CLINICAL NEUROLOGY
Journal of Korean Neurosurgical Society Pub Date : 2025-07-01 Epub Date: 2024-12-03 DOI:10.3340/jkns.2024.0148
Kostiantyn Kostiuk, Davyd Tevzadze
{"title":"A Case of Anterior Cingulotomy for Intractable Pain Caused Thalamic Glioma.","authors":"Kostiantyn Kostiuk, Davyd Tevzadze","doi":"10.3340/jkns.2024.0148","DOIUrl":null,"url":null,"abstract":"<p><p>Stereotactic bilateral anterior cingulotomy, including lesions in the anterior and midcingulate cortex, is one of the methods used for treating thalamic pain syndrome. In cases of non-ischemic thalamic lesions, simultaneous stereotactic biopsy of the lesion can be performed in combination with cingulotomy. In this paper we present a case of a 45-year-old male with a lesion in the right thalamus, causing a severe contralateral hemi-pain syndrome. Bilateral radiofrequency anterior cingulotomy and stereotactic biopsy were performed during a single surgery. Pain completely subsided within a few days following the anterior cingulotomy. Histological examination identified a diffuse astrocytoma (World Health Organization grade II, ICD-O 9400/3), and the patient was subsequently referred for LINAC-based radiosurgery. The pain syndrome was controlled for 4 years, after which the pain syndrome returned with an increase in tumor size. Simultaneous anterior cingulotomy and stereotactic biopsy of the thalamic lesion represent a safe intervention for thalamic pain syndrome, enabling the alleviation of pain, verification of the lesion's etiology, and the application of appropriate treatment.</p>","PeriodicalId":16283,"journal":{"name":"Journal of Korean Neurosurgical Society","volume":" ","pages":"488-493"},"PeriodicalIF":1.7000,"publicationDate":"2025-07-01","publicationTypes":"Journal Article","fieldsOfStudy":null,"isOpenAccess":false,"openAccessPdf":"https://www.ncbi.nlm.nih.gov/pmc/articles/PMC12237538/pdf/","citationCount":"0","resultStr":null,"platform":"Semanticscholar","paperid":null,"PeriodicalName":"Journal of Korean Neurosurgical Society","FirstCategoryId":"3","ListUrlMain":"https://doi.org/10.3340/jkns.2024.0148","RegionNum":4,"RegionCategory":"医学","ArticlePicture":[],"TitleCN":null,"AbstractTextCN":null,"PMCID":null,"EPubDate":"2024/12/3 0:00:00","PubModel":"Epub","JCR":"Q4","JCRName":"CLINICAL NEUROLOGY","Score":null,"Total":0}
引用次数: 0

Abstract

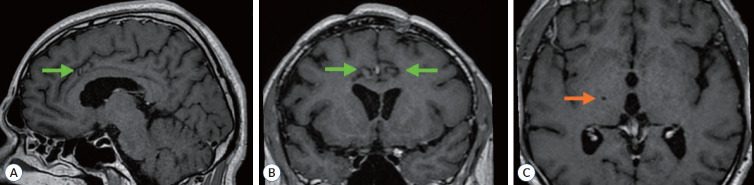
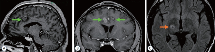
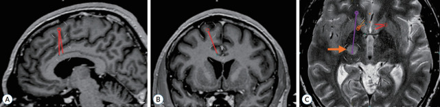
Stereotactic bilateral anterior cingulotomy, including lesions in the anterior and midcingulate cortex, is one of the methods used for treating thalamic pain syndrome. In cases of non-ischemic thalamic lesions, simultaneous stereotactic biopsy of the lesion can be performed in combination with cingulotomy. In this paper we present a case of a 45-year-old male with a lesion in the right thalamus, causing a severe contralateral hemi-pain syndrome. Bilateral radiofrequency anterior cingulotomy and stereotactic biopsy were performed during a single surgery. Pain completely subsided within a few days following the anterior cingulotomy. Histological examination identified a diffuse astrocytoma (World Health Organization grade II, ICD-O 9400/3), and the patient was subsequently referred for LINAC-based radiosurgery. The pain syndrome was controlled for 4 years, after which the pain syndrome returned with an increase in tumor size. Simultaneous anterior cingulotomy and stereotactic biopsy of the thalamic lesion represent a safe intervention for thalamic pain syndrome, enabling the alleviation of pain, verification of the lesion's etiology, and the application of appropriate treatment.

Abstract Image

Abstract Image

Abstract Image

前扣带切开术治疗顽固性丘脑胶质瘤1例。
立体定向双侧前扣带切开术,包括前扣带皮层和中扣带皮层病变,是治疗丘脑痛综合征的方法之一。在非缺血性丘脑病变的情况下,病变的同时立体定向活检可以与扣带切开术联合进行。在这篇论文中,我们提出了一个病例45岁的男性病变在右丘脑,引起严重的对侧半痛综合征。双侧射频前扣带切开术和立体定向活检在一次手术中完成。疼痛在前扣带切开术后几天内完全消退。组织学检查确定为弥漫性星形细胞瘤(WHO分级,ICD-O 9400/3),患者随后转介行linac放射手术。疼痛综合征被控制了4年,之后疼痛综合征随着肿瘤大小的增加而复发。同时对丘脑病变进行前扣带切开术和立体定向活检是对丘脑疼痛综合征的一种安全干预,可以减轻疼痛,确认病变的病因,并应用适当的治疗。
本文章由计算机程序翻译,如有差异,请以英文原文为准。
求助全文
约1分钟内获得全文 求助全文
来源期刊
CiteScore
2.90
自引率
6.20%
发文量
109
审稿时长
3-8 weeks
期刊介绍: The Journal of Korean Neurosurgical Society (J Korean Neurosurg Soc) is the official journal of the Korean Neurosurgical Society, and published bimonthly (1st day of January, March, May, July, September, and November). It launched in October 31, 1972 with Volume 1 and Number 1. J Korean Neurosurg Soc aims to allow neurosurgeons from around the world to enrich their knowledge of patient management, education, and clinical or experimental research, and hence their professionalism. This journal publishes Laboratory Investigations, Clinical Articles, Review Articles, Case Reports, Technical Notes, and Letters to the Editor. Our field of interest involves clinical neurosurgery (cerebrovascular disease, neuro-oncology, skull base neurosurgery, spine, pediatric neurosurgery, functional neurosurgery, epilepsy, neuro-trauma, and peripheral nerve disease) and laboratory work in neuroscience.
×
引用
GB/T 7714-2015
复制
MLA
复制
APA
复制
导出至
BibTeX EndNote RefMan NoteFirst NoteExpress
×
提示
您的信息不完整,为了账户安全,请先补充。
现在去补充
×
提示
您因"违规操作"
具体请查看互助需知
我知道了
×
提示
确定
请完成安全验证×
copy
已复制链接
快去分享给好友吧!
我知道了
右上角分享
点击右上角分享
0
联系我们:info@booksci.cn Book学术提供免费学术资源搜索服务,方便国内外学者检索中英文文献。致力于提供最便捷和优质的服务体验。 Copyright © 2023 布克学术 All rights reserved.
京ICP备2023020795号-1
ghs 京公网安备 11010802042870号
Book学术文献互助
Book学术文献互助群
群 号:604180095
Book学术官方微信