Ultrasonographic characterization of tendons and ligaments of palmar/plantar aspect of the cannon region in Egyptian donkeys.

IF 1 4区 农林科学 Q3 VETERINARY SCIENCES
S Gadallah, A Sharshar, M Fadel, E Mahran, A Hammad
{"title":"Ultrasonographic characterization of tendons and ligaments of palmar/plantar aspect of the cannon region in Egyptian donkeys.","authors":"S Gadallah, A Sharshar, M Fadel, E Mahran, A Hammad","doi":"10.22099/IJVR.2024.47480.6859","DOIUrl":null,"url":null,"abstract":"<p><strong>Background: </strong>There is a scarcity of data regarding the ultrasonographic characterization of tendons and ligaments in the distal limbs of donkeys.</p><p><strong>Aims: </strong>To determine ultrasonographic characteristics of normal tendons and ligaments at the palmar/plantar aspect of the cannon region in Egyptian donkeys.</p><p><strong>Methods: </strong>B-mode ultrasonography was conducted for the proposed tendons and ligaments in 12 clinically normal donkeys. Targeted structures were examined using transverse and longitudinal scans and evaluated in shape, echogenicity, echogenic pattern, fiber alignment pattern, and cross-sectional area (CSA).</p><p><strong>Results: </strong>Using transverse scan, the sonographic shapes of tendons and ligaments of metacarpal and metatarsal regions were determined. Upon examining different levels of each region, specific ligaments, not tendons, were present only at the higher levels. The echogenicity of ligaments and tendons was either similar or variable across different levels. All tendons and ligaments displayed homogeneous echogenicity except for the suspensory ligament. In the longitudinal scan, tendons maintained linear and parallel fiber alignment along examination levels. Conversely, ligaments displayed mostly inconstant fiber patterns (linear/crimp). There was a statistically significant (P<0.05) difference in CSA of tendons and ligaments between certain levels within metacarpal and metatarsal regions. Upon comparing metacarpal and metatarsal regions, there were distinct variations in some ultrasonographic characteristics of the same tendons and ligaments.</p><p><strong>Conclusion: </strong>This study established the ultrasonographic features of normal tendons and ligaments at the palmar/plantar aspect of the cannon region in donkeys (<i>Equus asinus</i>). These ultrasonographic data can be a reference guide when cannon region lameness is suspected.</p>","PeriodicalId":14629,"journal":{"name":"Iranian journal of veterinary research","volume":"25 2","pages":"143-155"},"PeriodicalIF":1.0000,"publicationDate":"2024-01-01","publicationTypes":"Journal Article","fieldsOfStudy":null,"isOpenAccess":false,"openAccessPdf":"https://www.ncbi.nlm.nih.gov/pmc/articles/PMC11608532/pdf/","citationCount":"0","resultStr":null,"platform":"Semanticscholar","paperid":null,"PeriodicalName":"Iranian journal of veterinary research","FirstCategoryId":"97","ListUrlMain":"https://doi.org/10.22099/IJVR.2024.47480.6859","RegionNum":4,"RegionCategory":"农林科学","ArticlePicture":[],"TitleCN":null,"AbstractTextCN":null,"PMCID":null,"EPubDate":"","PubModel":"","JCR":"Q3","JCRName":"VETERINARY SCIENCES","Score":null,"Total":0}
引用次数: 0

Abstract

Background: There is a scarcity of data regarding the ultrasonographic characterization of tendons and ligaments in the distal limbs of donkeys.

Aims: To determine ultrasonographic characteristics of normal tendons and ligaments at the palmar/plantar aspect of the cannon region in Egyptian donkeys.

Methods: B-mode ultrasonography was conducted for the proposed tendons and ligaments in 12 clinically normal donkeys. Targeted structures were examined using transverse and longitudinal scans and evaluated in shape, echogenicity, echogenic pattern, fiber alignment pattern, and cross-sectional area (CSA).

