Takayasu arteritis in an adolescent with untreated Crohn's disease: A case report.

JPGN reports Pub Date : 2024-08-26 eCollection Date: 2024-11-01 DOI:10.1002/jpr3.12121
Viven Solomon, Jessica Fennell, Lindsay M Griffin, Bella Zeisler
{"title":"Takayasu arteritis in an adolescent with untreated Crohn's disease: A case report.","authors":"Viven Solomon, Jessica Fennell, Lindsay M Griffin, Bella Zeisler","doi":"10.1002/jpr3.12121","DOIUrl":null,"url":null,"abstract":"<p><p>Extraintestinal manifestations in inflammatory bowel disease (IBD) most frequently involve the joints, skin, and organs such as the liver and pancreas. Inflammation of the aorta is less commonly described in pediatrics, although it has been described in adults. We report a case of an adolescent female with Crohn's disease who presented with worsening diarrhea, vomiting, and weight loss, found to have aortitis on imaging. We review the pathogenesis and clinical features of Takayasu arteritis, as well as some of its similarities to IBD to raise awareness, as early detection of this less-known extraintestinal manifestation has been associated with better outcomes.</p>","PeriodicalId":501015,"journal":{"name":"JPGN reports","volume":"5 4","pages":"519-522"},"PeriodicalIF":0.0000,"publicationDate":"2024-08-26","publicationTypes":"Journal Article","fieldsOfStudy":null,"isOpenAccess":false,"openAccessPdf":"https://www.ncbi.nlm.nih.gov/pmc/articles/PMC11600361/pdf/","citationCount":"0","resultStr":null,"platform":"Semanticscholar","paperid":null,"PeriodicalName":"JPGN reports","FirstCategoryId":"1085","ListUrlMain":"https://doi.org/10.1002/jpr3.12121","RegionNum":0,"RegionCategory":null,"ArticlePicture":[],"TitleCN":null,"AbstractTextCN":null,"PMCID":null,"EPubDate":"2024/11/1 0:00:00","PubModel":"eCollection","JCR":"","JCRName":"","Score":null,"Total":0}
引用次数: 0

Abstract

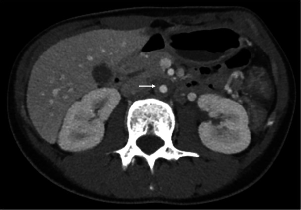
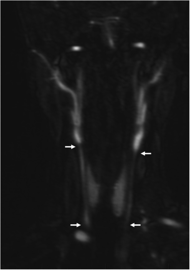
Extraintestinal manifestations in inflammatory bowel disease (IBD) most frequently involve the joints, skin, and organs such as the liver and pancreas. Inflammation of the aorta is less commonly described in pediatrics, although it has been described in adults. We report a case of an adolescent female with Crohn's disease who presented with worsening diarrhea, vomiting, and weight loss, found to have aortitis on imaging. We review the pathogenesis and clinical features of Takayasu arteritis, as well as some of its similarities to IBD to raise awareness, as early detection of this less-known extraintestinal manifestation has been associated with better outcomes.

Abstract Image

Abstract Image

Abstract Image

青少年克罗恩病伴高须动脉炎1例。
炎症性肠病(IBD)的肠外表现最常涉及关节、皮肤和器官,如肝脏和胰腺。主动脉炎症在儿科中不太常见,尽管在成人中有过描述。我们报告一个患有克罗恩病的青春期女性的病例,她表现为腹泻、呕吐和体重减轻,影像学检查发现她患有大动脉炎。我们回顾了Takayasu动脉炎的发病机制和临床特征,以及它与IBD的一些相似之处,以提高人们的认识,因为早期发现这种鲜为人知的肠外表现与更好的结果相关。
本文章由计算机程序翻译,如有差异,请以英文原文为准。
求助全文
约1分钟内获得全文 求助全文
来源期刊
自引率
0.00%
发文量
0
×
引用
GB/T 7714-2015
复制
MLA
复制
APA
复制
导出至
BibTeX EndNote RefMan NoteFirst NoteExpress
×
提示
您的信息不完整,为了账户安全,请先补充。
现在去补充
×
提示
您因"违规操作"
具体请查看互助需知
我知道了
×
提示
确定
请完成安全验证×
copy
已复制链接
快去分享给好友吧!
我知道了
右上角分享
点击右上角分享
0
联系我们:info@booksci.cn Book学术提供免费学术资源搜索服务,方便国内外学者检索中英文文献。致力于提供最便捷和优质的服务体验。 Copyright © 2023 布克学术 All rights reserved.
京ICP备2023020795号-1
ghs 京公网安备 11010802042870号
Book学术文献互助
Book学术文献互助群
群 号:604180095
Book学术官方微信