Late Diagnostic Clues in Rapidly Progressing Probable Heidenhain Variant of Creutzfeldt-Jakob Disease.

IF 0.9 Q4 CLINICAL NEUROLOGY
Case Reports in Neurological Medicine Pub Date : 2024-11-25 eCollection Date: 2024-01-01 DOI:10.1155/crnm/4618310
Rahul Gaini, Julia Denniss, Elijah Lackey
{"title":"Late Diagnostic Clues in Rapidly Progressing Probable Heidenhain Variant of Creutzfeldt-Jakob Disease.","authors":"Rahul Gaini, Julia Denniss, Elijah Lackey","doi":"10.1155/crnm/4618310","DOIUrl":null,"url":null,"abstract":"<p><p>Presenting symptoms of sporadic Creutzfeldt-Jakob disease (sCJD) are variable, and as imaging and EEG may be normal in the early to middle stages of the disease process, serial testing is vital when there is clinical suspicion for sCJD. We present a case of probable Heidenhain variant of sCJD (HvCJD) with notable rapid progression. A 72-year-old woman presented with neurological decline following new-onset visual changes. Over the course of 3 weeks, she developed ataxia followed by paranoia, memory impairment, and visual hallucinations. An extensive workup from 1 week prior at an outside hospital was unrevealing and included two magnetic resonance imaging (MRI) studies read as normal and an EEG without periodic sharp wave complexes. Repeat of imaging at our hospital showed cortical restricted diffusion in the right occipital lobe. In combination with new periodic sharp wave complexes visualized on prolonged EEG, concern was raised for sCJD. Palliative care was consulted early in the hospitalization, and the patient was transitioned to comfort care and discharged 3 days after admission. She declined quickly and passed away at home within a week, one day before her send out CSF sample resulted with a positive real-time quaking-induced conversion (RT-QuiC) and markedly elevated T-tau protein and 14-3-3 gamma. As there is no treatment for this fatal disease, palliative engagement and discussion of goals of care in cases of CJD is critical in providing compassionate care for the patient and their family. High clinical suspicion warrants discussion of comfort care measures even prior to confirmation with RT-QuiC.</p>","PeriodicalId":9615,"journal":{"name":"Case Reports in Neurological Medicine","volume":"2024 ","pages":"4618310"},"PeriodicalIF":0.9000,"publicationDate":"2024-11-25","publicationTypes":"Journal Article","fieldsOfStudy":null,"isOpenAccess":false,"openAccessPdf":"https://www.ncbi.nlm.nih.gov/pmc/articles/PMC11614507/pdf/","citationCount":"0","resultStr":null,"platform":"Semanticscholar","paperid":null,"PeriodicalName":"Case Reports in Neurological Medicine","FirstCategoryId":"1085","ListUrlMain":"https://doi.org/10.1155/crnm/4618310","RegionNum":0,"RegionCategory":null,"ArticlePicture":[],"TitleCN":null,"AbstractTextCN":null,"PMCID":null,"EPubDate":"2024/1/1 0:00:00","PubModel":"eCollection","JCR":"Q4","JCRName":"CLINICAL NEUROLOGY","Score":null,"Total":0}
引用次数: 0

Abstract

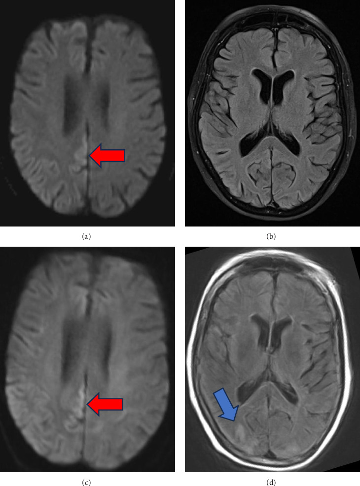
Presenting symptoms of sporadic Creutzfeldt-Jakob disease (sCJD) are variable, and as imaging and EEG may be normal in the early to middle stages of the disease process, serial testing is vital when there is clinical suspicion for sCJD. We present a case of probable Heidenhain variant of sCJD (HvCJD) with notable rapid progression. A 72-year-old woman presented with neurological decline following new-onset visual changes. Over the course of 3 weeks, she developed ataxia followed by paranoia, memory impairment, and visual hallucinations. An extensive workup from 1 week prior at an outside hospital was unrevealing and included two magnetic resonance imaging (MRI) studies read as normal and an EEG without periodic sharp wave complexes. Repeat of imaging at our hospital showed cortical restricted diffusion in the right occipital lobe. In combination with new periodic sharp wave complexes visualized on prolonged EEG, concern was raised for sCJD. Palliative care was consulted early in the hospitalization, and the patient was transitioned to comfort care and discharged 3 days after admission. She declined quickly and passed away at home within a week, one day before her send out CSF sample resulted with a positive real-time quaking-induced conversion (RT-QuiC) and markedly elevated T-tau protein and 14-3-3 gamma. As there is no treatment for this fatal disease, palliative engagement and discussion of goals of care in cases of CJD is critical in providing compassionate care for the patient and their family. High clinical suspicion warrants discussion of comfort care measures even prior to confirmation with RT-QuiC.

Abstract Image

Abstract Image

快速进展的克雅氏病可能的Heidenhain变异体的晚期诊断线索。
散发性克雅氏病(sCJD)的症状是多变的,在疾病的早期到中期,影像学和脑电图可能是正常的,当临床怀疑sCJD时,系列检查是至关重要的。我们提出一个病例可能的Heidenhain变型sCJD (HvCJD)显著的快速进展。一位72岁的女性在新发视力改变后出现神经功能下降。在3周的治疗过程中,她出现了共济失调,随后出现了偏执、记忆障碍和视觉幻觉。1周前在一家外部医院进行了广泛的检查,包括两项正常的磁共振成像(MRI)检查和无周期性尖锐波复合体的脑电图。本院复查显示右侧枕叶皮质扩散受限。结合长时脑电图显示的新的周期性尖波复合体,引起了对sCJD的关注。在住院早期接受姑息治疗,患者转入舒适治疗,入院3天后出院。患者病情迅速下降,一周内在家中去世,一天后送出脑脊液样品,实时震动诱导转化(RT-QuiC)阳性,T-tau蛋白和14-3-3 γ明显升高。由于这种致命疾病没有治疗方法,姑息性参与和讨论克雅氏病病例的护理目标对于为患者及其家属提供富有同情心的护理至关重要。即使在RT-QuiC确认之前,高临床怀疑也需要讨论舒适护理措施。
本文章由计算机程序翻译,如有差异,请以英文原文为准。
求助全文
约1分钟内获得全文 求助全文
来源期刊
自引率
0.00%
发文量
26
审稿时长
11 weeks
×
引用
GB/T 7714-2015
复制
MLA
复制
APA
复制
导出至
BibTeX EndNote RefMan NoteFirst NoteExpress
×
提示
您的信息不完整,为了账户安全,请先补充。
现在去补充
×
提示
您因"违规操作"
具体请查看互助需知
我知道了
×
提示
确定
请完成安全验证×
copy
已复制链接
快去分享给好友吧!
我知道了
右上角分享
点击右上角分享
0
联系我们:info@booksci.cn Book学术提供免费学术资源搜索服务,方便国内外学者检索中英文文献。致力于提供最便捷和优质的服务体验。 Copyright © 2023 布克学术 All rights reserved.
京ICP备2023020795号-1
ghs 京公网安备 11010802042870号
Book学术文献互助
Book学术文献互助群
群 号:604180095
Book学术官方微信