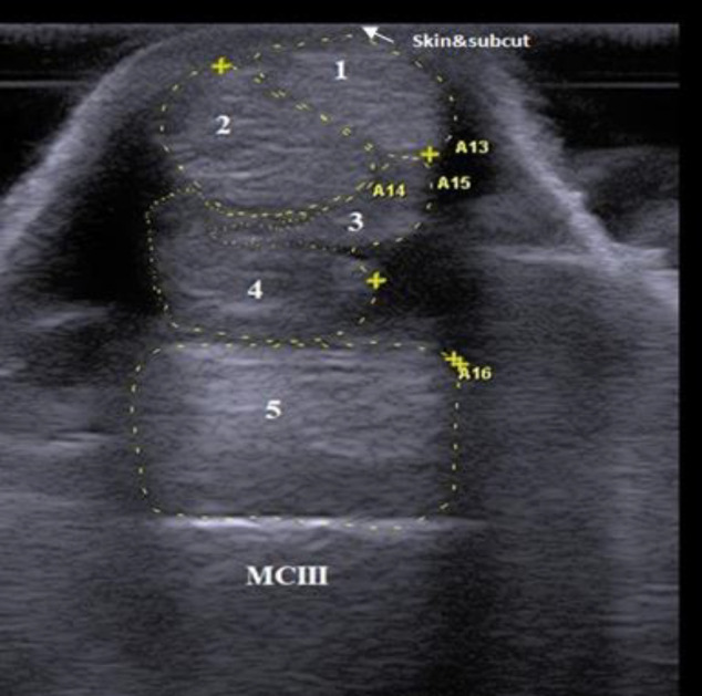
Results: Using transverse scan, the sonographic shapes of tendons and ligaments of metacarpal and metatarsal regions were determined. Upon examining different levels of each region, specific ligaments, not tendons, were present only at the higher levels. The echogenicity of ligaments and tendons was either similar or variable across different levels. All tendons and ligaments displayed homogeneous echogenicity except for the suspensory ligament. In the longitudinal scan, tendons maintained linear and parallel fiber alignment along examination levels. Conversely, ligaments displayed mostly inconstant fiber patterns (linear/crimp). There was a statistically significant (P<0.05) difference in CSA of tendons and ligaments between certain levels within metacarpal and metatarsal regions. Upon comparing metacarpal and metatarsal regions, there were distinct variations in some ultrasonographic characteristics of the same tendons and ligaments.

Conclusion: This study established the ultrasonographic features of normal tendons and ligaments at the palmar/plantar aspect of the cannon region in donkeys (Equus asinus). These ultrasonographic data can be a reference guide when cannon region lameness is suspected.

Abstract Image

Abstract Image

Abstract Image

埃及驴大炮区掌/足底方面的肌腱和韧带的超声特征。
背景:关于驴远端肢体肌腱和韧带的超声特征的数据缺乏。目的:确定埃及驴炮区掌/足底方面正常肌腱和韧带的超声特征。方法:对12头临床正常驴进行b超检查。使用横向和纵向扫描检查目标结构,并评估其形状、回声性、回声模式、纤维排列模式和横截面积(CSA)。结果:通过横断面扫描,确定了掌骨和跖骨肌腱、韧带的声像图形态。在检查每个区域的不同水平时,特定的韧带,而不是肌腱,只存在于较高的水平。韧带和肌腱的回声特征在不同水平上相似或不同。除悬韧带外,所有肌腱和韧带均表现出均匀的回声。在纵向扫描中,肌腱沿检查水平保持线性和平行纤维排列。相反,韧带显示出不稳定的纤维模式(线性/卷曲)。结论:本研究建立了驴(Equus asinus)蹄区掌/足底侧正常肌腱和韧带的超声特征。这些超声资料可作为怀疑炮区跛行时的参考依据。
本文章由计算机程序翻译,如有差异,请以英文原文为准。
求助全文
约1分钟内获得全文 求助全文
来源期刊
CiteScore
1.70
自引率
8.30%
发文量
10
期刊介绍: The Iranian Journal of Veterinary Research(IJVR) is published quarterly in 4 issues. The aims of this journal are to improve and expand knowledge in all veterinary fields. It is an international journal indexed by the Thomson Institute for Scientific Information (ISI), Elsevier, Scopus, CAB International, Veterinary Bulletin and several other international databases. Research papers and reports on a wide range of veterinary topics are published in the journal after being evaluated by expert reviewers.The Editor-in-Chief is responsible for the editorial content of the journal—including peer-reviewed manuscripts—and the timing of its publication.
×
引用
GB/T 7714-2015
复制
MLA
复制
APA
复制
导出至
BibTeX EndNote RefMan NoteFirst NoteExpress
×
提示
您的信息不完整,为了账户安全,请先补充。
现在去补充
×
提示
您因"违规操作"
具体请查看互助需知
我知道了
×
提示
确定
请完成安全验证×
copy
已复制链接
快去分享给好友吧!
我知道了
右上角分享
点击右上角分享
0
联系我们:info@booksci.cn Book学术提供免费学术资源搜索服务,方便国内外学者检索中英文文献。致力于提供最便捷和优质的服务体验。 Copyright © 2023 布克学术 All rights reserved.
京ICP备2023020795号-1
ghs 京公网安备 11010802042870号
Book学术文献互助
Book学术文献互助群
群 号:604180095
Book学术官方微信